Telefon:
+49 (0)241 95 163 153
Fax:
+49 (0)241 95 163 155
E-Mail:
orders@antikoerper-online.de

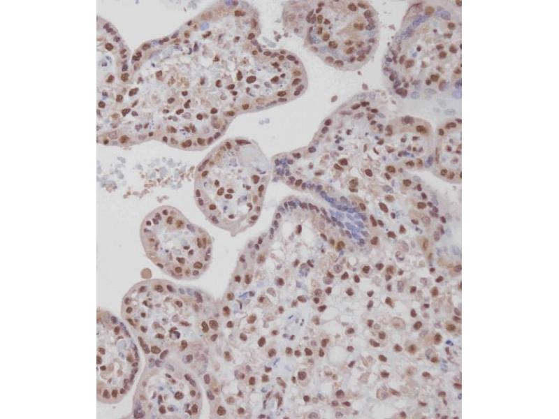
TARDBP Antikörper (N-Term)

Dieser Kaninchen Polyklonal Antikörper detektiert spezifisch TARDBP in WB, IF und IHC (p). Es zeigt Reaktivität gegenüber Proben von Human, Maus und Ratte.
Produktnummer ABIN657685
434,77 €
Zzgl. Versandkosten 20,00 € und MwSt
Lieferung nach: Deutschland
Lieferung in 14 bis 17 Werktagen

Kurzübersicht für TARDBP Antikörper (N-Term) (ABIN657685)

Target

Alle TARDBP Antikörper anzeigen
TARDBP (TAR DNA Binding Protein (TARDBP))

Reaktivität

  • 127
  • 79
  • 77
  • 22
  • 8
  • 8
  • 7
  • 6
  • 5
  • 5
  • 5
  • 4
  • 3
  • 1
Human, Maus, Ratte

Wirt

  • 120
  • 25
  • 1
Kaninchen

Klonalität

  • 79
  • 67
Polyklonal

Konjugat

  • 81
  • 8
  • 5
  • 5
  • 5
  • 5
  • 5
  • 5
  • 4
  • 3
  • 3
  • 2
  • 2
  • 2
  • 1
  • 1
  • 1
  • 1
  • 1
  • 1
  • 1
  • 1
  • 1
  • 1
  • 1
Dieser TARDBP Antikörper ist unkonjugiert

Applikation

  • 123
  • 77
  • 66
  • 44
  • 41
  • 36
  • 34
  • 17
  • 14
  • 13
  • 4
  • 3
  • 3
  • 3
  • 2
  • 2
  • 1
  • 1
Western Blotting (WB), Immunofluorescence (IF), Immunohistochemistry (Paraffin-embedded Sections) (IHC (p))

Klon

RB33828
  • Bindungsspezifität

    • 15
    • 12
    • 7
    • 7
    • 7
    • 4
    • 3
    • 2
    • 2
    • 2
    • 2
    • 2
    • 2
    • 2
    • 1
    • 1
    • 1
    • 1
    • 1
    • 1
    • 1
    • 1
    • 1
    AA 1-30, N-Term

    Homologie

    C

    Aufreinigung

    This antibody is purified through a protein A column, followed by peptide affinity purification.

    Immunogen

    This TARDBP antibody is generated from rabbits immunized with a KLH conjugated synthetic peptide between 1-30 amino acids from the N-terminal region of human TARDBP.

    Isotyp

    Ig Fraction
  • Applikationshinweise

    IF: 1:10~50. WB: 1:2000. IHC-P: 1:100

    Beschränkungen

    Nur für Forschungszwecke einsetzbar
  • Format

    Liquid

    Buffer

    Purified polyclonal antibody supplied in PBS with 0.09 % (W/V) sodium azide.

    Konservierungsmittel

    Sodium azide

    Vorsichtsmaßnahmen

    This product contains Sodium azide: a POISONOUS AND HAZARDOUS SUBSTANCE which should be handled by trained staff only.

    Lagerung

    4 °C,-20 °C

    Informationen zur Lagerung

    TARDBP Antibody (N-term) can be refrigerated at 2-8 °C for up to 6 months. For long term storage, place the at -20 °C.

    Haltbarkeit

    6 months
  • Target

    TARDBP (TAR DNA Binding Protein (TARDBP))

    Andere Bezeichnung

    TARDBP

    Hintergrund

    HIV-1, the causative agent of acquired immunodeficiency syndrome (AIDS), contains an RNA genome that produces a chromosomally integrated DNA during the replicative cycle. Activation of HIV-1 gene expression by the transactivator Tat is dependent on an RNA regulatory element (TAR) located downstream of the transcription initiation site. The protein encoded by this gene is a transcriptional repressor that binds to chromosomally integrated TAR DNA and represses HIV-1 transcription. In addition, this protein regulates alternate splicing of the CFTR gene. A similar pseudogene is present on chromosome 20. [provided by RefSeq].

    Molekulargewicht

    44740

    Gen-ID

    23435

    NCBI Accession

    NP_031401

    UniProt

    Q13148

    Pathways

    Positive Regulation of Peptide Hormone Secretion
Sie sind hier:
Chat with us!