Telefon:
+49 (0)241 95 163 153
Fax:
+49 (0)241 95 163 155
E-Mail:
orders@antikoerper-online.de

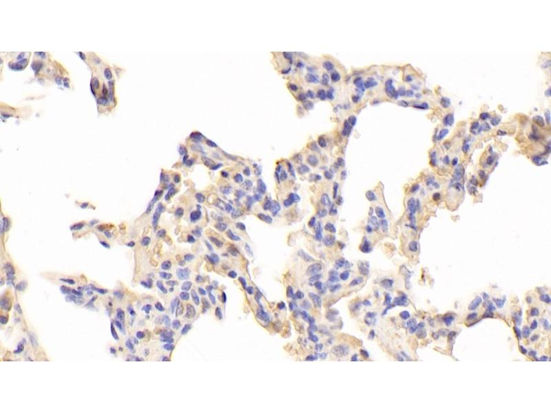
TLR5 Antikörper (AA 303-514)

Der Kaninchen Polyklonal anti-TLR5 Antikörper (ABIN7438082) detektiert spezifisch TLR5 in WB, ELISA, ICC, IHC (p) und IHC (fro). Dieser Antikörper reagiert spezifisch mit Proben aus Human.
Produktnummer ABIN7438082
298,22 €
Zzgl. Versandkosten 20,00 € und MwSt
Lieferung nach: Deutschland
Lieferung in 11 bis 15 Werktagen

Kurzübersicht für TLR5 Antikörper (AA 303-514) (ABIN7438082)

Target

Alle TLR5 Antikörper anzeigen
TLR5 (Toll-Like Receptor 5 (TLR5))

Reaktivität

  • 101
  • 59
  • 29
  • 3
  • 2
  • 2
  • 2
  • 1
  • 1
Human

Wirt

  • 91
  • 17
  • 3
Kaninchen

Klonalität

  • 85
  • 26
Polyklonal

Konjugat

  • 54
  • 11
  • 11
  • 5
  • 4
  • 3
  • 2
  • 2
  • 2
  • 2
  • 2
  • 2
  • 1
  • 1
  • 1
  • 1
  • 1
  • 1
  • 1
  • 1
  • 1
  • 1
  • 1
Dieser TLR5 Antikörper ist unkonjugiert

Applikation

  • 86
  • 42
  • 36
  • 13
  • 12
  • 9
  • 7
  • 5
  • 4
  • 2
  • 1
  • 1
Western Blotting (WB), ELISA, Immunocytochemistry (ICC), Immunohistochemistry (Paraffin-embedded Sections) (IHC (p)), Immunohistochemistry (Frozen Sections) (IHC (fro))
  • Bindungsspezifität

    • 13
    • 8
    • 8
    • 7
    • 6
    • 6
    • 5
    • 4
    • 3
    • 3
    • 2
    • 2
    • 2
    • 2
    • 2
    • 2
    • 2
    • 1
    • 1
    • 1
    • 1
    • 1
    • 1
    • 1
    • 1
    • 1
    AA 303-514

    Verwendungszweck

    Polyclonal Antibody to Toll Like Receptor 5 (TLR5)

    Spezifität

    The antibody is a rabbit polyclonal antibody raised against TLR5. It has been selected for its ability to recognize TLR5 in immunohistochemical staining and western blotting.

    Kreuzreaktivität

    Schwein, Ratte

    Aufreinigung

    Antigen-specific affinity chromatography followed by Protein A affinity chromatography

    Immunogen

    Recombinant Toll Like Receptor 5 (TLR5) corresdonding to Leu303~Leu514 with N-terminal His Tag

    Isotyp

    IgG
  • Applikationshinweise

    Western blotting: 0.5-2 μg/mL,Immunocytochemistry in formalin fixed cells: 5-20 μg/mL,Immunohistochemistry in formalin fixed frozen section: 5-20 μg/mL,Immunohistochemistry in paraffin section: 5-20 μg/mL,Enzyme-linked Immunosorbent Assay: 0.05-2 μg/mL,Optimal working dilutions must be determined by end user.

    Kommentare

    The thermal stability is described by the loss rate. The loss rate was determined by accelerated thermal degradation test, that is, incubate the protein at 37°C for 48h, and no obvious degradation and precipitation were observed. The loss rate is less than 5% within the expiration date under appropriate storage condition.

    Beschränkungen

    Nur für Forschungszwecke einsetzbar
  • Format

    Liquid

    Konzentration

    500 μg/mL

    Buffer

    0.01M PBS, pH 7.4, containing 0.05 % Proclin-300, 50 % glycerol.

    Konservierungsmittel

    ProClin

    Vorsichtsmaßnahmen

    This product contains ProClin: a POISONOUS AND HAZARDOUS SUBSTANCE which should be handled by trained staff only.

    Lagerung

    4 °C,-20 °C

    Informationen zur Lagerung

    Store at 4°C for frequent use. Stored at -20°C in a manual defrost freezer for two year without detectable loss of activity. Avoid repeated freeze-thaw cycles.

    Haltbarkeit

    24 months
  • Target

    TLR5 (Toll-Like Receptor 5 (TLR5))

    Andere Bezeichnung

    TLR5

    Hintergrund

    CD285, SLEB1, TIL3, Toll/Interleukin-1 Receptor-Like Protein 3

    UniProt

    O60602

    Pathways

    TLR Signalweg, Activation of Innate immune Response, Cellular Response to Molecule of Bacterial Origin, Toll-Like Receptors Cascades
Sie sind hier:
Chat with us!