Telefon:
+49 (0)241 95 163 153
Fax:
+49 (0)241 95 163 155
E-Mail:
orders@antikoerper-online.de

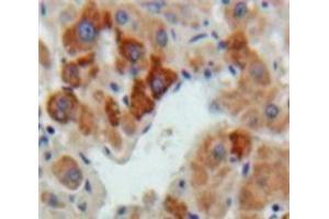
Hepcidin Antikörper (AA 24-83)

Der Kaninchen Polyklonal anti-Hepcidin Antikörper wird verwendet zum Nachweis von Hepcidin in Proben von Maus. Er wurde validiert für WB, IHC, IP und ICC.
Produktnummer ABIN7434461
304,89 €
Zzgl. Versandkosten 20,00 € und MwSt
Lieferung nach: Deutschland
Lieferung in 11 bis 15 Werktagen

Kurzübersicht für Hepcidin Antikörper (AA 24-83) (ABIN7434461)

Target

Alle Hepcidin (HAMP) Antikörper anzeigen
Hepcidin (HAMP) (Hepcidin Antimicrobial Peptide (HAMP))

Reaktivität

  • 60
  • 17
  • 14
  • 3
  • 2
  • 2
  • 1
Maus

Wirt

  • 62
  • 11
  • 5
  • 1
Kaninchen

Klonalität

  • 55
  • 24
Polyklonal

Konjugat

  • 50
  • 9
  • 5
  • 2
  • 2
  • 2
  • 2
  • 2
  • 2
  • 1
  • 1
  • 1
Dieser Hepcidin Antikörper ist unkonjugiert

Applikation

  • 57
  • 28
  • 27
  • 15
  • 14
  • 7
  • 5
  • 2
  • 2
  • 2
  • 2
  • 2
  • 2
  • 2
  • 1
  • 1
  • 1
Western Blotting (WB), Immunohistochemistry (IHC), Immunoprecipitation (IP), Immunocytochemistry (ICC)
  • Bindungsspezifität

    • 8
    • 7
    • 6
    • 4
    • 3
    • 2
    • 2
    • 2
    • 1
    • 1
    • 1
    • 1
    • 1
    • 1
    • 1
    • 1
    • 1
    • 1
    AA 24-83

    Verwendungszweck

    Polyclonal Antibody to Hepcidin (Hepc)

    Spezifität

    The antibody is a rabbit polyclonal antibody raised against Hepc. It has been selected for its ability to recognize Hepc in immunohistochemical staining and western blotting.

    Aufreinigung

    Antigen-specific affinity chromatography followed by Protein A affinity chromatography

    Immunogen

    Recombinant Hepcidin (Hepc) corresdonding to Thr24~Thr83 with N-terminal His Tag

    Isotyp

    IgG
  • Applikationshinweise

    Western blotting: 0.01-2 μg/mL,Immunohistochemistry: 5-20 μg/mL,Immunocytochemistry: 5-20 μg/mL,Optimal working dilutions must be determined by end user.

    Kommentare

    The thermal stability is described by the loss rate. The loss rate was determined by accelerated thermal degradation test, that is, incubate the protein at 37°C for 48h, and no obvious degradation and precipitation were observed. The loss rate is less than 5% within the expiration date under appropriate storage condition.

    Beschränkungen

    Nur für Forschungszwecke einsetzbar
  • Format

    Liquid

    Konzentration

    0.5 mg/mL

    Buffer

    0.01M PBS, pH 7.4, containing 0.05 % Proclin-300, 50 % glycerol.

    Konservierungsmittel

    ProClin

    Vorsichtsmaßnahmen

    This product contains ProClin: a POISONOUS AND HAZARDOUS SUBSTANCE which should be handled by trained staff only.

    Lagerung

    4 °C,-20 °C

    Informationen zur Lagerung

    Store at 4°C for frequent use. Stored at -20°C in a manual defrost freezer for two year without detectable loss of activity. Avoid repeated freeze-thaw cycles.

    Haltbarkeit

    24 months
  • Target

    Hepcidin (HAMP) (Hepcidin Antimicrobial Peptide (HAMP))

    Andere Bezeichnung

    Hepc

    Hintergrund

    HAMP, HFE2B, PLTR, LEAP1, Hepcidin Antimicrobial Peptide, Liver-expressed antimicrobial peptide 1, Putative liver tumor regressor

    UniProt

    Q9EQ21

    Pathways

    Hormone Activity, Transition Metal Ion Homeostasis
Sie sind hier:
Chat with us!