Telefon:
+49 (0)241 95 163 153
Fax:
+49 (0)241 95 163 155
E-Mail:
orders@antikoerper-online.de

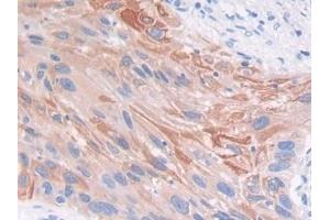
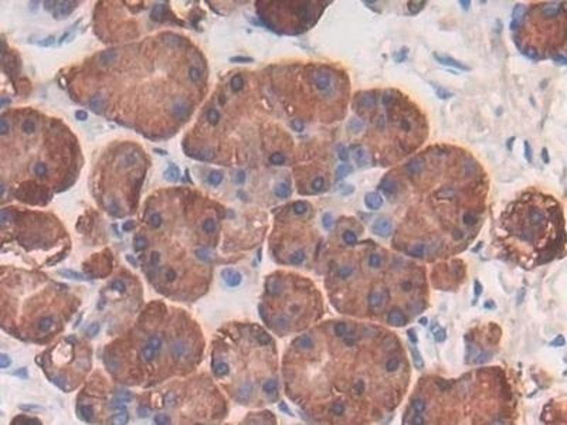
FGFRL1 Antikörper (AA 168-378)

Der Kaninchen Polyklonal anti-FGFRL1 Antikörper (ABIN7430033) detektiert spezifisch FGFRL1 in WB, IHC, IP und ICC. Dieser Antikörper reagiert spezifisch mit Proben aus Human.
Produktnummer ABIN7430033
334,46 €
Zzgl. Versandkosten 20,00 € und MwSt
Lieferung nach: Deutschland
Lieferung in 11 bis 15 Werktagen

Kurzübersicht für FGFRL1 Antikörper (AA 168-378) (ABIN7430033)

Target

Alle FGFRL1 Antikörper anzeigen
FGFRL1 (Fibroblast Growth Factor Receptor-Like 1 (FGFRL1))

Reaktivität

  • 49
  • 15
  • 4
  • 1
  • 1
  • 1
  • 1
  • 1
  • 1
Human

Wirt

  • 51
  • 1
  • 1
Kaninchen

Klonalität

  • 51
  • 2
Polyklonal

Konjugat

  • 23
  • 4
  • 4
  • 3
  • 1
  • 1
  • 1
  • 1
  • 1
  • 1
  • 1
  • 1
  • 1
  • 1
  • 1
  • 1
  • 1
  • 1
  • 1
  • 1
  • 1
  • 1
  • 1
Dieser FGFRL1 Antikörper ist unkonjugiert

Applikation

  • 40
  • 18
  • 18
  • 13
  • 13
  • 7
  • 4
  • 4
  • 3
  • 2
  • 1
  • 1
  • 1
Western Blotting (WB), Immunohistochemistry (IHC), Immunoprecipitation (IP), Immunocytochemistry (ICC)
  • Bindungsspezifität

    • 15
    • 8
    • 5
    • 4
    • 2
    • 1
    • 1
    • 1
    • 1
    • 1
    • 1
    • 1
    • 1
    • 1
    AA 168-378

    Verwendungszweck

    Polyclonal Antibody to Fibroblast Growth Factor Receptor Like Protein 1 (FGFRL1)

    Spezifität

    The antibody is a rabbit polyclonal antibody raised against FGFRL1. It has been selected for its ability to recognize FGFRL1 in immunohistochemical staining and western blotting.

    Aufreinigung

    Antigen-specific affinity chromatography followed by Protein A affinity chromatography

    Immunogen

    Recombinant Fibroblast Growth Factor Receptor Like Protein 1 (FGFRL1) corresdonding to Val168~Pro378 with N-terminal His Tag

    Isotyp

    IgG
  • Applikationshinweise

    Western blotting: 0.01-3 μg/mL,Immunohistochemistry: 5-30 μg/mL,Immunocytochemistry: 5-30 μg/mL,Optimal working dilutions must be determined by end user.

    Kommentare

    The thermal stability is described by the loss rate. The loss rate was determined by accelerated thermal degradation test, that is, incubate the protein at 37°C for 48h, and no obvious degradation and precipitation were observed. The loss rate is less than 5% within the expiration date under appropriate storage condition.

    Beschränkungen

    Nur für Forschungszwecke einsetzbar
  • Format

    Liquid

    Konzentration

    0.5 mg/mL

    Buffer

    PBS, pH 7.4, containing 0.02 % Sodium azide, 50 % glycerol.

    Konservierungsmittel

    Sodium azide

    Vorsichtsmaßnahmen

    This product contains Sodium azide: a POISONOUS AND HAZARDOUS SUBSTANCE which should be handled by trained staff only.

    Lagerung

    4 °C,-20 °C

    Informationen zur Lagerung

    Store at 4°C for frequent use. Stored at -20°C in a manual defrost freezer for two year without detectable loss of activity. Avoid repeated freeze-thaw cycles.

    Haltbarkeit

    24 months
  • Target

    FGFRL1 (Fibroblast Growth Factor Receptor-Like 1 (FGFRL1))

    Andere Bezeichnung

    FGFRL1

    Hintergrund

    FGFR5, FHFR, FGF homologous factor receptor, FGFR-like protein, Fibroblast growth factor receptor 5

    UniProt

    Q8N441

    Pathways

    RTK Signalweg
Sie sind hier:
Chat with us!