CCDC90A Antikörper (AA 261-359)
Kurzübersicht für CCDC90A Antikörper (AA 261-359) (ABIN2172606)
Target
Alle CCDC90A (MCUR1) Antikörper anzeigenReaktivität
Wirt
Klonalität
Konjugat
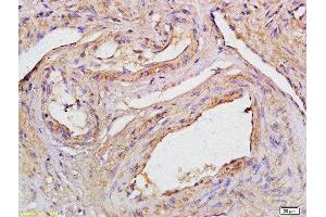
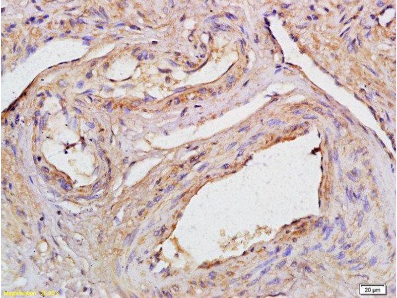
Applikation
-
-
Bindungsspezifität
- AA 261-359
-
Homologie
- Human,Mouse,Rat,Dog,Cow,Sheep,Horse,Chicken
-
Aufreinigung
- Purified by Protein A.
-
Immunogen
- KLH conjugated synthetic peptide derived from human CCDC90A
-
Isotyp
- IgG
-
-
-
-
Applikationshinweise
-
ELISA 1:500-1000
IHC-P 1:200-400
IHC-F 1:100-500
IF(IHC-P) 1:50-200
IF(IHC-F) 1:50-200
IF(ICC) 1:50-200 -
Beschränkungen
- Nur für Forschungszwecke einsetzbar
-
-
-
Format
- Liquid
-
Konzentration
- 1 μg/μL
-
Buffer
- 0.01M TBS( pH 7.4) with 1 % BSA, 0.02 % Proclin300 and 50 % Glycerol.
-
Konservierungsmittel
- ProClin
-
Vorsichtsmaßnahmen
- This product contains ProClin: a POISONOUS AND HAZARDOUS SUBSTANCE, which should be handled by trained staff only.
-
Lagerung
- 4 °C,-20 °C
-
Informationen zur Lagerung
- Shipped at 4°C. Store at -20°C for one year. Avoid repeated freeze/thaw cycles.
-
Haltbarkeit
- 12 months
-
-
- CCDC90A (MCUR1) (Mitochondrial Calcium Uniporter Regulator 1 (MCUR1))
-
Andere Bezeichnung
- CCDC90A
-
Hintergrund
-
Synonyms: C6orf79, Coiled coil domain containing 90A, Coiled coil domain containing protein 90A, mitochondrial, FLJ20958, CC90A_HUMAN.
Background: CCDC90A
-
Gen-ID
- 63933
Target
-