HSPD1 Antikörper (AA 340-374)
Kurzübersicht für HSPD1 Antikörper (AA 340-374) (ABIN6242389)
Target
Alle HSPD1 Antikörper anzeigenReaktivität
Wirt
Klonalität
Konjugat
Applikation
Klon
-
-
Bindungsspezifität
- AA 340-374
-
Homologie
- B
-
Aufreinigung
- This antibody is purified through a protein A column, followed by peptide affinity purification.
-
Immunogen
- This Hsp60 antibody is generated from a rabbit immunized with a KLH conjugated synthetic peptide between 340-374 amino acids from the human region of human Hsp60.
-
Isotyp
- Ig Fraction
-
-
-
-
Applikationshinweise
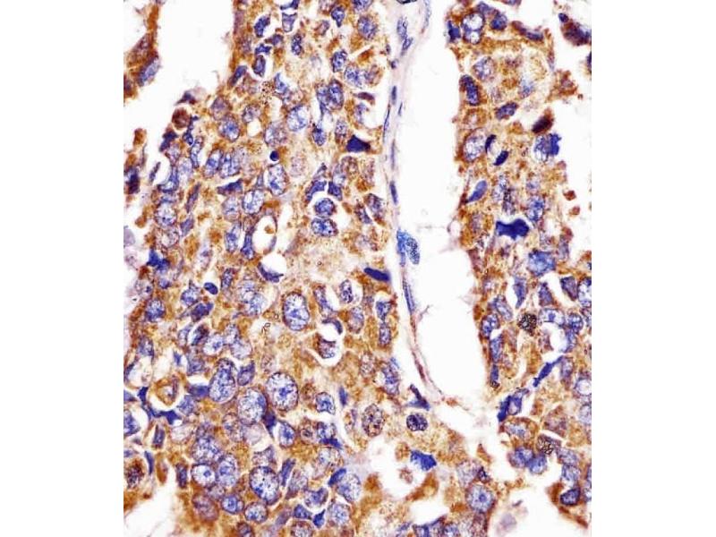
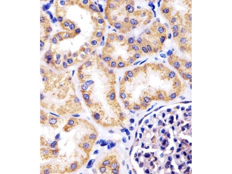
- IF: 1:25. WB: 1:2000. WB: 1:2000. IHC-P: 1:25. IHC-P: 1:25
-
Beschränkungen
- Nur für Forschungszwecke einsetzbar
-
-
-
Format
- Liquid
-
Buffer
- Purified polyclonal antibody supplied in PBS with 0.09 % (W/V) sodium azide.
-
Konservierungsmittel
- Sodium azide
-
Vorsichtsmaßnahmen
- This product contains Sodium azide: a POISONOUS AND HAZARDOUS SUBSTANCE which should be handled by trained staff only.
-
Lagerung
- 4 °C,-20 °C
-
Haltbarkeit
- 6 months
-
-
- HSPD1 (Heat Shock 60kDa Protein 1 (Chaperonin) (HSPD1))
-
Andere Bezeichnung
- Hsp60
-
Hintergrund
- Implicated in mitochondrial protein import and macromolecular assembly. May facilitate the correct folding of imported proteins. May also prevent misfolding and promote the refolding and proper assembly of unfolded polypeptides generated under stress conditions in the mitochondrial matrix.
-
Molekulargewicht
- 61055
-
UniProt
- P10809
-
Pathways
- Activation of Innate immune Response, Regulation of Leukocyte Mediated Immunity, Positive Regulation of Immune Effector Process, Production of Molecular Mediator of Immune Response, Positive Regulation of Endopeptidase Activity
Target
-