Telefon:
+49 (0)241 95 163 153
Fax:
+49 (0)241 95 163 155
E-Mail:
orders@antikoerper-online.de

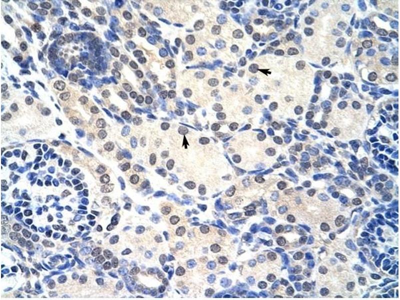
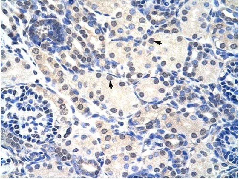
RNASEH2A Antikörper (C-Term)

Der Kaninchen Polyklonal anti-RNASEH2A Antikörper wird verwendet zum Nachweis von RNASEH2A in Proben von Human. Er wurde validiert für WB und IHC.
Produktnummer ABIN634223
1.218,13 €
Zzgl. Versandkosten 20,00 € und MwSt
100 μL
Lieferung nach: Deutschland
Lieferung in 13 bis 17 Werktagen

Kurzübersicht für RNASEH2A Antikörper (C-Term) (ABIN634223)

Target

Alle RNASEH2A Antikörper anzeigen
RNASEH2A (Ribonuclease H2, Subunit A (RNASEH2A))

Reaktivität

  • 24
  • 6
  • 5
  • 4
  • 2
  • 2
  • 2
  • 1
  • 1
  • 1
  • 1
  • 1
Human

Wirt

  • 23
  • 4
Kaninchen

Klonalität

  • 26
  • 1
Polyklonal

Konjugat

  • 24
  • 1
  • 1
  • 1
Dieser RNASEH2A Antikörper ist unkonjugiert

Applikation

  • 22
  • 11
  • 11
  • 6
  • 5
  • 5
  • 1
  • 1
  • 1
  • 1
Western Blotting (WB), Immunohistochemistry (IHC)
  • Bindungsspezifität

    • 6
    • 4
    • 2
    • 2
    • 2
    • 1
    • 1
    • 1
    • 1
    • 1
    • 1
    C-Term

    Spezifität

    RNASEH2 A antibody was raised against the C terminal of RNASEH2

    Aufreinigung

    Affinity purified

    Immunogen

    RNASEH2 A antibody was raised using the C terminal of RNASEH2 corresponding to a region with amino acids EKEAEDVIWEDSASENQEGLRKITSYFLNEGSQARPRSSHRYFLERGLES
  • Applikationshinweise

    WB: 0.25 µg/mL, IHC: 4-8 µg/mL
    Optimal conditions should be determined by the investigator.

    Kommentare

    RNASEH2A Blocking Peptide, (ABIN937886), is also available for use as a blocking control in assays to test for specificity of this RNASEH2A antibody

    Beschränkungen

    Nur für Forschungszwecke einsetzbar
  • Format

    Lyophilized

    Rekonstitution

    Lyophilized powder. Add distilled water for a 1 mg/mL concentration of RNASEH0 antibody in PBS

    Konzentration

    Lot specific

    Buffer

    PBS

    Handhabung

    Avoid repeated freeze/thaw cycles.
    Dilute only prior to immediate use.

    Lagerung

    4 °C/-20 °C

    Informationen zur Lagerung

    Store at 2-8 °C for short periods. For longer periods of storage, store at -20 °C.
  • Target

    RNASEH2A (Ribonuclease H2, Subunit A (RNASEH2A))

    Andere Bezeichnung

    RNASEH2A

    Hintergrund

    Of the multiple RNases H in mammals, RNase HI is the major enzyme and shows increased activity during DNA replication. It shows more homology to the RNase HII of Escherichia coli.

    Molekulargewicht

    33 kDa (MW of target protein)
Sie sind hier:
Chat with us!