Telefon:
+49 (0)241 95 163 153
Fax:
+49 (0)241 95 163 155
E-Mail:
orders@antikoerper-online.de

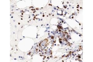
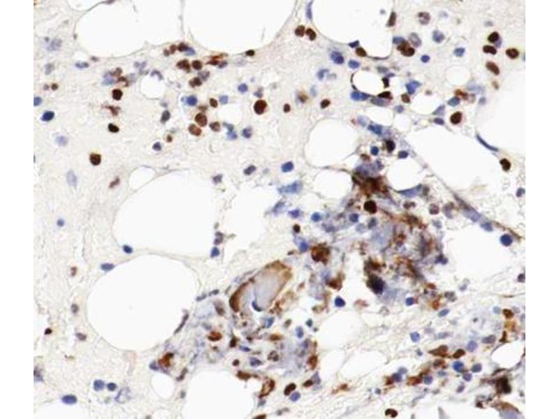
MCM5 Antikörper (N-Term)

Der Kaninchen Polyklonal anti-MCM5 Antikörper wird verwendet zum Nachweis von MCM5 in Proben von Human, Maus und Ratte. Er wurde validiert für WB, IHC, IF, ELISA und ICC.
Produktnummer ABIN6263163
525,71 €
Zzgl. Versandkosten 20,00 € und MwSt
Lieferung nach: Deutschland
Lieferung in 9 bis 11 Werktagen

Kurzübersicht für MCM5 Antikörper (N-Term) (ABIN6263163)

Target

Alle MCM5 Antikörper anzeigen
MCM5 (Minichromosome Maintenance Complex Component 5 (MCM5))

Reaktivität

  • 83
  • 47
  • 25
  • 5
  • 4
  • 3
  • 2
  • 2
  • 1
  • 1
Human, Maus, Ratte

Wirt

  • 76
  • 7
Kaninchen

Klonalität

  • 52
  • 31
Polyklonal

Konjugat

  • 45
  • 4
  • 3
  • 3
  • 3
  • 3
  • 3
  • 3
  • 1
  • 1
  • 1
  • 1
  • 1
  • 1
  • 1
  • 1
  • 1
  • 1
  • 1
  • 1
  • 1
  • 1
  • 1
  • 1
Dieser MCM5 Antikörper ist unkonjugiert

Applikation

  • 64
  • 37
  • 31
  • 19
  • 18
  • 17
  • 14
  • 13
  • 13
  • 12
  • 4
  • 1
  • 1
Western Blotting (WB), Immunohistochemistry (IHC), Immunofluorescence (IF), ELISA, Immunocytochemistry (ICC)
  • Bindungsspezifität

    • 15
    • 7
    • 4
    • 3
    • 3
    • 2
    • 2
    • 2
    • 2
    • 1
    • 1
    • 1
    N-Term

    Spezifität

    MCM5 Antibody detects endogenous levels of total MCM5.

    Homologie

    Pig,Zebrafish,Bovine,Horse,Sheep,Rabbit,Chicken,Xenopus

    Aufreinigung

    The antiserum was purified by peptide affinity chromatography using SulfoLinkTM Coupling Resin (Thermo Fisher Scientific).

    Immunogen

    A synthesized peptide derived from human MCM5, corresponding to a region within N-terminal amino acids.

    Isotyp

    IgG
  • Applikationshinweise

    WB: 1:500-1:3000, IHC: 1:50-1:200, IF/ICC: 1:100-1:500, ELISA(peptide) 1:20000-1:40000

    Beschränkungen

    Nur für Forschungszwecke einsetzbar
  • Format

    Liquid

    Konzentration

    1 mg/mL

    Buffer

    Rabbit IgG in phosphate buffered saline , pH 7.4, 150 mM NaCl,sodium azide and glycerol.

    Konservierungsmittel

    Sodium azide

    Vorsichtsmaßnahmen

    This product contains Sodium azide: a POISONOUS AND HAZARDOUS SUBSTANCE which should be handled by trained staff only.

    Lagerung

    -20 °C

    Informationen zur Lagerung

    Store at -20 °C. Stable for 12 months from date of receipt.

    Haltbarkeit

    12 months
  • Target

    MCM5 (Minichromosome Maintenance Complex Component 5 (MCM5))

    Andere Bezeichnung

    MCM5

    Hintergrund

    Description: Acts as component of the MCM2-7 complex (MCM complex) which is the putative replicative helicase essential for 'once per cell cycle' DNA replication initiation and elongation in eukaryotic cells. The active ATPase sites in the MCM2-7 ring are formed through the interaction surfaces of two neighboring subunits such that a critical structure of a conserved arginine finger motif is provided in trans relative to the ATP-binding site of the Walker A box of the adjacent subunit. The six ATPase active sites, however, are likely to contribute differentially to the complex helicase activity (By similarity). Interacts with MCMBP.

    Gene: MCM5

    Molekulargewicht

    90kDa

    Gen-ID

    4174

    UniProt

    P33992

    Pathways

    DNA Reparatur, Mitotic G1-G1/S Phases, DNA Replication, Chromatin Binding, Synthesis of DNA
Sie sind hier:
Chat with us!