Telefon:
+49 (0)241 95 163 153
Fax:
+49 (0)241 95 163 155
E-Mail:
orders@antikoerper-online.de

ARL6 Antikörper

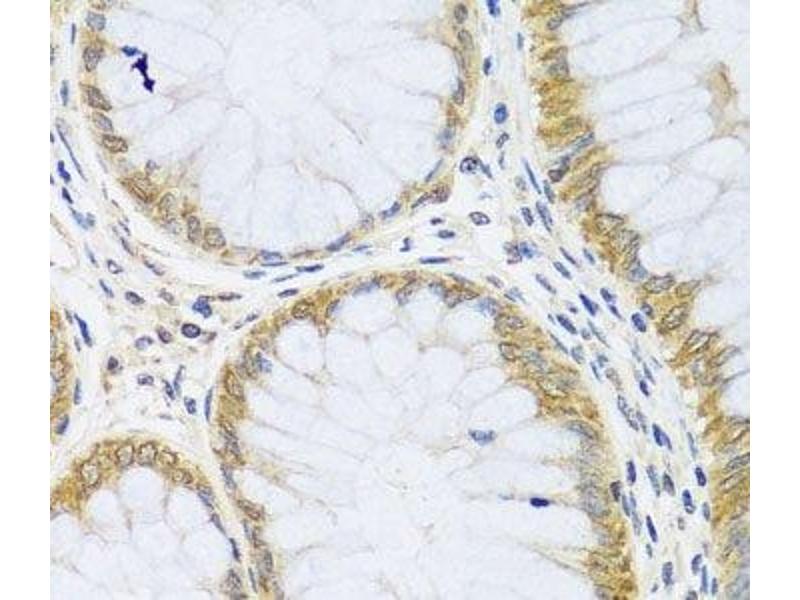
Dieser Kaninchen Polyklonal Antikörper detektiert spezifisch ARL6 in IHC. Es zeigt Reaktivität gegenüber Proben von Human und Maus.
Produktnummer ABIN7264305
580,00 €
Zzgl. Versandkosten 20,00 € und MwSt
Lieferung nach: Deutschland
Lieferung in 9 bis 13 Werktagen

Kurzübersicht für ARL6 Antikörper (ABIN7264305)

Target

Alle ARL6 Antikörper anzeigen
ARL6 (ADP Ribosylation Factor Like GTPase 6 (ARL6))

Reaktivität

  • 22
  • 1
  • 1
Human, Maus

Wirt

  • 14
  • 8
  • 1
Kaninchen

Klonalität

  • 16
  • 7
Polyklonal

Konjugat

  • 12
  • 1
  • 1
  • 1
  • 1
  • 1
  • 1
  • 1
  • 1
  • 1
  • 1
  • 1
Dieser ARL6 Antikörper ist unkonjugiert

Applikation

  • 14
  • 9
  • 8
  • 6
  • 2
  • 1
  • 1
Immunohistochemistry (IHC)
Sie sind hier:
Chat with us!