Telefon:
+49 (0)241 95 163 153
Fax:
+49 (0)241 95 163 155
E-Mail:
orders@antikoerper-online.de

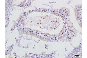
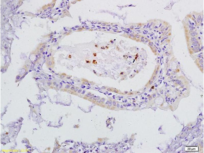
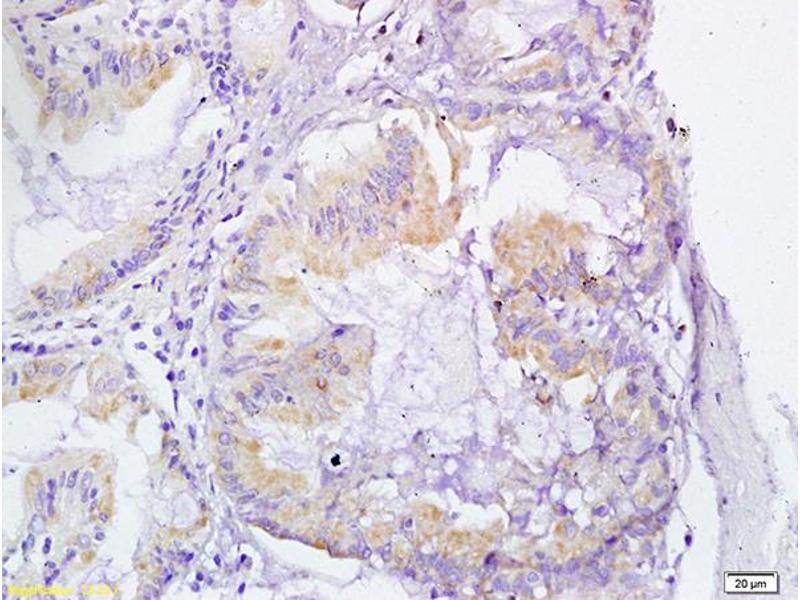
FLT4 Antikörper (AA 901-1000)

Es sind 3+ Publikationen für dieses Produkt verfügbar. Der Kaninchen Polyklonal anti-FLT4 Antikörper wird verwendet zum Nachweis von FLT4 in Proben von Human, Maus und Rind (Kuh). Er wurde validiert für ELISA, FACS, ICC, IHC (p), IF (cc), IF (p) und IHC (fro).
Produktnummer ABIN678578
357,70 €
Zzgl. Versandkosten 20,00 € und MwSt
100 μL
Lieferung nach: Deutschland
Lieferung in 8 bis 12 Werktagen

Kurzübersicht für FLT4 Antikörper (AA 901-1000) (ABIN678578)

Target

Alle FLT4 Antikörper anzeigen
FLT4 (Fms-Related Tyrosine Kinase 4 (FLT4))

Reaktivität

  • 92
  • 51
  • 15
  • 12
Human, Maus, Rind (Kuh)

Wirt

  • 71
  • 29
  • 9
  • 7
  • 2
Kaninchen

Klonalität

  • 72
  • 46
Polyklonal

Konjugat

  • 61
  • 11
  • 8
  • 7
  • 6
  • 4
  • 1
  • 1
  • 1
  • 1
  • 1
  • 1
  • 1
  • 1
  • 1
  • 1
  • 1
  • 1
  • 1
  • 1
  • 1
  • 1
  • 1
  • 1
  • 1
  • 1
  • 1
Dieser FLT4 Antikörper ist unkonjugiert

Applikation

  • 57
  • 42
  • 41
  • 34
  • 14
  • 12
  • 12
  • 12
  • 9
  • 8
  • 6
  • 5
  • 3
  • 2
  • 1
  • 1
  • 1
  • 1
  • 1
ELISA, Flow Cytometry (FACS), Immunocytochemistry (ICC), Immunohistochemistry (Paraffin-embedded Sections) (IHC (p)), Immunofluorescence (Cultured Cells) (IF (cc)), Immunofluorescence (Paraffin-embedded Sections) (IF (p)), Immunohistochemistry (Frozen Sections) (IHC (fro))
  • Bindungsspezifität

    • 15
    • 12
    • 5
    • 5
    • 5
    • 4
    • 2
    • 2
    • 1
    • 1
    • 1
    • 1
    • 1
    • 1
    • 1
    • 1
    • 1
    • 1
    • 1
    • 1
    AA 901-1000

    Kreuzreaktivität

    Rind (Kuh), Human, Maus

    Homologie

    Rat

    Aufreinigung

    Purified by Protein A.

    Immunogen

    KLH conjugated synthetic peptide derived from Mouse VEGFR-3

    Isotyp

    IgG
  • Applikationshinweise

    WB 1:300-5000
    ELISA 1:500-1000
    FCM 1:20-100
    IHC-P 1:200-400
    IHC-F 1:100-500
    IF(IHC-P) 1:50-200
    IF(IHC-F) 1:50-200
    IF(ICC) 1:50-200
    ICC 1:100-500

    Beschränkungen

    Nur für Forschungszwecke einsetzbar
  • Format

    Liquid

    Konzentration

    1 μg/μL

    Buffer

    0.01M TBS( pH 7.4) with 1 % BSA, 0.02 % Proclin300 and 50 % Glycerol.

    Konservierungsmittel

    ProClin

    Vorsichtsmaßnahmen

    This product contains ProClin: a POISONOUS AND HAZARDOUS SUBSTANCE, which should be handled by trained staff only.

    Lagerung

    4 °C,-20 °C

    Informationen zur Lagerung

    Shipped at 4°C. Store at -20°C for one year. Avoid repeated freeze/thaw cycles.

    Haltbarkeit

    12 months
  • Wang, Wang, Li, Wu, Sun, Chen, Feng, Chen, Cai, Xu, He: "CXCL1 from tumor-associated lymphatic endothelial cells drives gastric cancer cell into lymphatic system via activating integrin β1/FAK/AKT signaling." in: Cancer letters, Vol. 385, pp. 28-38, (2016) (PubMed).

    Zhuo, Jia, Song, Lu, Ding, Wang, Song, Fu, Luo: "The CXCL12-CXCR4 chemokine pathway: a novel axis regulates lymphangiogenesis." in: Clinical cancer research : an official journal of the American Association for Cancer Research, Vol. 18, Issue 19, pp. 5387-98, (2012) (PubMed).

    Wang, Zhou, Lin, Wang, Lin, Li: "RhGH attenuates ischemia injury of intrahepatic bile ducts relating to liver transplantation." in: The Journal of surgical research, Vol. 171, Issue 1, pp. 300-10, (2011) (PubMed).

  • Target

    FLT4 (Fms-Related Tyrosine Kinase 4 (FLT4))

    Andere Bezeichnung

    VEGFR3

    Hintergrund

    Synonyms: PCL, FLT41, LMPH1A, VEGFR3, Vascular endothelial growth factor receptor 3, VEGFR-3, Fms-like tyrosine kinase 4, FLT-4, Tyrosine-protein kinase receptor FLT4, FLT4

    Background: Tyrosine-protein kinase that acts as a cell-surface receptor for VEGFC and VEGFD, and plays an essential role in adult lymphangiogenesis and in the development of the vascular network and the cardiovascular system during embryonic development. Promotes proliferation, survival and migration of endothelial cells, and regulates angiogenic sprouting. Signaling by activated FLT4 leads to enhanced production of VEGFC, and to a lesser degree VEGFA, thereby creating a positive feedback loop that enhances FLT4 signaling. Modulates KDR signaling by forming heterodimers. The secreted isoform 3 may function as a decoy receptor for VEGFC and/or VEGFD and play an important role as a negative regulator of VEGFC-mediated lymphangiogenesis and angiogenesis. Binding of vascular growth factors to isoform 1 or isoform 2 leads to the activation of several signaling cascades, isoform 2 seems to be less efficient in signal transduction, because it has a truncated C-terminus and therefore lacks several phosphorylation sites. Mediates activation of the MAPK1/ERK2, MAPK3/ERK1 signaling pathway, of MAPK8 and the JUN signaling pathway, and of the AKT1 signaling pathway. Phosphorylates SHC1. Mediates phosphorylation of PIK3R1, the regulatory subunit of phosphatidylinositol 3-kinase. Promotes phosphorylation of MAPK8 at 'Thr-183' and 'Tyr-185', and of AKT1 at 'Ser-473'.

    Gen-ID

    2324

    UniProt

    P35916

    Pathways

    RTK Signalweg, Signaling Events mediated by VEGFR1 and VEGFR2, VEGF Signaling
Sie sind hier:
Chat with us!