IFNAR2 Antikörper
Kurzübersicht für IFNAR2 Antikörper (ABIN7259717)
Target
Alle IFNAR2 Antikörper anzeigenReaktivität
Wirt
Klonalität
Konjugat
Applikation
-
-
Produktmerkmale
- Polyclonal Antibody
-
Aufreinigung
- Affinity purification
-
Immunogen
- Recombinant fusion protein of human IFNAR2 (NP_997467.1).
-
Isotyp
- IgG
-
-
-
-
Applikationshinweise
- WB 1:500-1:2000 IHC 1:50-1:100 IF 1:50-1:100
-
Beschränkungen
- Nur für Forschungszwecke einsetzbar
-
-
-
Format
- Liquid
-
Konzentration
- 1 mg/mL
-
Buffer
- PBS with 0.02 % sodium azide, 50 % glycerol, pH 7.3
-
Konservierungsmittel
- Sodium azide
-
Vorsichtsmaßnahmen
- This product contains Sodium azide: a POISONOUS AND HAZARDOUS SUBSTANCE which should be handled by trained staff only.
-
Lagerung
- -20 °C
-
Informationen zur Lagerung
- Store at -20°C. Avoid freeze / thaw cycles.
-
-
- IFNAR2 (Interferon alpha/beta Receptor 2 (IFNAR2))
-
Andere Bezeichnung
- IFNAR2
-
Hintergrund
- The protein encoded by this gene is a type I membrane protein that forms one of the two chains of a receptor for interferons alpha and beta. Binding and activation of the receptor stimulates Janus protein kinases, which in turn phosphorylate several proteins, including STAT1 and STAT2. Multiple transcript variants encoding at least two different isoforms have been found for this gene.
-
Molekulargewicht
-
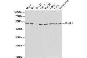
Observed_MW: 58 kDa
Calculated_MW: 27 kDa/37 kDa/57 kDa
-
Gen-ID
- 3455
-
UniProt
- P48551
-
Pathways
- JAK-STAT Signalweg, Hepatitis C
Target
-