Telefon:
+49 (0)241 95 163 153
Fax:
+49 (0)241 95 163 155
E-Mail:
orders@antikoerper-online.de

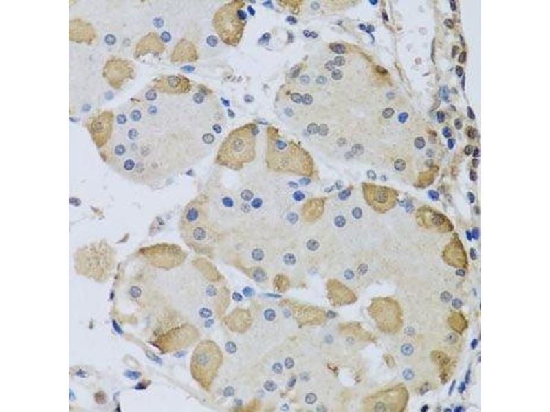
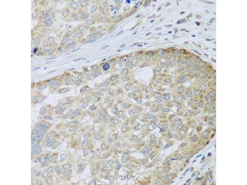
ANAPC10 Antikörper (AA 1-185)

Der Kaninchen Polyklonal anti-ANAPC10 Antikörper (ABIN6136862) detektiert spezifisch ANAPC10 in WB. Dieser Antikörper reagiert spezifisch mit Proben aus Human.
Produktnummer ABIN6136862
320,00 €
Zzgl. Versandkosten 20,00 € und MwSt
Lieferung nach: Deutschland
Lieferung in 7 bis 9 Werktagen

Kurzübersicht für ANAPC10 Antikörper (AA 1-185) (ABIN6136862)

Target

Alle ANAPC10 Antikörper anzeigen
ANAPC10 (Anaphase Promoting Complex Subunit 10 (ANAPC10))

Reaktivität

  • 25
  • 20
  • 6
  • 2
  • 2
  • 2
  • 2
  • 2
  • 1
  • 1
  • 1
  • 1
  • 1
  • 1
Human

Wirt

  • 35
  • 5
Kaninchen

Klonalität

  • 36
  • 3
Polyklonal

Konjugat

  • 19
  • 2
  • 1
  • 1
  • 1
  • 1
  • 1
  • 1
  • 1
  • 1
  • 1
  • 1
  • 1
  • 1
  • 1
  • 1
  • 1
  • 1
  • 1
  • 1
  • 1
Dieser ANAPC10 Antikörper ist unkonjugiert

Applikation

  • 30
  • 13
  • 13
  • 10
  • 6
  • 5
  • 4
  • 4
  • 3
  • 3
  • 2
  • 1
  • 1
Western Blotting (WB)
  • Bindungsspezifität

    • 15
    • 7
    • 4
    • 1
    • 1
    • 1
    • 1
    AA 1-185

    Sequenz

    MTTPNKTPPG ADPKQLERTG TVREIGSQAV WSLSSCKPGF GVDQLRDDNL ETYWQSDGSQ PHLVNIQFRR KTTVKTLCIY ADYKSDESYT PSKISVRVGN NFHNLQEIRQ LELVEPSGWI HVPLTDNHKK PTRTFMIQIA VLANHQNGRD THMRQIKIYT PVEESSIGKF PRCTTIDFMM YRSIR

    Kreuzreaktivität

    Human, Maus, Ratte

    Produktmerkmale

    Polyclonal Antibodies

    Aufreinigung

    Affinity purification

    Immunogen

    Recombinant fusion protein containing a sequence corresponding to amino acids 1-185 of human ANAPC10 (NP_055700.2).

    Isotyp

    IgG
  • Applikationshinweise

    WB,1:500 - 1:2000

    Kommentare

    HIGH QUALITY

    Beschränkungen

    Nur für Forschungszwecke einsetzbar
  • Format

    Liquid

    Buffer

    PBS with 0.02 % sodium azide,50 % glycerol, pH 7.3.

    Konservierungsmittel

    Sodium azide

    Vorsichtsmaßnahmen

    This product contains Sodium azide: a POISONOUS AND HAZARDOUS SUBSTANCE which should be handled by trained staff only.

    Lagerung

    -20 °C

    Informationen zur Lagerung

    Store at -20°C. Avoid freeze / thaw cycles.
  • Target

    ANAPC10 (Anaphase Promoting Complex Subunit 10 (ANAPC10))

    Andere Bezeichnung

    ANAPC10

    Hintergrund

    ANAPC10 is a core subunit of the anaphase-promoting complex (APC), or cyclosome, a ubiquitin protein ligase that is essential for progression through the cell cycle. APC initiates sister chromatid separation by ubiquitinating the anaphase inhibitor securin (PTTG1, MIM 604147) and triggers exit from mitosis by ubiquitinating cyclin B (CCNB1, MIM 123836), the activating subunit of cyclin-dependent kinase-1 (CDK1, MIM 116940) (summary by Wendt et al., 2001 [PubMed 11524682]).[supplied by OMIM, Feb 2011],ANAPC10,APC10,DOC1,Cell Biology & Developmental Biology,Ubiquitin,Ubiquitin-Proteasome Signaling Pathway,ANAPC10

    Molekulargewicht

    21 kDa

    Gen-ID

    10393

    UniProt

    Q9UM13

    Pathways

    M Phase
Sie sind hier:
Chat with us!