Telefon:
+49 (0)241 95 163 153
Fax:
+49 (0)241 95 163 155
E-Mail:
orders@antikoerper-online.de

CCDC90A Antikörper

Der Kaninchen Polyklonal anti-CCDC90A Antikörper wird verwendet zum Nachweis von CCDC90A in Proben von Human, Maus und Ratte. Er wurde validiert für WB und IHC.
Produktnummer ABIN6719261
500,50 €
Zzgl. Versandkosten 20,00 € und MwSt
100 μg
Lieferung nach: Deutschland
Lieferung in 8 bis 12 Werktagen

Kurzübersicht für CCDC90A Antikörper (ABIN6719261)

Target

Alle CCDC90A (MCUR1) Antikörper anzeigen
CCDC90A (MCUR1) (Mitochondrial Calcium Uniporter Regulator 1 (MCUR1))

Reaktivität

  • 19
  • 3
  • 2
  • 2
  • 2
  • 1
  • 1
  • 1
Human, Maus, Ratte

Wirt

  • 20
Kaninchen

Klonalität

  • 20
Polyklonal

Konjugat

  • 6
  • 1
  • 1
  • 1
  • 1
  • 1
  • 1
  • 1
  • 1
  • 1
  • 1
  • 1
  • 1
  • 1
  • 1
Dieser CCDC90A Antikörper ist unkonjugiert

Applikation

  • 13
  • 13
  • 4
  • 4
  • 4
  • 3
  • 1
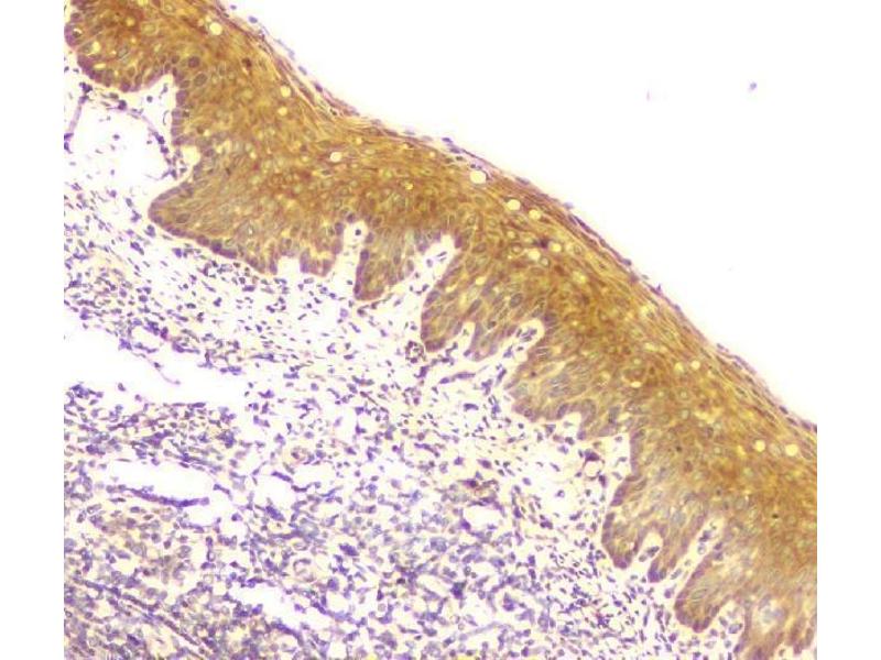
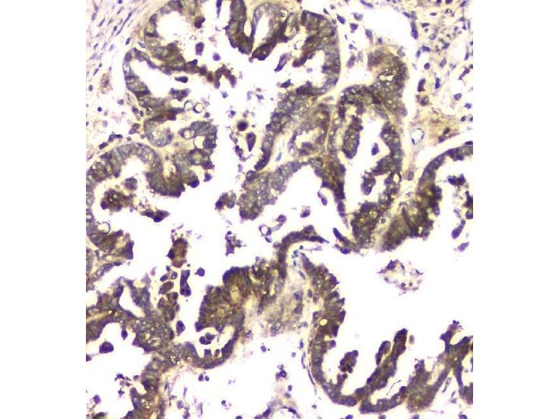
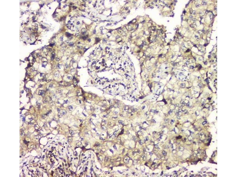
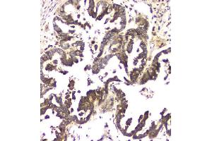
Western Blotting (WB), Immunohistochemistry (IHC)
  • Verwendungszweck

    Anti-MCUR1 Antibody

    Sequenz

    ATQQAEIIVS ALVKILEANM DIVYKDMVTK MQQE

    Kreuzreaktivität (Details)

    No cross-reactivity with other proteins.

    Produktmerkmale

    Anti-MCUR1 Antibody (ABIN6719261). Tested in IHC, WB applications. This antibody reacts with Human, Mouse, Rat. This is a premium antibody that guarantees superior quality, high affinity, and strong signals with minimal background in Western blot applications.

    Aufreinigung

    Immunogen affinity purified.

    Immunogen

    A synthetic peptide corresponding to a sequence in the middle region of human MCUR1, which shares 79.4% and 82.3% amino acid (aa) sequence identity with mouse and rat MCUR1, respectively.

    Isotyp

    IgG
  • Applikationshinweise

    Western blot, 0.1-0.5 μg/mL
    Immunohistochemistry (Paraffin-embedded Section), 0.5-1 μg/mL

    Kommentare

    Tested Species: In-house tested species with positive results. By Heat: Boiling the paraffin sections in 10mM citrate buffer, pH6.0, for 20mins is required for the staining of formalin/paraffin sections. Other applications have not been tested. Optimal dilutions should be determined by end users.

    Beschränkungen

    Nur für Forschungszwecke einsetzbar
  • Format

    Lyophilized

    Rekonstitution

    Adding 0.2 mL of distilled water will yield a concentration of 500 μg/mL.

    Konzentration

    500 μg/mL

    Buffer

    Each vial contains 4 mg Trehalose, 0.9 mg NaCl, 0.2 mg Na2HPO4, 0.05 mg NaN3.

    Konservierungsmittel

    Sodium azide

    Vorsichtsmaßnahmen

    This product contains Sodium azide: a POISONOUS AND HAZARDOUS SUBSTANCE which should be handled by trained staff only.

    Lagerung

    4 °C,-20 °C

    Informationen zur Lagerung

    Store at -20°C for one year from date of receipt. After reconstitution, at 4°C for one month.
    It can also be aliquotted and stored frozen at -20°C for six months. Avoid repeated freeze-thaw cycles.
  • Target

    CCDC90A (MCUR1) (Mitochondrial Calcium Uniporter Regulator 1 (MCUR1))

    Andere Bezeichnung

    MCUR1

    Hintergrund

    Synonyms: Mitochondrial calcium uniporter regulator 1, MCU regulator 1, Coiled-coil domain-containing protein 90A, mitochondrial, MCUR1, C6orf79, CCDC90A

    Tissue Specificity: Ubiquitously expressed.

    Background: MCUR1 is an inner mitochondrial membrane protein that has been shown to function as a component of the mitochondrial Ca (2+) uniporter, in the assembly of mitochondrial respiratory complex IV, and in mitochondrial permeability transition (MPT). The MCUR1 gene is mapped to chromosome 6p23 based on an alignment of the MCUR1 sequence with the genomic sequence.

    Molekulargewicht

    40 kDa

    Gen-ID

    63933
Sie sind hier:
Chat with us!