Telefon:
+49 (0)241 95 163 153
Fax:
+49 (0)241 95 163 155
E-Mail:
orders@antikoerper-online.de

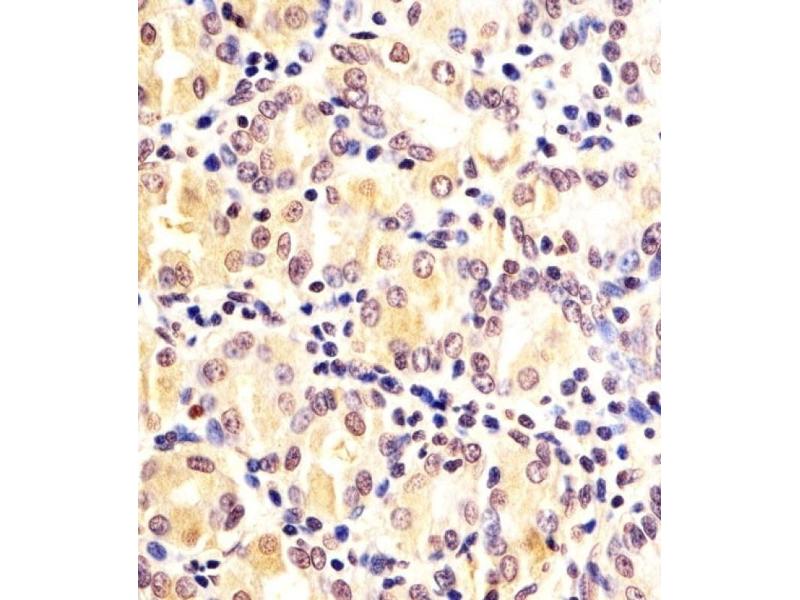
FN3KRP Antikörper (AA 24-58)

Der Kaninchen Polyklonal anti-FN3KRP Antikörper wird verwendet zum Nachweis von FN3KRP in Proben von Human und Maus. Er wurde validiert für WB und IHC (p).
Produktnummer ABIN6242334
434,77 €
Zzgl. Versandkosten 20,00 € und MwSt
Lieferung nach: Deutschland
Lieferung in 18 bis 21 Werktagen

Kurzübersicht für FN3KRP Antikörper (AA 24-58) (ABIN6242334)

Target

Alle FN3KRP Antikörper anzeigen
FN3KRP (Fructosamine 3 Kinase Related Protein (FN3KRP))

Reaktivität

  • 17
  • 5
  • 4
  • 2
  • 2
  • 2
  • 1
  • 1
  • 1
Human, Maus

Wirt

  • 16
  • 1
Kaninchen

Klonalität

  • 17
Polyklonal

Konjugat

  • 10
  • 1
  • 1
  • 1
  • 1
  • 1
  • 1
  • 1
Dieser FN3KRP Antikörper ist unkonjugiert

Applikation

  • 9
  • 3
  • 2
  • 1
Western Blotting (WB), Immunohistochemistry (Paraffin-embedded Sections) (IHC (p))

Klon

RB53014
  • Bindungsspezifität

    • 3
    • 1
    • 1
    AA 24-58

    Aufreinigung

    This antibody is purified through a protein A column, followed by peptide affinity purification.

    Immunogen

    This FN3KRP antibody is generated from a rabbit immunized with a KLH conjugated synthetic peptide between 24-58 amino acids from human FN3KRP.

    Isotyp

    Ig Fraction
  • Applikationshinweise

    WB: 1:1000-1:2000. IHC-P: 1:25

    Beschränkungen

    Nur für Forschungszwecke einsetzbar
  • Format

    Liquid

    Buffer

    Purified polyclonal antibody supplied in PBS with 0.09 % (W/V) sodium azide.

    Konservierungsmittel

    Sodium azide

    Vorsichtsmaßnahmen

    This product contains Sodium azide: a POISONOUS AND HAZARDOUS SUBSTANCE which should be handled by trained staff only.

    Lagerung

    4 °C,-20 °C

    Haltbarkeit

    6 months
  • Target

    FN3KRP (Fructosamine 3 Kinase Related Protein (FN3KRP))

    Andere Bezeichnung

    FN3KRP

    Hintergrund

    Phosphorylates psicosamines and ribulosamines, but not fructosamines, on the third carbon of the sugar moiety. Protein- bound psicosamine 3-phosphates and ribulosamine 3-phosphates are unstable and decompose under physiological conditions. Thus phosphorylation leads to deglycation.

    Molekulargewicht

    34412

    UniProt

    Q9HA64
Sie sind hier:
Chat with us!