Telefon:
+49 (0)241 95 163 153
Fax:
+49 (0)241 95 163 155
E-Mail:
orders@antikoerper-online.de

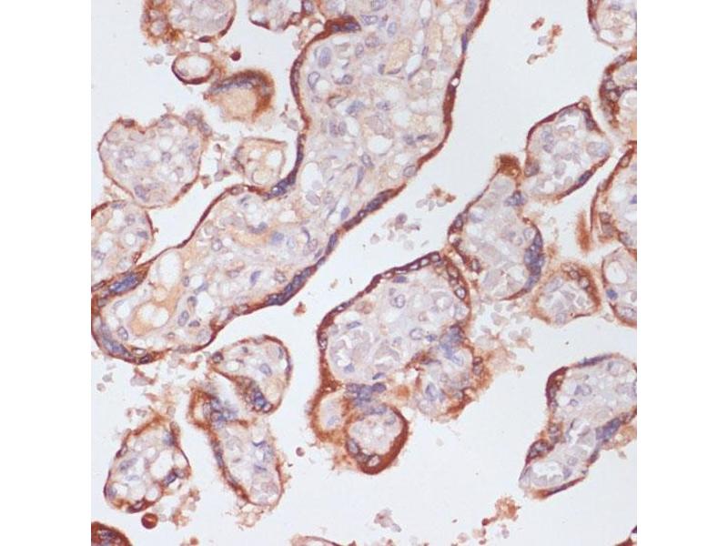
KLKB1 Antikörper (AA 20-300)

Der Kaninchen Polyklonal anti-KLKB1 Antikörper (ABIN6142966) detektiert spezifisch KLKB1 in WB und IHC. Dieser Antikörper reagiert spezifisch mit Proben aus Human.
Produktnummer ABIN6142966
320,00 €
Zzgl. Versandkosten 20,00 € und MwSt
Lieferung nach: Deutschland
Lieferung in 7 bis 9 Werktagen

Kurzübersicht für KLKB1 Antikörper (AA 20-300) (ABIN6142966)

Target

Alle KLKB1 Antikörper anzeigen
KLKB1 (Kallikrein B, Plasma (Fletcher Factor) 1 (KLKB1))

Reaktivität

  • 60
  • 30
  • 8
  • 3
  • 3
  • 2
  • 2
  • 2
  • 1
  • 1
  • 1
Human

Wirt

  • 62
  • 3
  • 1
  • 1
Kaninchen

Klonalität

  • 53
  • 14
Polyklonal

Konjugat

  • 31
  • 5
  • 4
  • 4
  • 3
  • 3
  • 3
  • 3
  • 3
  • 3
  • 2
  • 1
  • 1
  • 1
Dieser KLKB1 Antikörper ist unkonjugiert

Applikation

  • 44
  • 31
  • 19
  • 10
  • 3
  • 1
  • 1
  • 1
  • 1
  • 1
  • 1
  • 1
  • 1
Western Blotting (WB), Immunohistochemistry (IHC)
  • Bindungsspezifität

    • 12
    • 8
    • 6
    • 6
    • 4
    • 2
    • 2
    • 1
    • 1
    • 1
    • 1
    • 1
    • 1
    • 1
    AA 20-300

    Sequenz

    GCLTQLYENA FFRGGDVASM YTPNAQYCQM RCTFHPRCLL FSFLPASSIN DMEKRFGCFL KDSVTGTLPK VHRTGAVSGH SLKQCGHQIS ACHRDIYKGV DMRGVNFNVS KVSSVEECQK RCTSNIRCQF FSYATQTFHK AEYRNNCLLK YSPGGTPTAI KVLSNVESGF SLKPCALSEI GCHMNIFQHL AFSDVDVARV LTPDAFVCRT ICTYHPNCLF FTFYTNVWKI ESQRNVCLLK TSESGTPSSS TPQENTISGY SLLTCKRTLP EPCHSKIYPG V

    Kreuzreaktivität

    Human, Maus, Ratte

    Produktmerkmale

    Polyclonal Antibodies

    Immunogen

    Recombinant fusion protein containing a sequence corresponding to amino acids 20-300 of human KLKB1 (NP_000883.2).

    Isotyp

    IgG
  • Applikationshinweise

    WB,1:500 - 1:2000,IHC,1:50 - 1:200

    Kommentare

    HIGH QUALITY

    Beschränkungen

    Nur für Forschungszwecke einsetzbar
  • Format

    Liquid

    Buffer

    PBS with 0.02 % sodium azide,50 % glycerol, pH 7.3.

    Konservierungsmittel

    Sodium azide

    Vorsichtsmaßnahmen

    This product contains Sodium azide: a POISONOUS AND HAZARDOUS SUBSTANCE which should be handled by trained staff only.

    Lagerung

    -20 °C

    Informationen zur Lagerung

    Store at -20°C. Avoid freeze / thaw cycles.
  • Target

    KLKB1 (Kallikrein B, Plasma (Fletcher Factor) 1 (KLKB1))

    Andere Bezeichnung

    KLKB1

    Hintergrund

    This gene encodes a glycoprotein that participates in the surface-dependent activation of blood coagulation, fibrinolysis, kinin generation and inflammation. The encoded preproprotein present in plasma as a non-covalent complex with high molecular weight kininogen undergoes proteolytic processing mediated by activated coagulation factor XII to generate a disulfide-linked, heterodimeric serine protease comprised of heavy and light chains. Certain mutations in this gene cause prekallikrein deficiency. Alternative splicing results in multiple transcript variants encoding different isoforms.,KLKB1,KLK3,PKK,PKKD,PPK,Cell Biology & Developmental Biology,Ubiquitin,KLKB1

    Molekulargewicht

    71 kDa

    Gen-ID

    3818

    UniProt

    P03952

    Pathways

    Komplementsystem, Brown Fat Cell Differentiation
Sie sind hier:
Chat with us!