STAT5B Antikörper (N-Term)
Kurzübersicht für STAT5B Antikörper (N-Term) (ABIN6744443)
Target
Alle STAT5B Antikörper anzeigenReaktivität
Wirt
Klonalität
Konjugat
Applikation
-
-
Bindungsspezifität
- N-Term
-
Spezifität
- Human STAT5b
-
Homologie
- Percent identity by BLAST analysis: Human, Dog, Rabbit, Horse, Pig, Chicken (100%) Bovine (91%) Xenopus (85%).
-
Aufreinigung
- Immunoaffinity purified
-
Immunogen
-
Synthetic peptide from N-Terminus of human STAT5B (P51692, NP_036580). Percent identity by BLAST analysis: Human, Gorilla, Gibbon, Galago, Mouse, Rat, Elephant, Panda, Dog, Rabbit, Horse, Pig, Opossum, Zebra finch, Chicken (100%), Bovine, Bat, Guinea pig, Xenopus (92%), Monkey, Sheep, Hamster, Platypus (85%).
Type of Immunogen: Synthetic peptide -
Isotyp
- IgG
-
-
-
-
Applikationshinweise
-
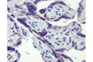
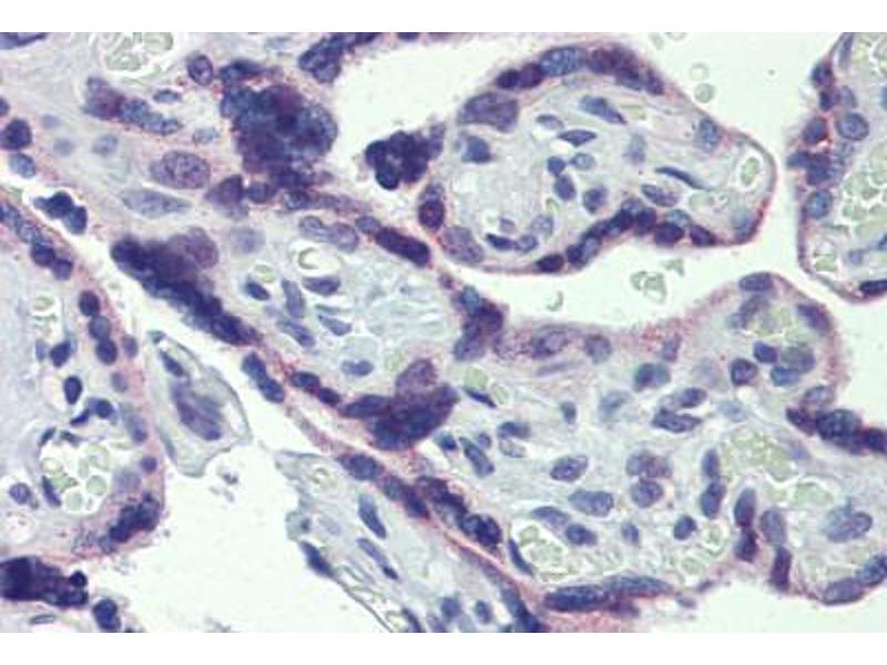
Approved: IHC, IHC-P (5 μg/mL), WB (1 μg/mL)
Usage: Immunohistochemistry: This antibody was validated for use in immunohistochemistry on a panel of 21 formalin-fixed, paraffin-embedded (FFPE) human tissues after heat induced antigen retrieval in pH 6.0 citrate buffer. After incubation with the primary antibody, slides were incubated with biotinylated secondary antibody, followed by alkaline phosphatase-streptavidin and chromogen. The stained slides were evaluated by a pathologist to confirm staining specificity. The optimal working concentration for this antibody was determined to be 5 μg/mL. Western Blot: Suggested dilution at 1 μg/mL in 5 % skim milk / PBS buffer, and HRP conjugated anti-Rabbit IgG should be diluted in 1: 50,000 - 100,000 as second antibody. ELISA titer in peptide based assay: 1:1562500. -
Kommentare
-
Target Species of Antibody: Human
-
Beschränkungen
- Nur für Forschungszwecke einsetzbar
-
-
-
Format
- Lyophilized
-
Rekonstitution
- Reconstitute with 50 μL sterile ddH2O.
-
Konzentration
- Lot specific
-
Buffer
- Lyophilized from PBS with 2 % sucrose
-
Handhabung
- Avoid repeat freeze-thaw cycles.
-
Lagerung
- 4 °C,-20 °C
-
Informationen zur Lagerung
-
Long term: -20°C, the use of 50% glycerol is recommended if storing aliquots in -20°C for long term use (up to 1 year)
Short term (less than 1 week): 4°C. Avoid freeze-thaw cycles.
-
-
- STAT5B (Signal Transducer and Activator of Transcription 5B (STAT5B))
-
Andere Bezeichnung
- STAT5B / STAT
-
Hintergrund
-
Name/Gene ID: STAT5B
Synonyms: STAT5B, Transcription factor STAT5B, STAT5 -
Gen-ID
- 6777
-
NCBI Accession
- NP_036580
-
UniProt
- P51692
-
Pathways
- JAK-STAT Signalweg, RTK Signalweg, Response to Growth Hormone Stimulus, C21-Steroid Hormone Metabolic Process, Regulation of Leukocyte Mediated Immunity, Positive Regulation of Immune Effector Process, CXCR4-mediated Signaling Events, Activated T Cell Proliferation
Target
-