KLKB1 Antikörper
Kurzübersicht für KLKB1 Antikörper (ABIN7261269)
Target
Alle KLKB1 Antikörper anzeigenReaktivität
Wirt
Klonalität
Konjugat
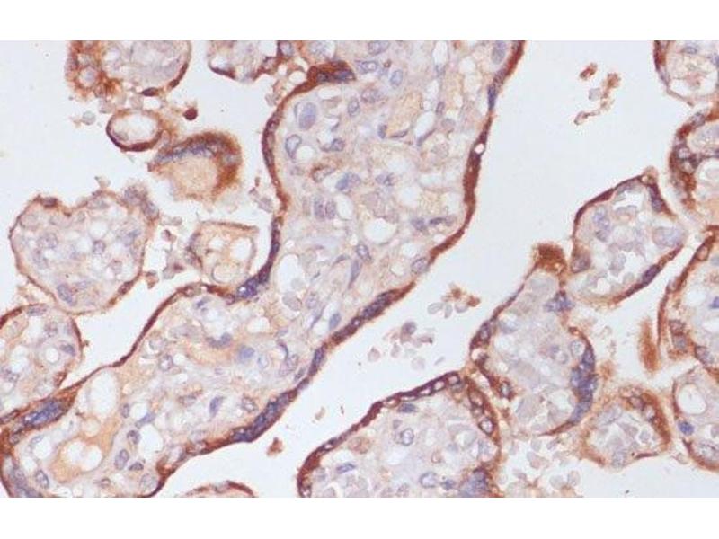
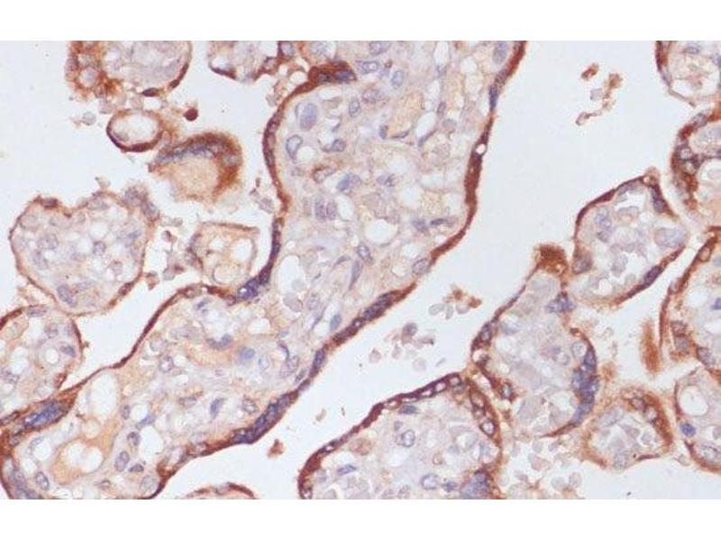
Applikation
-
-
Produktmerkmale
- Polyclonal Antibody
-
Aufreinigung
- Affinity purification
-
Immunogen
- Recombinant fusion protein of human KLKB1 (NP_000883.2).
-
Isotyp
- IgG
-
-
-
-
Applikationshinweise
- WB 1:500-1:2000 IHC 1:50-1:200
-
Beschränkungen
- Nur für Forschungszwecke einsetzbar
-
-
-
Format
- Liquid
-
Konzentration
- 1 mg/mL
-
Buffer
- PBS with 0.02 % sodium azide, 50 % glycerol, pH 7.3
-
Konservierungsmittel
- Sodium azide
-
Vorsichtsmaßnahmen
- This product contains Sodium azide: a POISONOUS AND HAZARDOUS SUBSTANCE which should be handled by trained staff only.
-
Lagerung
- -20 °C
-
Informationen zur Lagerung
- Store at -20°C. Avoid freeze / thaw cycles.
-
-
- KLKB1 (Kallikrein B, Plasma (Fletcher Factor) 1 (KLKB1))
-
Andere Bezeichnung
- KLKB1
-
Hintergrund
- This gene encodes a glycoprotein that participates in the surface-dependent activation of blood coagulation, fibrinolysis, kinin generation and inflammation. The encoded preproprotein present in plasma as a non-covalent complex with high molecular weight kininogen undergoes proteolytic processing mediated by activated coagulation factor XII to generate a disulfide-linked, heterodimeric serine protease comprised of heavy and light chains. Certain mutations in this gene cause prekallikrein deficiency. Alternative splicing results in multiple transcript variants encoding different isoforms.
-
Molekulargewicht
-
Observed_MW: 71 kDa
Calculated_MW: 71 kDa
-
Gen-ID
- 3818
-
UniProt
- P03952
-
Pathways
- Komplementsystem, Brown Fat Cell Differentiation
Target
-