Telefon:
+49 (0)241 95 163 153
Fax:
+49 (0)241 95 163 155
E-Mail:
orders@antikoerper-online.de

PGLYRP1 Antikörper (C-Term)

Dieser Ziege Polyklonal Antikörper detektiert spezifisch PGLYRP1 in WB, IHC und ELISA. Es zeigt Reaktivität gegenüber Proben von Human.
Produktnummer ABIN263167
488,25 €
Zzgl. Versandkosten 20,00 € und MwSt
100 μg
Lieferung nach: Deutschland
Lieferung in 5 bis 8 Werktagen

Kurzübersicht für PGLYRP1 Antikörper (C-Term) (ABIN263167)

Target

Alle PGLYRP1 Antikörper anzeigen
PGLYRP1 (Peptidoglycan Recognition Protein 1 (PGLYRP1))

Reaktivität

  • 38
  • 6
  • 3
  • 1
Human

Wirt

  • 37
  • 5
  • 2
Ziege

Klonalität

  • 36
  • 4
  • 2
Polyklonal

Konjugat

  • 27
  • 3
  • 2
  • 2
  • 1
  • 1
  • 1
  • 1
  • 1
  • 1
  • 1
  • 1
Dieser PGLYRP1 Antikörper ist unkonjugiert

Applikation

  • 26
  • 15
  • 10
  • 4
  • 3
  • 3
  • 3
  • 2
  • 1
  • 1
  • 1
  • 1
Western Blotting (WB), Immunohistochemistry (IHC), ELISA

Güteklasse

Verified
  • Bindungsspezifität

    • 8
    • 5
    • 4
    • 3
    • 2
    • 2
    • 2
    • 1
    • 1
    • 1
    • 1
    • 1
    • 1
    • 1
    • 1
    C-Term

    Verwendungszweck

    PGRP-S

    Sequenz

    PGNQLYHLIQ N

    Kreuzreaktivität

    Hund, Human

    Aufreinigung

    Purified from goat serum by ammonium sulphate precipitation followed by antigen affinity chromatography using the immunizing peptide.

    Immunogen

    Peptide with sequence C-PGNQLYHLIQN, from the C Terminus of the protein sequence according to NP_005082.1.

    Isotyp

    IgG
  • Applikationshinweise

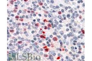
    Immunohistochemistry: In paraffin embedded Human Spleen shows staining of select splenocytes. Recommended concentration, 3-6 μg/mL.

    Western Blot: Approx 30 kDa band observed in lysates of cell line Jurkat (calculated MW of 21.7 kDa according to NP_005082.1). The observed molecular weight corresponds to earlier findings in literature with different antibodies (Lu et al, J Biol Chem. 20

    Peptide ELISA: antibody detection limit dilution 1:4000.

    Beschränkungen

    Nur für Forschungszwecke einsetzbar
  • Format

    Liquid

    Konzentration

    0.5 mg/mL

    Buffer

    Supplied at 0.5 mg/mL in Tris saline, 0.02 % sodium azide, pH 7.3 with 0.5 % bovine serum albumin.

    Konservierungsmittel

    Sodium azide

    Vorsichtsmaßnahmen

    This product contains Sodium azide: a POISONOUS AND HAZARDOUS SUBSTANCE which should be handled by trained staff only.

    Handhabung

    Minimize freezing and thawing.

    Lagerung

    -20 °C

    Informationen zur Lagerung

    Aliquot and store at -20°C, with minimal freeze/thawing. A working aliquot may be refrigerated at 4°C for a few weeks and still remain viable.
  • Target

    PGLYRP1 (Peptidoglycan Recognition Protein 1 (PGLYRP1))

    Andere Bezeichnung

    PGLYRP1

    Hintergrund

    PGRP-S, PGRPS, PGLYRP1, peptidoglycan recognition protein 1, MGC126894, MGC126896, PGLYRP, PGRP, TAG7, TNFSF3L, TNF superfamily, member 3 (LTB)-like (peptidoglycan recognition protein)

    Gen-ID

    8993

    NCBI Accession

    NP_005082

    Pathways

    Activation of Innate immune Response
Sie sind hier:
Chat with us!