Telefon:
+49 (0)241 95 163 153
Fax:
+49 (0)241 95 163 155
E-Mail:
orders@antikoerper-online.de

Survivin Antikörper (AA 85-142)

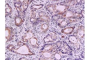
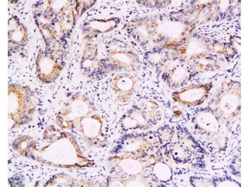
Zitiert in 1 Publikation. Der Kaninchen Polyklonal anti-Survivin Antikörper (ABIN670911) detektiert spezifisch Survivin in WB, ELISA, IHC (p), FACS, IF (cc), IF (p) und IHC (fro). Dieser Antikörper reagiert spezifisch mit Proben aus Human und Maus.
Produktnummer ABIN670911
357,70 €
Zzgl. Versandkosten 20,00 € und MwSt
100 μL
Lieferung nach: Deutschland
Lieferung in 8 bis 12 Werktagen

Kurzübersicht für Survivin Antikörper (AA 85-142) (ABIN670911)

Target

Alle Survivin (BIRC5) Antikörper anzeigen
Survivin (BIRC5) (Baculoviral IAP Repeat-Containing 5 (BIRC5))

Reaktivität

  • 163
  • 70
  • 60
  • 1
  • 1
  • 1
  • 1
  • 1
Human, Maus

Wirt

  • 135
  • 47
  • 1
  • 1
  • 1
Kaninchen

Klonalität

  • 96
  • 89
Polyklonal

Konjugat

  • 100
  • 14
  • 10
  • 5
  • 4
  • 4
  • 4
  • 4
  • 4
  • 4
  • 3
  • 3
  • 2
  • 2
  • 2
  • 2
  • 2
  • 2
  • 2
  • 2
  • 2
  • 2
  • 2
  • 2
  • 1
  • 1
Dieser Survivin Antikörper ist unkonjugiert

Applikation

  • 150
  • 67
  • 62
  • 54
  • 35
  • 34
  • 33
  • 25
  • 18
  • 12
  • 6
  • 5
  • 5
  • 3
  • 1
  • 1
  • 1
  • 1
Western Blotting (WB), ELISA, Immunohistochemistry (Paraffin-embedded Sections) (IHC (p)), Flow Cytometry (FACS), Immunofluorescence (Cultured Cells) (IF (cc)), Immunofluorescence (Paraffin-embedded Sections) (IF (p)), Immunohistochemistry (Frozen Sections) (IHC (fro))
  • Bindungsspezifität

    • 29
    • 15
    • 8
    • 7
    • 6
    • 5
    • 5
    • 4
    • 4
    • 2
    • 2
    • 2
    • 2
    • 2
    • 2
    • 2
    • 2
    • 1
    • 1
    • 1
    • 1
    • 1
    • 1
    • 1
    • 1
    • 1
    • 1
    • 1
    • 1
    AA 85-142

    Kreuzreaktivität

    Human, Maus

    Homologie

    Rat,Dog,Cow,Pig,Horse,Guinea Pig

    Aufreinigung

    Purified by Protein A.

    Immunogen

    KLH conjugated synthetic peptide derived from human Survivin

    Isotyp

    IgG
  • Applikationshinweise

    WB 1:300-5000
    ELISA 1:500-1000
    FCM 1:20-100
    IHC-P 1:200-400
    IHC-F 1:100-500
    IF(IHC-P) 1:50-200
    IF(IHC-F) 1:50-200
    IF(ICC) 1:50-200

    Beschränkungen

    Nur für Forschungszwecke einsetzbar
  • Format

    Liquid

    Konzentration

    1 μg/μL

    Buffer

    0.01M TBS( pH 7.4) with 1 % BSA, 0.02 % Proclin300 and 50 % Glycerol.

    Konservierungsmittel

    ProClin

    Vorsichtsmaßnahmen

    This product contains ProClin: a POISONOUS AND HAZARDOUS SUBSTANCE, which should be handled by trained staff only.

    Lagerung

    4 °C,-20 °C

    Informationen zur Lagerung

    Shipped at 4°C. Store at -20°C for one year. Avoid repeated freeze/thaw cycles.

    Haltbarkeit

    12 months
  • Assaf, Abdel-Maged, Elsadek, Hassan, Adly, Ali: "Survivin as a Novel Biomarker in the Pathogenesis of Acne Vulgaris and Its Correlation to Insulin-Like Growth Factor-I." in: Disease markers, Vol. 2016, pp. 7040312, (2017) (PubMed).

  • Target

    Survivin (BIRC5) (Baculoviral IAP Repeat-Containing 5 (BIRC5))

    Andere Bezeichnung

    Survivin

    Hintergrund

    Synonyms: API4, EPR-1, Baculoviral IAP repeat-containing protein 5, Apoptosis inhibitor 4, Apoptosis inhibitor survivin, BIRC5, IAP4

    Background: Multitasking protein that has dual roles in promoting cell proliferation and preventing apoptosis. Component of a chromosome passage protein complex (CPC) which is essential for chromosome alignment and segregation during mitosis and cytokinesis. Acts as an important regulator of the localization of this complex, directs CPC movement to different locations from the inner centromere during prometaphase to midbody during cytokinesis and participates in the organization of the center spindle by associating with polymerized microtubules. The complex with RAN plays a role in mitotic spindle formation by serving as a physical scaffold to help deliver the RAN effector molecule TPX2 to microtubules. May counteract a default induction of apoptosis in G2/M phase. The acetylated form represses STAT3 transactivation of target gene promoters. May play a role in neoplasia. Inhibitor of CASP3 and CASP7. Isoform 2 and isoform 3 do not appear to play vital roles in mitosis. Isoform 3 shows a marked reduction in its anti-apoptotic effects when compared with the displayed wild-type isoform.

    Gen-ID

    332

    UniProt

    O15392

    Pathways

    Apoptose, Zellzyklus, Nuclear Hormone Receptor Binding
Sie sind hier:
Chat with us!