HSPD1 Antikörper
Kurzübersicht für HSPD1 Antikörper (ABIN7074167)
Target
Alle HSPD1 Antikörper anzeigenReaktivität
Wirt
Klonalität
Konjugat
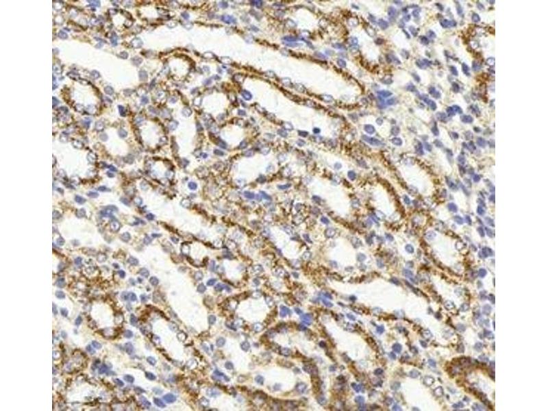
Applikation
-
-
Kreuzreaktivität
- Human, Ratte
-
Aufreinigung
- Affinity purification
-
Immunogen
- KLH conjugated Synthetic peptide corresponding to Mouse HSP60
-
-
-
-
Applikationshinweise
- WB (H,M,R) 1:3000-1:10000, IHC/IF ,IEM (H,M,R) 1:500-1:1000/1:500-1:1000/1:50
-
Beschränkungen
- Nur für Forschungszwecke einsetzbar
-
-
-
Format
- Liquid
-
Buffer
- PBS, pH 7.4, 0.02 % sodium azide
-
Konservierungsmittel
- Sodium azide
-
Vorsichtsmaßnahmen
- This product contains Sodium azide: a POISONOUS AND HAZARDOUS SUBSTANCE which should be handled by trained staff only.
-
Lagerung
- -20 °C
-
-
- HSPD1 (Heat Shock 60kDa Protein 1 (Chaperonin) (HSPD1))
-
Andere Bezeichnung
- Hsp60
-
Hintergrund
- Heat shock protein 60 (HSP60) is a mitochondrial chaperonin that is typically held responsible for the transportation and refolding of proteins from the cytoplasm into the mitochondrial matrix. In addition to its role as a heat shock protein, HSP60 functions as a chaperonin to assist in folding linear amino acid chains into their respective three-dimensional structure. Through the extensive study of groEL, HSP60's bacterial homolog, HSP60 has been deemed essential in the synthesis and transportation of essential mitochondrial proteins from the cell's cytoplasm into the mitochondrial matrix. Further studies have linked HSP60 to diabetes, stress response, cancer and certain types of immunological disorders.
-
Molekulargewicht
- 60 kDa
-
Gen-ID
- 15510
-
NCBI Accession
- NP_034607
-
UniProt
- P63038
-
Pathways
- Activation of Innate immune Response, Regulation of Leukocyte Mediated Immunity, Positive Regulation of Immune Effector Process, Production of Molecular Mediator of Immune Response, Positive Regulation of Endopeptidase Activity
Target
-