Telefon:
+49 (0)241 95 163 153
Fax:
+49 (0)241 95 163 155
E-Mail:
orders@antikoerper-online.de

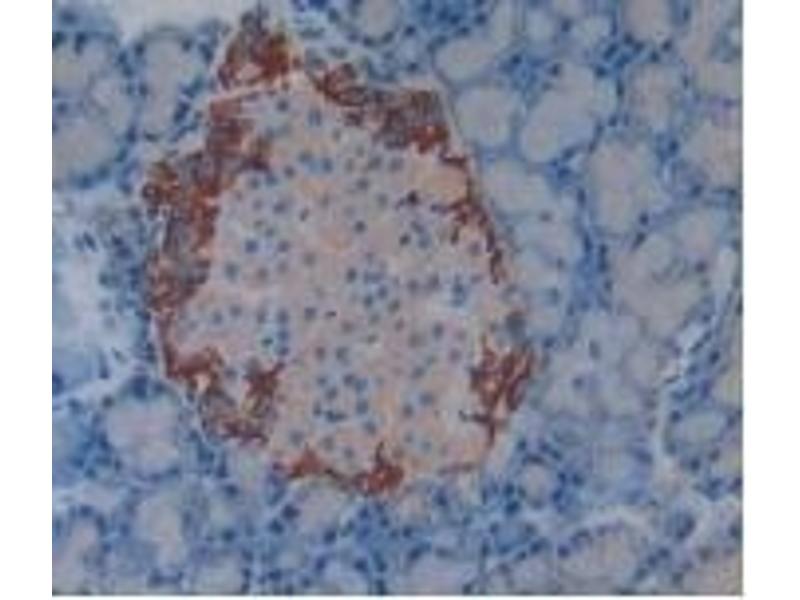
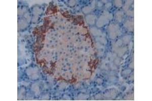
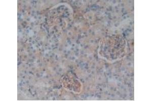
Complement Factor H Antikörper (AA 975-1217)

Dieser Kaninchen Polyklonal Antikörper detektiert spezifisch Complement Factor H in WB, IHC, IP und ICC. Es zeigt Reaktivität gegenüber Proben von Ratte.
Produktnummer ABIN7432280
304,89 €
Zzgl. Versandkosten 20,00 € und MwSt
Lieferung nach: Deutschland
Lieferung in 11 bis 15 Werktagen

Kurzübersicht für Complement Factor H Antikörper (AA 975-1217) (ABIN7432280)

Target

Alle Complement Factor H (CFH) Antikörper anzeigen
Complement Factor H (CFH)

Reaktivität

  • 80
  • 13
  • 11
  • 2
  • 2
Ratte

Wirt

  • 64
  • 27
  • 3
  • 2
  • 1
Kaninchen

Klonalität

  • 51
  • 45
  • 1
Polyklonal

Konjugat

  • 56
  • 10
  • 5
  • 3
  • 3
  • 3
  • 3
  • 3
  • 3
  • 2
  • 2
  • 1
  • 1
  • 1
  • 1
Dieser Complement Factor H Antikörper ist unkonjugiert

Applikation

  • 70
  • 32
  • 26
  • 25
  • 21
  • 15
  • 13
  • 6
  • 5
  • 4
  • 3
  • 3
  • 2
  • 2
  • 1
  • 1
  • 1
  • 1
Western Blotting (WB), Immunohistochemistry (IHC), Immunoprecipitation (IP), Immunocytochemistry (ICC)
  • Bindungsspezifität

    • 9
    • 6
    • 3
    • 3
    • 2
    • 2
    • 1
    • 1
    • 1
    • 1
    • 1
    • 1
    • 1
    • 1
    • 1
    • 1
    • 1
    • 1
    • 1
    • 1
    • 1
    • 1
    AA 975-1217

    Verwendungszweck

    Polyclonal Antibody to Complement Factor H (CFH)

    Spezifität

    The antibody is a rabbit polyclonal antibody raised against CFH. It has been selected for its ability to recognize CFH in immunohistochemical staining and western blotting.

    Kreuzreaktivität

    Maus

    Aufreinigung

    Antigen-specific affinity chromatography followed by Protein A affinity chromatography

    Immunogen

    Recombinant Complement Factor H (CFH) corresdonding to Ala975~Ser1217 with N-terminal His Tag

    Isotyp

    IgG
  • Applikationshinweise

    Western blotting: 0.5-2 μg/mLImmunohistochemistry: 5-20 μg/mLImmunocytochemistry: 5-20 μg/mLOptimal working dilutions must be determined by end user.

    Kommentare

    The thermal stability is described by the loss rate. The loss rate was determined by accelerated thermal degradation test, that is, incubate the protein at 37°C for 48h, and no obvious degradation and precipitation were observed. The loss rate is less than 5% within the expiration date under appropriate storage condition.

    Beschränkungen

    Nur für Forschungszwecke einsetzbar
  • Format

    Liquid

    Konzentration

    0.42 mg/mL

    Buffer

    0.01M PBS, pH 7.4, containing 0.05 % Proclin-300, 50 % glycerol.

    Konservierungsmittel

    ProClin

    Vorsichtsmaßnahmen

    This product contains ProClin: a POISONOUS AND HAZARDOUS SUBSTANCE which should be handled by trained staff only.

    Lagerung

    4 °C,-20 °C

    Informationen zur Lagerung

    Store at 4°C for frequent use. Stored at -20°C in a manual defrost freezer for two year without detectable loss of activity. Avoid repeated freeze-thaw cycles.

    Haltbarkeit

    24 months
  • Target

    Complement Factor H (CFH)

    Andere Bezeichnung

    Complement Factor H

    Hintergrund

    CF-H, FH, FHL1, ARMD4, ARMS1, CFHL3, HF1, HF2, HUS, H Factor 2, Age-Related Maculopathy Susceptibility 1, Adrenomedullin binding protein

    UniProt

    G3V9R2

    Pathways

    Komplementsystem, Cellular Response to Molecule of Bacterial Origin
Sie sind hier:
Chat with us!