Telefon:
+49 (0)241 95 163 153
Fax:
+49 (0)241 95 163 155
E-Mail:
orders@antikoerper-online.de

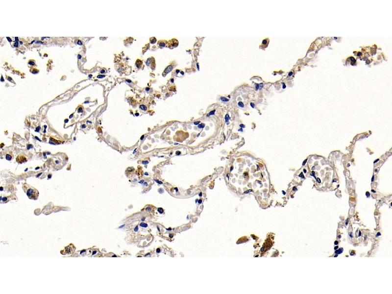
PGLYRP1 Antikörper (AA 22-196)

Der Kaninchen Polyklonal anti-PGLYRP1 Antikörper wird verwendet zum Nachweis von PGLYRP1 in Proben von Human. Er wurde validiert für WB und IHC.
Produktnummer ABIN7435673
310,62 €
Zzgl. Versandkosten 20,00 € und MwSt
Lieferung nach: Deutschland
Lieferung in 11 bis 15 Werktagen

Kurzübersicht für PGLYRP1 Antikörper (AA 22-196) (ABIN7435673)

Target

Alle PGLYRP1 Antikörper anzeigen
PGLYRP1 (Peptidoglycan Recognition Protein 1 (PGLYRP1))

Reaktivität

  • 38
  • 6
  • 3
  • 1
Human

Wirt

  • 37
  • 4
  • 2
  • 1
Kaninchen

Klonalität

  • 37
  • 3
  • 2
Polyklonal

Konjugat

  • 27
  • 3
  • 2
  • 2
  • 1
  • 1
  • 1
  • 1
  • 1
  • 1
  • 1
  • 1
Dieser PGLYRP1 Antikörper ist unkonjugiert

Applikation

  • 26
  • 17
  • 8
  • 3
  • 3
  • 3
  • 2
  • 2
  • 1
  • 1
  • 1
  • 1
Western Blotting (WB), Immunohistochemistry (IHC)
  • Bindungsspezifität

    • 8
    • 5
    • 4
    • 3
    • 2
    • 2
    • 1
    • 1
    • 1
    • 1
    • 1
    • 1
    • 1
    • 1
    • 1
    AA 22-196

    Verwendungszweck

    Polyclonal Antibody to Peptidoglycan Recognition Protein 1 (PGLYRP1)

    Spezifität

    The antibody is a rabbit polyclonal antibody raised against PGLYRP1. It has been selected for its ability to recognize PGLYRP1 in immunohistochemical staining and western blotting.

    Aufreinigung

    Antigen-specific affinity chromatography followed by Protein A affinity chromatography

    Immunogen

    Recombinant Peptidoglycan Recognition Protein 1 (PGLYRP1) corresdonding to Gln22~Pro196 with N-terminal His Tag

    Isotyp

    IgG
  • Applikationshinweise

    Western blotting: 0.01-2 μg/mL,Immunohistochemistry: 5-20 μg/mL,Optimal working dilutions must be determined by end user.

    Kommentare

    The thermal stability is described by the loss rate. The loss rate was determined by accelerated thermal degradation test, that is, incubate the protein at 37°C for 48h, and no obvious degradation and precipitation were observed. The loss rate is less than 5% within the expiration date under appropriate storage condition.

    Beschränkungen

    Nur für Forschungszwecke einsetzbar
  • Format

    Liquid

    Konzentration

    0.5 mg/mL

    Buffer

    0.01M PBS, pH 7.4, containing 0.05 % Proclin-300, 50 % glycerol.

    Konservierungsmittel

    ProClin

    Vorsichtsmaßnahmen

    This product contains ProClin: a POISONOUS AND HAZARDOUS SUBSTANCE which should be handled by trained staff only.

    Lagerung

    4 °C,-20 °C

    Informationen zur Lagerung

    Store at 4°C for frequent use. Stored at -20°C in a manual defrost freezer for two year without detectable loss of activity. Avoid repeated freeze-thaw cycles.

    Haltbarkeit

    24 months
  • Target

    PGLYRP1 (Peptidoglycan Recognition Protein 1 (PGLYRP1))

    Andere Bezeichnung

    PGLYRP1

    Hintergrund

    PGLYRP, PGRP, PGRP-S, PGRPS, TAG7, TNFSF3L, Tumor Necrosis Factor Ligand Superfamily Member 3 Like, Peptidoglycan recognition protein short

    UniProt

    O75594

    Pathways

    Activation of Innate immune Response
Sie sind hier:
Chat with us!