Telefon:
+49 (0)241 95 163 153
Fax:
+49 (0)241 95 163 155
E-Mail:
orders@antikoerper-online.de

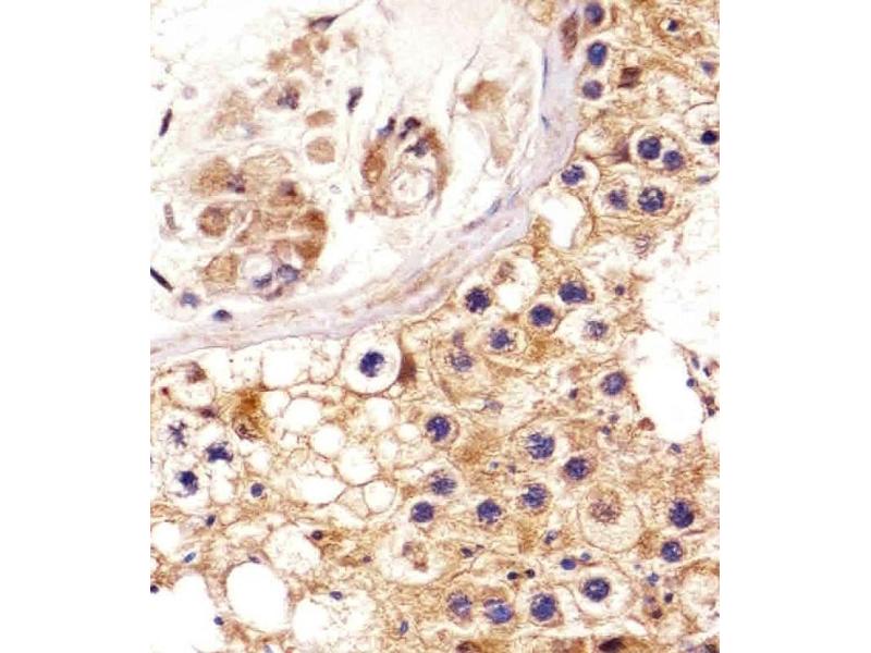
EPH Receptor A4 Antikörper (AA 383-417)

Dieser Kaninchen Polyklonal Antikörper detektiert spezifisch EPH Receptor A4 in WB und IHC (p). Es zeigt Reaktivität gegenüber Proben von Human und Maus.
Produktnummer ABIN6243785
434,77 €
Zzgl. Versandkosten 20,00 € und MwSt
Lieferung nach: Deutschland
Lieferung in 14 bis 17 Werktagen

Kurzübersicht für EPH Receptor A4 Antikörper (AA 383-417) (ABIN6243785)

Target

Alle EPH Receptor A4 (EPHA4) Antikörper anzeigen
EPH Receptor A4 (EPHA4)

Reaktivität

  • 78
  • 35
  • 22
  • 5
  • 5
  • 4
  • 3
  • 3
  • 3
  • 3
  • 2
  • 2
  • 2
  • 1
  • 1
  • 1
  • 1
Human, Maus

Wirt

  • 90
  • 8
  • 3
  • 1
Kaninchen

Klonalität

  • 87
  • 10
  • 2
Polyklonal

Konjugat

  • 49
  • 9
  • 8
  • 5
  • 3
  • 3
  • 2
  • 2
  • 2
  • 2
  • 2
  • 2
  • 1
  • 1
  • 1
  • 1
  • 1
  • 1
  • 1
  • 1
  • 1
  • 1
  • 1
Dieser EPH Receptor A4 Antikörper ist unkonjugiert

Applikation

  • 56
  • 47
  • 33
  • 14
  • 13
  • 13
  • 12
  • 11
  • 6
  • 4
  • 4
  • 2
  • 1
Western Blotting (WB), Immunohistochemistry (Paraffin-embedded Sections) (IHC (p))

Klon

RB50832
  • Bindungsspezifität

    • 15
    • 11
    • 10
    • 9
    • 8
    • 7
    • 5
    • 3
    • 3
    • 3
    • 3
    • 2
    • 2
    • 2
    • 1
    • 1
    • 1
    • 1
    • 1
    • 1
    • 1
    • 1
    • 1
    • 1
    AA 383-417

    Aufreinigung

    This antibody is purified through a protein A column, followed by peptide affinity purification.

    Immunogen

    This EPHA4 antibody is generated from a rabbit immunized with a KLH conjugated synthetic peptide between 383-417 amino acids from the Central region of human EPHA4.

    Isotyp

    Ig Fraction
  • Applikationshinweise

    WB: 1:1000. IHC-P: 1:25

    Beschränkungen

    Nur für Forschungszwecke einsetzbar
  • Format

    Liquid

    Buffer

    Purified polyclonal antibody supplied in PBS with 0.09 % (W/V) sodium azide.

    Konservierungsmittel

    Sodium azide

    Vorsichtsmaßnahmen

    This product contains Sodium azide: a POISONOUS AND HAZARDOUS SUBSTANCE which should be handled by trained staff only.

    Lagerung

    4 °C,-20 °C

    Haltbarkeit

    6 months
  • Target

    EPH Receptor A4 (EPHA4)

    Andere Bezeichnung

    EPHA4

    Hintergrund

    Receptor tyrosine kinase which binds membrane-bound ephrin family ligands residing on adjacent cells, leading to contact-dependent bidirectional signaling into neighboring cells. The signaling pathway downstream of the receptor is referred to as forward signaling while the signaling pathway downstream of the ephrin ligand is referred to as reverse signaling. Highly promiscuous, it has the unique property among Eph receptors to bind and to be physiologically activated by both GPI-anchored ephrin-A and transmembrane ephrin-B ligands including EFNA1 and EFNB3. Upon activation by ephrin ligands, modulates cell morphology and integrin-dependent cell adhesion through regulation of the Rac, Rap and Rho GTPases activity. Plays an important role in the development of the nervous system controlling different steps of axonal guidance including the establishment of the corticospinal projections. May also control the segregation of motor and sensory axons during neuromuscular circuit development. Beside its role in axonal guidance plays a role in synaptic plasticity. Activated by EFNA1 phosphorylates CDK5 at 'Tyr-15' which in turn phosphorylates NGEF regulating RHOA and dendritic spine morphogenesis. In the nervous system, plays also a role in repair after injury preventing axonal regeneration and in angiogenesis playing a role in central nervous system vascular formation. Additionally, its promiscuity makes it available to participate in a variety of cell-cell signaling regulating for instance the development of the thymic epithelium.

    Molekulargewicht

    109860

    UniProt

    P54764

    Pathways

    RTK Signalweg
Sie sind hier:
Chat with us!