SMURF1 Antikörper (AA 165-269)
Kurzübersicht für SMURF1 Antikörper (AA 165-269) (ABIN626112)
Target
Alle SMURF1 Antikörper anzeigenReaktivität
Wirt
Klonalität
Konjugat
Applikation
Klon
-
-
Bindungsspezifität
- AA 165-269
-
Spezifität
- Human SMURF1
-
Aufreinigung
- Purified from ascites by Protein A
-
Immunogen
-
SMURF1 (NP_065162, 165 a.a. ~ 269 a.a) partial recombinant protein with GST tag. MW of the GST tag alone is 26 KDa.
Type of Immunogen: Recombinant protein -
Isotyp
- IgG2a kappa
-
-
-
-
Applikationshinweise
-
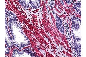
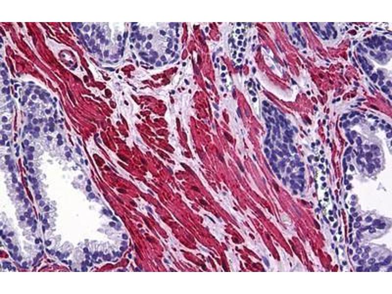
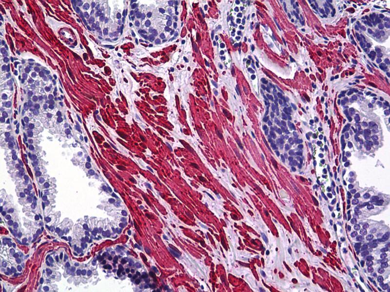
Approved: ELISA, IF (10 μg/mL), IHC, IHC-P (5 μg/mL), IP, WB
Usage: Immunohistochemistry: Formalin-fixed paraffin-embedded sections. Sandwich ELISA: Recombinant protein. Western Blot: Cell lysate, Cell lysate, Cell lysate, Transfected lysate, Recombinant protein. -
Kommentare
-
Target Species of Antibody: Human
-
Beschränkungen
- Nur für Forschungszwecke einsetzbar
-
-
-
Format
- Liquid
-
Konzentration
- Lot specific
-
Buffer
- PBS, pH 7.4.
-
Handhabung
- avoid freeze thaw cycles.
-
Lagerung
- -20 °C
-
Informationen zur Lagerung
- Store at -20°C. Avoid freeze-thaw cycles.
-
-
- SMURF1 (SMAD Specific E3 Ubiquitin Protein Ligase 1 (SMURF1))
-
Andere Bezeichnung
- SMURF1
-
Hintergrund
-
Name/Gene ID: SMURF1
Synonyms: SMURF1, E3 ubiquitin ligase SMURF1, KIAA1625, HSMURF1 -
Gen-ID
- 57154
-
NCBI Accession
- NP_065162
-
UniProt
- Q9HCE7
-
Pathways
- Regulation of Cell Size
Target
-