KCNN3 Antikörper (AA 642-691)
Kurzübersicht für KCNN3 Antikörper (AA 642-691) (ABIN6736410)
Target
Alle KCNN3 Antikörper anzeigenReaktivität
Wirt
Klonalität
Konjugat
Applikation
-
-
Bindungsspezifität
- AA 642-691
-
Spezifität
- Human KCNN3
-
Homologie
- Percent identity by BLAST analysis: Human, Mouse, Rat, Dog, Bovine, Rabbit, Pig, Guinea pig (100%).
-
Aufreinigung
- Immunoaffinity purified
-
Immunogen
-
Synthetic peptide located between aa642-691 of human KCNN3 (Q9UGI6, NP_002240). Percent identity by BLAST analysis: Human, Chimpanzee, Gorilla, Gibbon, Monkey, Galago, Marmoset, Mouse, Rat, Elephant, Panda, Dog, Bovine, Bat, Rabbit, Pig, Opossum, Guinea pig (100%), Horse (92%), Zebra finch (85%).
Type of Immunogen: Synthetic peptide
-
-
-
-
Applikationshinweise
-
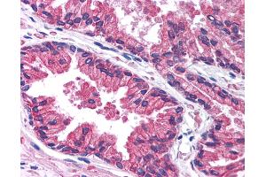
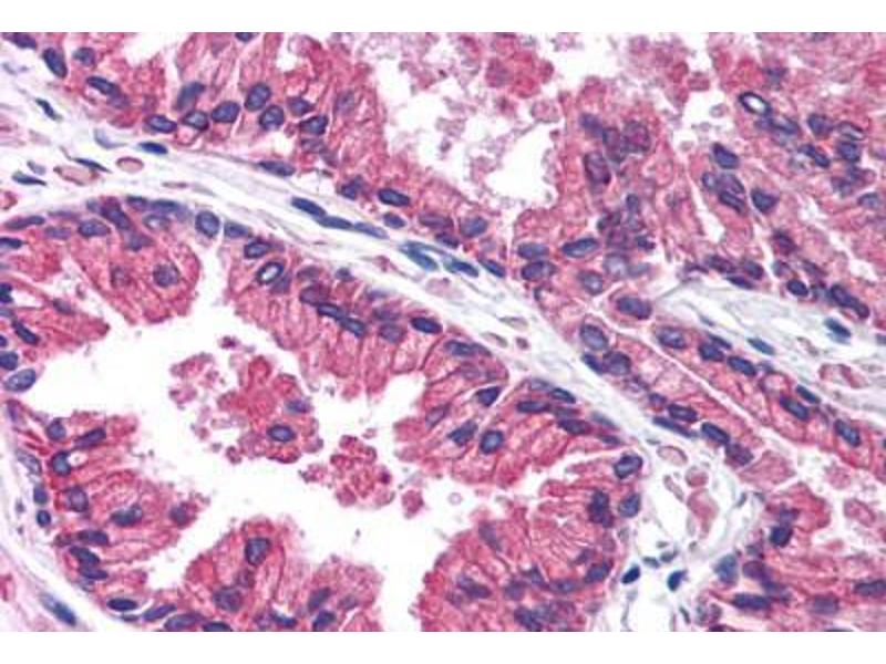
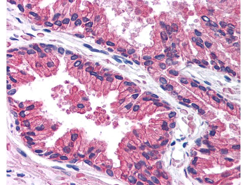
Approved: IHC, IHC-P (5 μg/mL), WB (0.2 - 1 μg/mL)
Usage: Immunohistochemistry: This antibody was validated for use in immunohistochemistry on a panel of 21 formalin-fixed, paraffin-embedded (FFPE) human tissues after heat induced antigen retrieval in pH 6.0 citrate buffer. After incubation with the primary antibody, slides were incubated with biotinylated secondary antibody, followed by alkaline phosphatase-streptavidin and chromogen. The stained slides were evaluated by a pathologist to confirm staining specificity. The optimal working concentration for this antibody was determined to be 5 μg/mL. -
Kommentare
-
Target Species of Antibody: Human
-
Beschränkungen
- Nur für Forschungszwecke einsetzbar
-
-
-
Format
- Lyophilized
-
Rekonstitution
- Distilled water
-
Konzentration
- Lot specific
-
Buffer
- Lyophilized from PBS with 2 % sucrose
-
Handhabung
- Avoid repeat freeze-thaw cycles.
-
Lagerung
- 4 °C,-20 °C
-
Informationen zur Lagerung
-
Long term: -20°C, the use of 50% glycerol is recommended if storing aliquots in -20°C for long term use (up to 1 year)
Short term (less than 1 week): 4°C. Avoid freeze-thaw cycles.
-
-
- KCNN3 (Small Conductance Calcium-Activated Potassium Channel Protein 3 (KCNN3))
-
Andere Bezeichnung
- KCNN3 / SK3
-
Hintergrund
-
Name/Gene ID: KCNN3
Subfamily: Potassium channel - calcium-activated
Family: Ion Channel
Synonyms: KCNN3, KCa2.3, HSK3, SKCa 3, SKCA3, K3, SK3 -
Gen-ID
- 3782
-
NCBI Accession
- NP_002240
-
UniProt
- Q9UGI6
Target
-