Telefon:
+49 (0)241 95 163 153
Fax:
+49 (0)241 95 163 155
E-Mail:
orders@antikoerper-online.de

FGFRL1 Antikörper

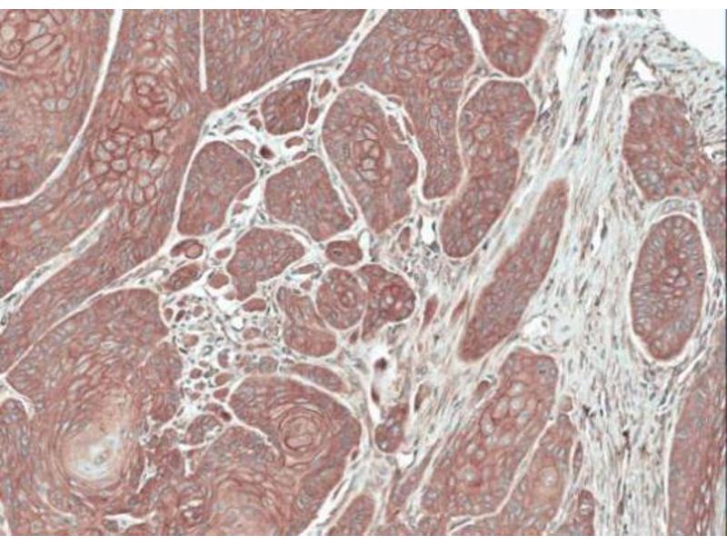
Der Kaninchen Polyklonal anti-FGFRL1 Antikörper (ABIN2855700) detektiert spezifisch FGFRL1 in WB und IHC (p). Dieser Antikörper reagiert spezifisch mit Proben aus Human.
Produktnummer ABIN2855700
583,17 €
Zzgl. Versandkosten 20,00 € und MwSt
100 μL
Lieferung nach: Deutschland
Lieferung in 7 bis 10 Werktagen

Kurzübersicht für FGFRL1 Antikörper (ABIN2855700)

Target

Alle FGFRL1 Antikörper anzeigen
FGFRL1 (Fibroblast Growth Factor Receptor-Like 1 (FGFRL1))

Reaktivität

  • 49
  • 15
  • 4
  • 1
  • 1
  • 1
  • 1
  • 1
  • 1
Human

Wirt

  • 51
  • 1
  • 1
Kaninchen

Klonalität

  • 51
  • 2
Polyklonal

Konjugat

  • 23
  • 4
  • 4
  • 3
  • 1
  • 1
  • 1
  • 1
  • 1
  • 1
  • 1
  • 1
  • 1
  • 1
  • 1
  • 1
  • 1
  • 1
  • 1
  • 1
  • 1
  • 1
  • 1
Dieser FGFRL1 Antikörper ist unkonjugiert

Applikation

  • 40
  • 19
  • 18
  • 13
  • 13
  • 6
  • 5
  • 5
  • 3
  • 2
  • 1
  • 1
  • 1
Western Blotting (WB), Immunohistochemistry (Paraffin-embedded Sections) (IHC (p))
  • Kreuzreaktivität

    Human

    Produktmerkmale

    Rabbit polyclonal antibody to FGFR-5 (fibroblast growth factor receptor-like 1)
    FGFR-5 antibody

    Aufreinigung

    Purified by antigen-affinity chromatography.

    Immunogen

    Recombinant protein encompassing a sequence within the center region of human FGFR5. The exact sequence is proprietary.

    Isotyp

    IgG
  • Applikationshinweise

    WB: 1:500-1:3000. IHC-P: 1:100-1:1000. Optimal dilutions/concentrations should be determined by the researcher. Not tested in other applications.

    Kommentare

    Positive Control: FGFRL1-transfected 293T , HepG2 membrane extract

    Validation: Orthogonal, Overexpression

    Beschränkungen

    Nur für Forschungszwecke einsetzbar
  • Format

    Liquid

    Konzentration

    2.42 mg/mL

    Buffer

    1XPBS ( pH 7), 20 % Glycerol, 0.025 % ProClin 300

    Konservierungsmittel

    ProClin

    Vorsichtsmaßnahmen

    This product contains ProClin: a POISONOUS AND HAZARDOUS SUBSTANCE which should be handled by trained staff only.

    Lagerung

    4 °C,-20 °C

    Informationen zur Lagerung

    Store as concentrated solution. Centrifuge briefly prior to opening vial. For short-term storage (1-2 weeks), store at 4°C. For long-term storage, aliquot and store at -20°C or below. Avoid multiple freeze-thaw cycles.
  • Target

    FGFRL1 (Fibroblast Growth Factor Receptor-Like 1 (FGFRL1))

    Andere Bezeichnung

    fibroblast growth factor receptor like 1

    Hintergrund

    The protein encoded by this gene is a member of the fibroblast growth factor receptor (FGFR) family, where amino acid sequence is highly conserved between members and throughout evolution. FGFR family members differ from one another in their ligand affinities and tissue distribution. A full-length representative protein would consist of an extracellular region, composed of three immunoglobulin-like domains, a single hydrophobic membrane-spanning segment and a cytoplasmic tyrosine kinase domain. The extracellular portion of the protein interacts with fibroblast growth factors, setting in motion a cascade of downstream signals, ultimately influencing mitogenesis and differentiation. A marked difference between this gene product and the other family members is its lack of a cytoplasmic tyrosine kinase domain. The result is a transmembrane receptor that could interact with other family members and potentially inhibit signaling. Multiple alternatively spliced transcript variants encoding the same isoform have been found for this gene.

    Cellular Localization: Membrane, Single-pass type I membrane protein

    Molekulargewicht

    55 kDa

    Gen-ID

    53834

    UniProt

    Q8N441

    Pathways

    RTK Signalweg
Sie sind hier:
Chat with us!