Telefon:
+49 (0)241 95 163 153
Fax:
+49 (0)241 95 163 155
E-Mail:
orders@antikoerper-online.de

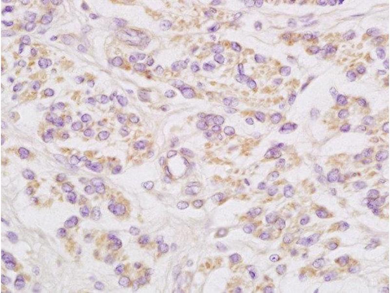
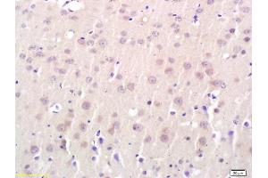
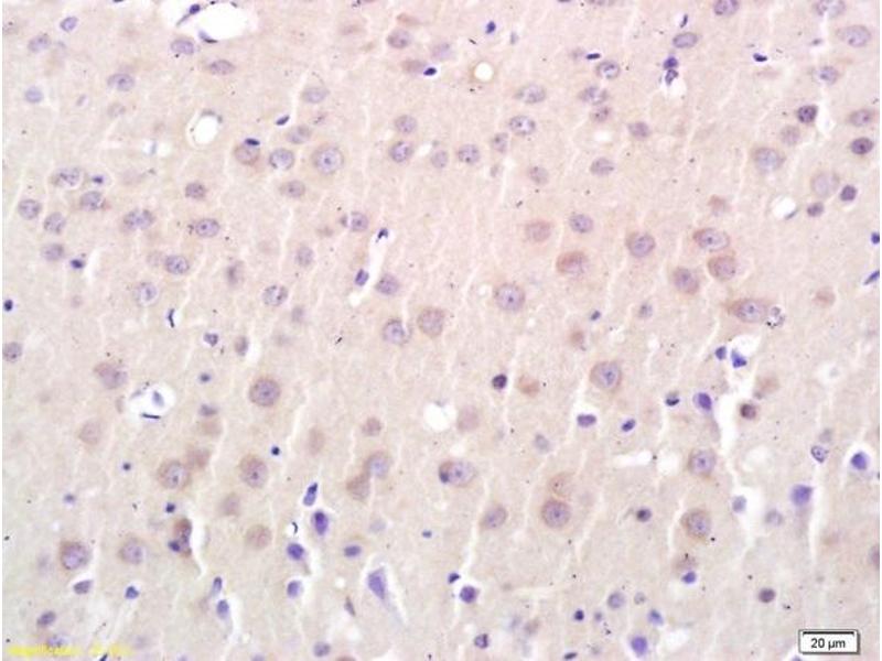
GJB1 Antikörper (AA 201-283)

Dieser Kaninchen Polyklonal Antikörper detektiert spezifisch GJB1 in ELISA, IHC (fro), IHC (p), IF (cc) und IF (p). Es zeigt Reaktivität gegenüber Proben von Human und Ratte.
Produktnummer ABIN685672
357,70 €
Zzgl. Versandkosten 20,00 € und MwSt
100 μL
Lieferung nach: Deutschland
Lieferung in 8 bis 12 Werktagen

Kurzübersicht für GJB1 Antikörper (AA 201-283) (ABIN685672)

Target

Alle GJB1 Antikörper anzeigen
GJB1 (Gap Junction Protein, beta 1, 32kDa (GJB1))

Reaktivität

  • 81
  • 73
  • 56
  • 6
  • 4
  • 3
  • 3
  • 3
  • 3
  • 2
  • 2
  • 1
Human, Ratte

Wirt

  • 64
  • 25
  • 12
Kaninchen

Klonalität

  • 53
  • 48
Polyklonal

Konjugat

  • 45
  • 6
  • 3
  • 3
  • 3
  • 2
  • 2
  • 2
  • 2
  • 2
  • 2
  • 2
  • 2
  • 2
  • 2
  • 2
  • 2
  • 2
  • 2
  • 1
  • 1
  • 1
  • 1
  • 1
  • 1
  • 1
  • 1
  • 1
  • 1
  • 1
  • 1
  • 1
Dieser GJB1 Antikörper ist unkonjugiert

Applikation

  • 62
  • 44
  • 33
  • 27
  • 24
  • 19
  • 12
  • 12
  • 7
  • 5
  • 2
  • 1
  • 1
  • 1
  • 1
ELISA, Immunohistochemistry (Frozen Sections) (IHC (fro)), Immunohistochemistry (Paraffin-embedded Sections) (IHC (p)), Immunofluorescence (Cultured Cells) (IF (cc)), Immunofluorescence (Paraffin-embedded Sections) (IF (p))
  • Bindungsspezifität

    • 14
    • 7
    • 5
    • 5
    • 3
    • 3
    • 2
    • 1
    • 1
    • 1
    • 1
    • 1
    • 1
    • 1
    • 1
    • 1
    • 1
    • 1
    • 1
    • 1
    • 1
    AA 201-283

    Kreuzreaktivität

    Human, Ratte

    Homologie

    Mouse,Dog,Cow,Pig,Horse,Rabbit,Guinea Pig

    Aufreinigung

    Purified by Protein A.

    Immunogen

    KLH conjugated synthetic peptide derived from human Connexin-32

    Isotyp

    IgG
  • Applikationshinweise

    ELISA 1:500-1000
    IHC-P 1:200-400
    IHC-F 1:100-500
    IF(IHC-P) 1:50-200
    IF(IHC-F) 1:50-200
    IF(ICC) 1:50-200

    Beschränkungen

    Nur für Forschungszwecke einsetzbar
  • Format

    Liquid

    Konzentration

    1 μg/μL

    Buffer

    0.01M TBS( pH 7.4) with 1 % BSA, 0.02 % Proclin300 and 50 % Glycerol.

    Konservierungsmittel

    ProClin

    Vorsichtsmaßnahmen

    This product contains ProClin: a POISONOUS AND HAZARDOUS SUBSTANCE, which should be handled by trained staff only.

    Lagerung

    4 °C,-20 °C

    Informationen zur Lagerung

    Shipped at 4°C. Store at -20°C for one year. Avoid repeated freeze/thaw cycles.

    Haltbarkeit

    12 months
  • Target

    GJB1 (Gap Junction Protein, beta 1, 32kDa (GJB1))

    Andere Bezeichnung

    Connexin-32

    Hintergrund

    Synonyms: CMTX, CX32, CMTX1, Gap junction beta-1 protein, Connexin-32, GAP junction 28 kDa liver protein, GJB1

    Background: One gap junction consists of a cluster of closely packed pairs of transmembrane channels, the connexons, through which materials of low MW diffuse from one cell to a neighboring cell.

    Gen-ID

    2705

    UniProt

    P08034

    Pathways

    Cell-Cell Junction Organization
Sie sind hier:
Chat with us!