Telefon:
+49 (0)241 95 163 153
Fax:
+49 (0)241 95 163 155
E-Mail:
orders@antikoerper-online.de

PI3K p85 alpha/gamma Antikörper

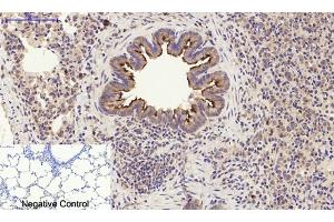
Zitiert in 1 Publikation. Der Kaninchen Polyklonal anti-PI3K p85 alpha/gamma Antikörper (ABIN6264193) detektiert spezifisch PI3K p85 alpha/gamma in WB, ELISA, IF, IHC und ICC. Dieser Antikörper reagiert spezifisch mit Proben aus Human, Maus, Ratte und Affe.
Produktnummer ABIN6264193
525,71 €
Zzgl. Versandkosten 20,00 € und MwSt
Lieferung nach: Deutschland
Lieferung in 9 bis 11 Werktagen

Kurzübersicht für PI3K p85 alpha/gamma Antikörper (ABIN6264193)

Target

PI3K p85 alpha/gamma (PI3K p85a/g) (Phosphoinositide 3 Kinase, p85 alpha/gamma (PI3K p85a/g))

Reaktivität

  • 21
  • 21
  • 21
  • 16
  • 4
  • 1
Human, Maus, Ratte, Affe

Wirt

  • 21
Kaninchen

Klonalität

  • 21
Polyklonal

Konjugat

  • 6
  • 1
  • 1
  • 1
  • 1
  • 1
  • 1
  • 1
  • 1
  • 1
  • 1
  • 1
  • 1
  • 1
  • 1
  • 1
Dieser PI3K p85 alpha/gamma Antikörper ist unkonjugiert

Applikation

  • 21
  • 14
  • 13
  • 13
  • 8
  • 5
  • 5
  • 3
  • 2
  • 1
Western Blotting (WB), ELISA, Immunofluorescence (IF), Immunohistochemistry (IHC), Immunocytochemistry (ICC)
  • Spezifität

    PI3-kinase p85-alpha/gamma Antibody detects endogenous levels of total PI3-kinase p85-alpha/gamma

    Kreuzreaktivität

    Human, Affe, Maus, Ratte (Rattus)

    Aufreinigung

    The antiserum was purified by peptide affinity chromatography using SulfoLinkTM Coupling Resin (Thermo Fisher Scientific).

    Immunogen

    A synthesized peptide derived from human PI3-kinase p85-alpha/gamma

    Isotyp

    IgG
  • Applikationshinweise

    WB 1:500-1:2000 IHC 1:50-1:200 IF/ICC 1:100-1:500

    Beschränkungen

    Nur für Forschungszwecke einsetzbar
  • Format

    Liquid

    Konzentration

    1 mg/mL

    Buffer

    Rabbit IgG in phosphate buffered saline ,  pH 7.4, 150  mM NaCl, 0.02 % sodium azide and 50 % glycerol.

    Konservierungsmittel

    Sodium azide

    Vorsichtsmaßnahmen

    This product contains Sodium azide: a POISONOUS AND HAZARDOUS SUBSTANCE which should be handled by trained staff only.

    Lagerung

    -20 °C

    Informationen zur Lagerung

    Store at -20 °C.Stable for 12 months from date of receipt

    Haltbarkeit

    12 months
  • Chai, Bai, Li, Chen, Zhang: "Biological functions of lung cancer cells are suppressed in co-culture with mesenchymal stem cells isolated from umbilical cord." in: Experimental and therapeutic medicine, Vol. 15, Issue 1, pp. 1076-1080, (2018) (PubMed).

  • Target

    PI3K p85 alpha/gamma (PI3K p85a/g) (Phosphoinositide 3 Kinase, p85 alpha/gamma (PI3K p85a/g))

    Andere Bezeichnung

    PI3-kinase p85-alpha/gamma

    Hintergrund

    Description: Binds to activated (phosphorylated) protein-Tyr kinases, through its SH2 domain, and acts as an adapter, mediating the association of the p110 catalytic unit to the plasma membrane. Necessary for the insulin-stimulated increase in glucose uptake and glycogen synthesis in insulin-sensitive tissues. Plays an important role in signaling in response to FGFR1, FGFR2, FGFR3, FGFR4, KITLG/SCF, KIT, PDGFRA and PDGFRB. Likewise, plays a role in ITGB2 signaling (PubMed:17626883, PubMed:19805105, PubMed:7518429). Modulates the cellular response to ER stress by promoting nuclear translocation of XBP1 isoform 2 in a ER stress- and/or insulin-dependent manner during metabolic overloading in the liver and hence plays a role in glucose tolerance improvement (PubMed:20348923).

    Gene: PIK3R1

    Molekulargewicht

    54,83kDa

    Gen-ID

    5295

    UniProt

    P27986, Q92569
Sie sind hier:
Chat with us!