Telefon:
+49 (0)241 95 163 153
Fax:
+49 (0)241 95 163 155
E-Mail:
orders@antikoerper-online.de

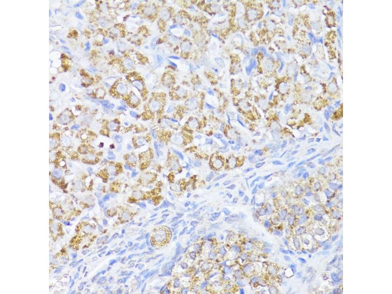
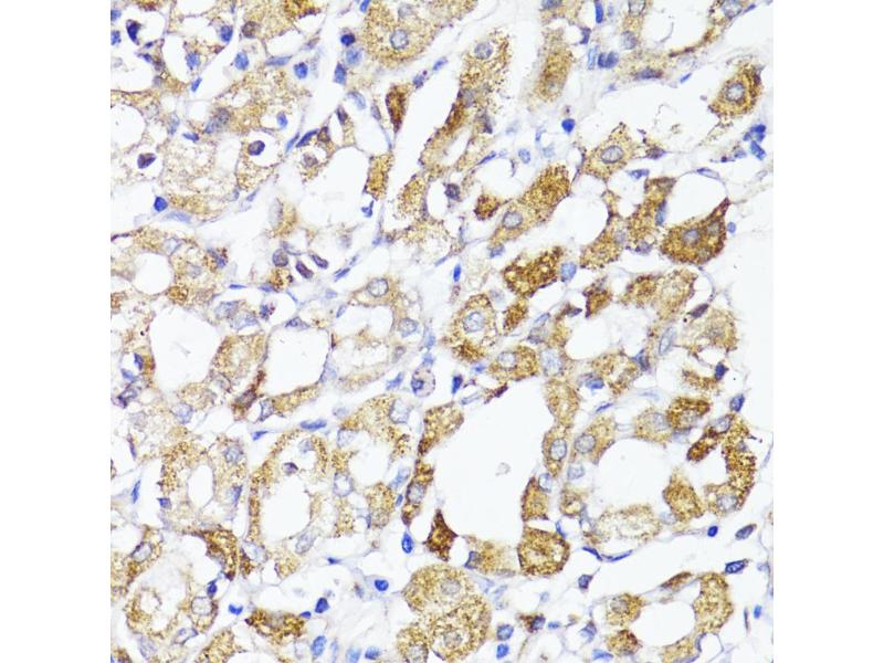
MAVS Antikörper (AA 1-65)

Zitiert in 1 Publikation. Der Kaninchen Polyklonal anti-MAVS Antikörper (ABIN6143583) detektiert spezifisch MAVS in WB, IHC und IF. Dieser Antikörper reagiert spezifisch mit Proben aus Human.
Produktnummer ABIN6143583
320,00 €
Zzgl. Versandkosten 20,00 € und MwSt
Lieferung nach: Deutschland
Lieferung in 7 bis 9 Werktagen

Kurzübersicht für MAVS Antikörper (AA 1-65) (ABIN6143583)

Target

Alle MAVS Antikörper anzeigen
MAVS (Mitochondrial Antiviral Signaling Protein (MAVS))

Reaktivität

  • 43
  • 34
  • 6
  • 2
  • 1
Human

Wirt

  • 64
  • 7
Kaninchen

Klonalität

  • 66
  • 5
Polyklonal

Konjugat

  • 38
  • 5
  • 4
  • 3
  • 2
  • 2
  • 1
  • 1
  • 1
  • 1
  • 1
  • 1
  • 1
  • 1
  • 1
  • 1
  • 1
  • 1
  • 1
  • 1
  • 1
  • 1
  • 1
Dieser MAVS Antikörper ist unkonjugiert

Applikation

  • 63
  • 29
  • 13
  • 13
  • 12
  • 11
  • 11
  • 7
  • 7
  • 4
  • 2
  • 2
  • 1
  • 1
Western Blotting (WB), Immunohistochemistry (IHC), Immunofluorescence (IF)
  • Bindungsspezifität

    • 15
    • 8
    • 8
    • 5
    • 4
    • 2
    • 2
    • 2
    • 2
    • 2
    • 2
    • 2
    • 2
    • 1
    • 1
    • 1
    • 1
    • 1
    • 1
    • 1
    AA 1-65

    Sequenz

    MPFAEDKTYK YICRNFSNFC NVDVVEILPY LPCLTARDQD RLRATCTLSG NRDTLWHLFN TLQRR

    Kreuzreaktivität

    Human, Maus, Ratte

    Produktmerkmale

    Polyclonal Antibodies

    Immunogen

    Recombinant fusion protein containing a sequence corresponding to amino acids 1-65 of human MAVS (NP_065797.2).

    Isotyp

    IgG
  • Applikationshinweise

    WB,1:500 - 1:2000,IHC,1:50 - 1:200,IF,1:50 - 1:200

    Beschränkungen

    Nur für Forschungszwecke einsetzbar
  • Format

    Liquid

    Buffer

    PBS with 0.02 % sodium azide,50 % glycerol, pH 7.3.

    Konservierungsmittel

    Sodium azide

    Vorsichtsmaßnahmen

    This product contains Sodium azide: a POISONOUS AND HAZARDOUS SUBSTANCE which should be handled by trained staff only.

    Lagerung

    -20 °C

    Informationen zur Lagerung

    Store at -20°C. Avoid freeze / thaw cycles.
  • Qian, Fan, Liu, Wu, Zhang, Cui, Zhou, Hu, Wei, Chen, Li, Qian: "Seneca Valley Virus Suppresses Host Type I Interferon Production by Targeting Adaptor Proteins MAVS, TRIF, and TANK for Cleavage." in: Journal of virology, Vol. 91, Issue 16, (2017) (PubMed).

  • Target

    MAVS (Mitochondrial Antiviral Signaling Protein (MAVS))

    Andere Bezeichnung

    MAVS

    Hintergrund

    This gene encodes an intermediary protein necessary in the virus-triggered beta interferon signaling pathways. It is required for activation of transcription factors which regulate expression of beta interferon and contributes to antiviral immunity. Multiple transcript variants encoding different isoforms have been found for this gene.,CARDIF,IPS-1,IPS1,VISA,MAVS,Epigenetics & Nuclear Signaling,Signal Transduction,Immunology & Inflammation,Toll-like Receptor Signaling Pathway,MAVS

    Molekulargewicht

    14 kDa/15 kDa/17 kDa/40 kDa/56 kDa

    Gen-ID

    57506

    UniProt

    Q7Z434

    Pathways

    Activation of Innate immune Response, Inositol Metabolic Process, Hepatitis C
Sie sind hier:
Chat with us!