Telefon:
+49 (0)241 95 163 153
Fax:
+49 (0)241 95 163 155
E-Mail:
orders@antikoerper-online.de

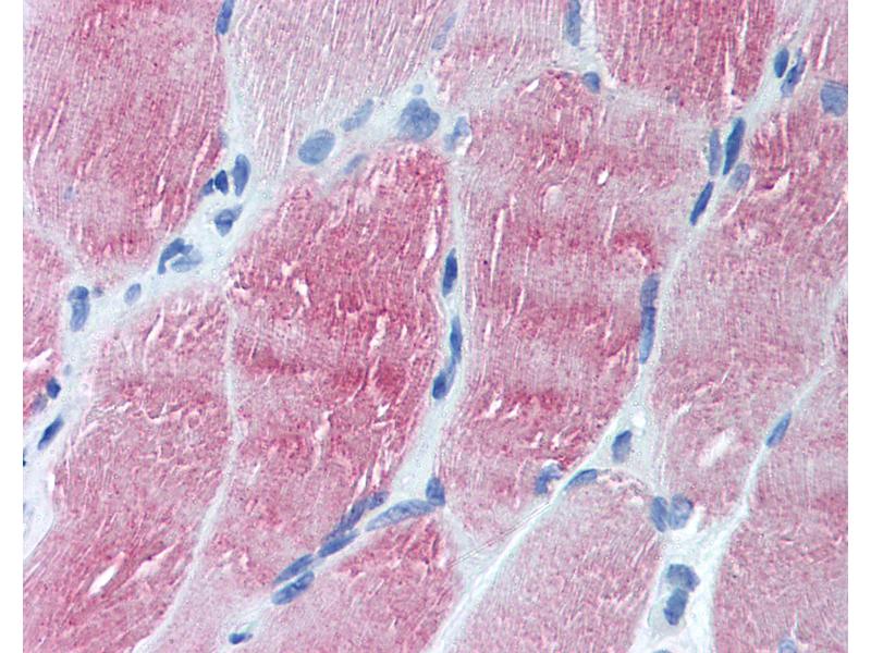
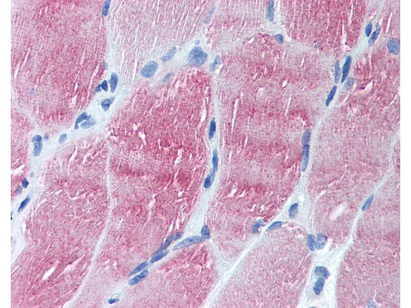
ARL6 Antikörper (N-Term)

Dieser Kaninchen Polyklonal Antikörper detektiert spezifisch ARL6 in IHC, WB, ELISA und IHC (p). Es zeigt Reaktivität gegenüber Proben von Human.
Produktnummer ABIN305749
512,07 €
Zzgl. Versandkosten 20,00 € und MwSt
50 μg
Lieferung nach: Deutschland
Lieferung in 15 bis 20 Werktagen

Kurzübersicht für ARL6 Antikörper (N-Term) (ABIN305749)

Target

Alle ARL6 Antikörper anzeigen
ARL6 (ADP Ribosylation Factor Like GTPase 6 (ARL6))

Reaktivität

  • 22
  • 2
  • 1
Human

Wirt

  • 14
  • 8
  • 1
Kaninchen

Klonalität

  • 16
  • 7
Polyklonal

Konjugat

  • 12
  • 1
  • 1
  • 1
  • 1
  • 1
  • 1
  • 1
  • 1
  • 1
  • 1
  • 1
Dieser ARL6 Antikörper ist unkonjugiert

Applikation

  • 14
  • 8
  • 7
  • 6
  • 1
  • 1
  • 1
Immunohistochemistry (IHC), Western Blotting (WB), ELISA, Immunohistochemistry (Paraffin-embedded Sections) (IHC (p))
  • Bindungsspezifität

    • 9
    • 1
    • 1
    • 1
    • 1
    N-Term

    Spezifität

    Synthetic peptide corresponding to N-terminal residues of human ARL6 (ADP-ribosylation factor- like protein 6).

    Aufreinigung

    Immunoaffinity purified

    Immunogen

    Synthetic peptide from human ARL6.

    Type of Immunogen: Synthetic peptide
  • Applikationshinweise

    Approved: ELISA (1 μg/mL), IHC, IHC-P (10 μg/mL), WB (1 μg/mL)

    Usage: Immunohistochemistry: This antibody was validated for use in immunohistochemistry on a panel of 21 formalin-fixed, paraffin-embedded (FFPE) human tissues after heat induced antigen retrieval in  pH 6.0 citrate buffer. After incubation with the primary antibody, slides were incubated with biotinylated secondary antibody, followed by alkaline phosphatase-streptavidin and chromogen. The stained slides were evaluated by a pathologist to confirm staining specificity. The optimal working concentration for this antibody was determined to be 10 μg/mL.

    Kommentare

    Target Species of Antibody: Human

    Beschränkungen

    Nur für Forschungszwecke einsetzbar
  • Format

    Liquid

    Konzentration

    Lot specific

    Buffer

    PBS, 0.01 % sodium azide, 50 % glycerol.

    Konservierungsmittel

    Sodium azide

    Vorsichtsmaßnahmen

    This product contains Sodium azide: a POISONOUS AND HAZARDOUS SUBSTANCE which should be handled by trained staff only.

    Handhabung

    Avoid repeated freezing and thawing.

    Lagerung

    4 °C,-20 °C

    Informationen zur Lagerung

    4°C or -20°C, Avoid freeze-thaw cycles.
  • Target

    ARL6 (ADP Ribosylation Factor Like GTPase 6 (ARL6))

    Andere Bezeichnung

    ARL6

    Hintergrund

    Name/Gene ID: ARL6
    Family: Ras GTPase superfamily IPR001806

    Synonyms: ARL6, ADP-ribosylation factor-like 6, BBS3, RP55

    Gen-ID

    84100

    UniProt

    Q9H0F7
Sie sind hier:
Chat with us!