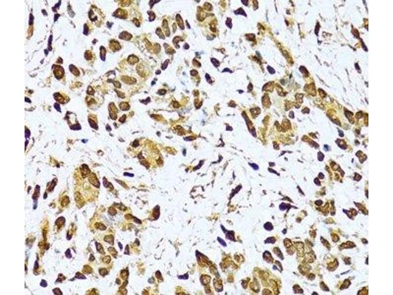
XRCC6 Antikörper
Kurzübersicht für XRCC6 Antikörper (ABIN7263341)
Target
Alle XRCC6 Antikörper anzeigenReaktivität
Wirt
Klonalität
Konjugat
Applikation
-
-
Produktmerkmale
- Polyclonal Antibody
-
Aufreinigung
- Affinity purification
-
Immunogen
- Recombinant fusion protein of human KU70 (NP_001460.1).
-
Isotyp
- IgG
-
-
-
-
Applikationshinweise
- WB 1:500-1:2000 IHC 1:50-1:100 IF 1:50-1:100
-
Beschränkungen
- Nur für Forschungszwecke einsetzbar
-
-
-
Format
- Liquid
-
Konzentration
- 1 mg/mL
-
Buffer
- PBS with 0.02 % sodium azide, 50 % glycerol, pH 7.3
-
Konservierungsmittel
- Sodium azide
-
Vorsichtsmaßnahmen
- This product contains Sodium azide: a POISONOUS AND HAZARDOUS SUBSTANCE which should be handled by trained staff only.
-
Lagerung
- -20 °C
-
Informationen zur Lagerung
- Store at -20°C. Avoid freeze / thaw cycles.
-
-
- XRCC6 (X-Ray Repair Complementing Defective Repair in Chinese Hamster Cells 6 (XRCC6))
-
Andere Bezeichnung
- KU70
-
Hintergrund
- The p70/p80 autoantigen is a nuclear complex consisting of two subunits with molecular masses of approximately 70 and 80 kDa. The complex functions as a single-stranded DNA-dependent ATP-dependent helicase. The complex may be involved in the repair of nonhomologous DNA ends such as that required for double-strand break repair, transposition, and V(D)J recombination. High levels of autoantibodies to p70 and p80 have been found in some patients with systemic lupus erythematosus.
-
Molekulargewicht
-
Observed_MW: 70 kDa
Calculated_MW: 65 kDa/69 kDa
-
Gen-ID
- 2547
-
UniProt
- P12956
-
Pathways
- DNA Reparatur
Target
-