Telefon:
+49 (0)241 95 163 153
Fax:
+49 (0)241 95 163 155
E-Mail:
orders@antikoerper-online.de

Cyclin B1 Antikörper (AA 241-268)

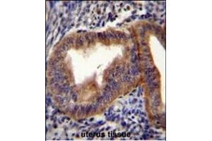
Dieser Kaninchen Polyklonal Antikörper detektiert spezifisch Cyclin B1 in WB und IHC (p). Es zeigt Reaktivität gegenüber Proben von Human.Es wurde in 1 Publikation zitiert.
Produktnummer ABIN655048
434,77 €
Zzgl. Versandkosten 20,00 € und MwSt
Lieferung nach: Deutschland
Lieferung in 14 bis 17 Werktagen

Kurzübersicht für Cyclin B1 Antikörper (AA 241-268) (ABIN655048)

Target

Alle Cyclin B1 (CCNB1) Antikörper anzeigen
Cyclin B1 (CCNB1)

Reaktivität

  • 232
  • 103
  • 46
  • 25
  • 21
  • 16
  • 5
  • 4
  • 4
  • 3
  • 3
  • 2
  • 2
  • 1
  • 1
Human

Wirt

  • 196
  • 44
  • 1
Kaninchen

Klonalität

  • 146
  • 95
Polyklonal

Konjugat

  • 114
  • 12
  • 6
  • 6
  • 6
  • 4
  • 4
  • 4
  • 4
  • 4
  • 4
  • 4
  • 4
  • 4
  • 4
  • 4
  • 4
  • 4
  • 4
  • 4
  • 4
  • 4
  • 3
  • 3
  • 3
  • 3
  • 3
  • 3
  • 3
  • 3
  • 3
  • 2
Dieser Cyclin B1 Antikörper ist unkonjugiert

Applikation

  • 169
  • 89
  • 77
  • 68
  • 59
  • 41
  • 40
  • 39
  • 38
  • 26
  • 11
  • 9
  • 9
  • 9
  • 4
  • 2
  • 2
  • 2
  • 1
  • 1
  • 1
Western Blotting (WB), Immunohistochemistry (Paraffin-embedded Sections) (IHC (p))

Klon

RB14911
  • Bindungsspezifität

    • 40
    • 22
    • 16
    • 16
    • 8
    • 8
    • 7
    • 3
    • 3
    • 3
    • 2
    • 2
    • 2
    • 2
    • 2
    • 2
    • 2
    • 2
    • 2
    • 2
    • 2
    • 2
    • 2
    • 2
    • 1
    • 1
    • 1
    • 1
    • 1
    • 1
    • 1
    • 1
    • 1
    • 1
    • 1
    • 1
    • 1
    AA 241-268

    Homologie

    B, Ha, M, Rat

    Aufreinigung

    This antibody is prepared by Saturated Ammonium Sulfate (SAS) precipitation followed by dialysis against PBS.

    Immunogen

    This CCNB1 antibody is generated from rabbits immunized with a KLH conjugated synthetic peptide between 241-268 amino acids from the Central region of human CCNB1.

    Isotyp

    Ig Fraction
  • Applikationshinweise

    WB: 1:1000. IHC-P: 1:50~100

    Beschränkungen

    Nur für Forschungszwecke einsetzbar
  • Format

    Liquid

    Buffer

    Purified polyclonal antibody supplied in PBS with 0.09 % (W/V) sodium azide.

    Konservierungsmittel

    Sodium azide

    Vorsichtsmaßnahmen

    This product contains Sodium azide: a POISONOUS AND HAZARDOUS SUBSTANCE which should be handled by trained staff only.

    Lagerung

    4 °C,-20 °C

    Informationen zur Lagerung

    Maintain refrigerated at 2-8 °C for up to 6 months. For long term storage store at -20 °C in small aliquots to prevent freeze-thaw cycles.

    Haltbarkeit

    6 months
  • Chang, Nam, Kook, Kim, Liu, Yao, Jung, Lemos, Seo, Park, Gim, Hong, Huh, Kim, Tan, Liu, Powis, Park, Liang, Kim: "HNF4? is a therapeutic target that links AMPK to WNT signalling in early-stage gastric cancer." in: Gut, (2014) (PubMed).

  • Target

    Cyclin B1 (CCNB1)

    Andere Bezeichnung

    CCNB1

    Hintergrund

    The protein encoded by this gene is a regulatory protein involved in mitosis. The gene product complexes with p34(cdc2) to form the maturation-promoting factor (MPF). Two alternative transcripts have been found, a constitutively expressed transcript and a cell cycle-regulated transcript, that is expressed predominantly during G2/M phase. The different transcripts result from the use of alternate transcription initiation sites. [provided by RefSeq].

    Molekulargewicht

    48337

    Gen-ID

    891

    NCBI Accession

    NP_114172

    UniProt

    P14635

    Pathways

    Zellzyklus, AMPK Signaling, Mitotic G1-G1/S Phases, M Phase
Sie sind hier:
Chat with us!