Telefon:
+49 (0)241 95 163 153
Fax:
+49 (0)241 95 163 155
E-Mail:
orders@antikoerper-online.de

GJB1 Antikörper

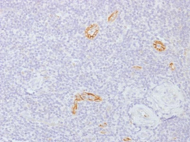
Der Maus Monoklonal anti-GJB1 Antikörper (Klon GJB1-1753) (ABIN6939516) detektiert spezifisch GJB1 in IHC. Dieser Antikörper reagiert spezifisch mit Proben aus Human, Ratte und Maus.
Produktnummer ABIN6939516
639,45 €
Zzgl. Versandkosten 20,00 € und MwSt
Lieferung nach: Deutschland
Lieferung in 6 bis 10 Werktagen

Kurzübersicht für GJB1 Antikörper (ABIN6939516)

Target

Alle GJB1 Antikörper anzeigen
GJB1 (Gap Junction Protein, beta 1, 32kDa (GJB1))

Reaktivität

  • 82
  • 75
  • 57
  • 6
  • 4
  • 3
  • 3
  • 3
  • 3
  • 2
  • 2
  • 1
Human, Ratte, Maus

Wirt

  • 65
  • 24
  • 12
Maus

Klonalität

  • 54
  • 47
Monoklonal

Konjugat

  • 45
  • 6
  • 3
  • 3
  • 3
  • 2
  • 2
  • 2
  • 2
  • 2
  • 2
  • 2
  • 2
  • 2
  • 2
  • 2
  • 2
  • 2
  • 2
  • 1
  • 1
  • 1
  • 1
  • 1
  • 1
  • 1
  • 1
  • 1
  • 1
  • 1
  • 1
  • 1
Dieser GJB1 Antikörper ist unkonjugiert

Applikation

  • 62
  • 46
  • 33
  • 27
  • 25
  • 18
  • 13
  • 13
  • 7
  • 6
  • 1
  • 1
  • 1
Immunohistochemistry (IHC)

Klon

GJB1-1753
  • Verwendungszweck

    Connexin 32 (Gap Junction Protein) Antibody

    Spezifität

    This Ab recognizes a protein of 27-32 kDa, identified as Connexin 32. The connexin family of proteins forms hexameric complexes called 'connexons' that facilitate movement of low molecular weight proteins between cells via gap junctions. Connexin proteins share a common topology of four transmembrane therefore, one connexin usually cannot fully substitute for another.

    Aufreinigung

    200ug/ml of Ab Purified from Bioreactor Concentrate by Protein G.

    Immunogen

    Recombinant human GJB1 protein

    Isotyp

    IgG
  • Applikationshinweise

    Positive Control: MCF-7 cells. Liver, Kidney, Stomach or Tonsil.

    Known Application: Immunohistochemistry (Formalin-fixed) (0.1-0.2 μg/mL for 30 min at RT)(Staining of formalin-fixed tissues requires boiling tissue sections in 10 mM Citrate Buffer, pH 6.0, for 10-20 min followed by cooling at RT for 20 minutes)Optimal dilution for a specific application should be determined.

    Beschränkungen

    Nur für Forschungszwecke einsetzbar
  • Konzentration

    200 μg/mL

    Buffer

    Prepared in 10 mM PBS with 0.05 % BSA & 0.05 % azide.

    Konservierungsmittel

    Sodium azide

    Vorsichtsmaßnahmen

    This product contains Sodium azide: a POISONOUS AND HAZARDOUS SUBSTANCE which should be handled by trained staff only.

    Lagerung

    4 °C

    Informationen zur Lagerung

    Antibody with azide - store at 2 to 8°C. Antibody without azide - store at -20 to -80°C. Antibody is stable for 24 months. Non-hazardous. No MSDS required.

    Haltbarkeit

    24 months
  • Target

    GJB1 (Gap Junction Protein, beta 1, 32kDa (GJB1))

    Andere Bezeichnung

    GJB1

    Hintergrund

    Charcot Marie Tooth neuropathy X linked, CMTX, CMTX1, Connexin-32, Cx32, GAP junction 28 kDa liver protein, Gap junction beta-1 protein, Gap junction protein beta 1 32kD, GJB1

    Kidney, MCF-7 cells. Liver, Stomach or Tonsil.

    Molekulargewicht

    27-32kDa

    Gen-ID

    2705, 333303

    UniProt

    P08034

    Pathways

    Cell-Cell Junction Organization
Sie sind hier:
Chat with us!