Telefon:
+49 (0)241 95 163 153
Fax:
+49 (0)241 95 163 155
E-Mail:
orders@antikoerper-online.de

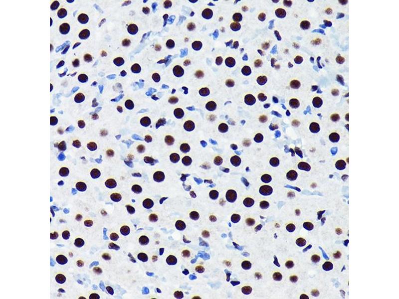
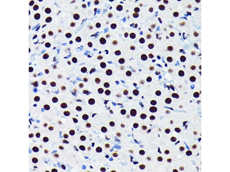
TARDBP Antikörper

Der Kaninchen Monoklonal anti-TARDBP Antikörper wird verwendet zum Nachweis von TARDBP in Proben von Human. Er wurde validiert für WB, IHC und IF.
Produktnummer ABIN7270730
350,00 €
Zzgl. Versandkosten 20,00 € und MwSt
Lieferung nach: Deutschland
Lieferung in 7 bis 9 Werktagen

Kurzübersicht für TARDBP Antikörper (ABIN7270730)

Target

Alle TARDBP Antikörper anzeigen
TARDBP (TAR DNA Binding Protein (TARDBP))

Reaktivität

  • 131
  • 80
  • 78
  • 22
  • 8
  • 8
  • 7
  • 6
  • 5
  • 5
  • 5
  • 4
  • 3
  • 1
Human

Wirt

  • 122
  • 27
  • 1
Kaninchen

Klonalität

  • 80
  • 70
Monoklonal

Konjugat

  • 85
  • 8
  • 5
  • 5
  • 5
  • 5
  • 5
  • 5
  • 4
  • 3
  • 3
  • 2
  • 2
  • 2
  • 1
  • 1
  • 1
  • 1
  • 1
  • 1
  • 1
  • 1
  • 1
  • 1
  • 1
Dieser TARDBP Antikörper ist unkonjugiert

Applikation

  • 127
  • 80
  • 66
  • 44
  • 43
  • 36
  • 34
  • 18
  • 14
  • 13
  • 4
  • 3
  • 3
  • 3
  • 2
  • 2
  • 1
  • 1
Western Blotting (WB), Immunohistochemistry (IHC), Immunofluorescence (IF)
  • Verwendungszweck

    TDP-43/TARDB Rabbit mAb

    Kreuzreaktivität

    Human, Maus, Ratte

    Produktmerkmale

    Monoclonal Antibodies

    Aufreinigung

    Affinity purification

    Immunogen

    A synthesized peptide derived from human TDP-43/TARDB

    Isotyp

    IgG
  • Applikationshinweise

    WB,1:500 - 1:2000,IHC,1:50 - 1:200,IF,1:50 - 1:200

    Beschränkungen

    Nur für Forschungszwecke einsetzbar
  • Format

    Liquid

    Buffer

    PBS with 0.02 % sodium azide,0.05 % BSA,50 % glycerol, pH 7.3.

    Konservierungsmittel

    Sodium azide

    Vorsichtsmaßnahmen

    This product contains Sodium azide: a POISONOUS AND HAZARDOUS SUBSTANCE which should be handled by trained staff only.

    Lagerung

    -20 °C

    Informationen zur Lagerung

    Store at -20°C. Avoid freeze / thaw cycles.
  • Target

    TARDBP (TAR DNA Binding Protein (TARDBP))

    Andere Bezeichnung

    TARDBP

    Hintergrund

    HIV-1, the causative agent of acquired immunodeficiency syndrome (AIDS), contains an RNA genome that produces a chromosomally integrated DNA during the replicative cycle. Activation of HIV-1 gene expression by the transactivator Tat is dependent on an RNA regulatory element (TAR) located downstream of the transcription initiation site. The protein encoded by this gene is a transcriptional repressor that binds to chromosomally integrated TAR DNA and represses HIV-1 transcription. In addition, this protein regulates alternate splicing of the CFTR gene. A similar pseudogene is present on chromosome 20. [provided by RefSeq, Jul 2008],ALS10,TDP-43,TARDBP,TDP43,Apoptosis,Cell Biology & Developmental Biology,Epigenetics & Nuclear Signaling,Neurodegenerative Diseases,Neurodegenerative Diseases Markers,Neurodegenerative Diseases_Amyotrophic lateral sclerosis,ALS,Neuroscience,Other Neurological disorders,RNA Binding,TARDBP

    Molekulargewicht

    45kDa

    Gen-ID

    23435

    UniProt

    Q13148

    Pathways

    Positive Regulation of Peptide Hormone Secretion
Sie sind hier:
Chat with us!