Telefon:
+49 (0)241 95 163 153
Fax:
+49 (0)241 95 163 155
E-Mail:
orders@antikoerper-online.de

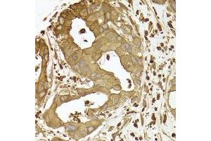
ACTR2 Antikörper (AA 1-160)

Der Kaninchen Polyklonal anti-ACTR2 Antikörper wird verwendet zum Nachweis von ACTR2 in Proben von Human. Er wurde validiert für WB, IHC und IF.
Produktnummer ABIN6136493
320,00 €
Zzgl. Versandkosten 20,00 € und MwSt
Lieferung nach: Deutschland
Lieferung in 7 bis 9 Werktagen

Kurzübersicht für ACTR2 Antikörper (AA 1-160) (ABIN6136493)

Target

Alle ACTR2 Antikörper anzeigen
ACTR2 (Actin-Related Protein 2 (ACTR2))

Reaktivität

  • 45
  • 30
  • 28
  • 6
  • 4
  • 4
  • 4
  • 4
  • 4
  • 3
  • 2
  • 2
  • 2
  • 2
  • 1
Human

Wirt

  • 44
  • 2
Kaninchen

Klonalität

  • 32
  • 14
Polyklonal

Konjugat

  • 30
  • 2
  • 2
  • 2
  • 2
  • 2
  • 2
  • 2
  • 1
  • 1
Dieser ACTR2 Antikörper ist unkonjugiert

Applikation

  • 36
  • 14
  • 14
  • 8
  • 6
  • 6
  • 3
  • 3
  • 2
Western Blotting (WB), Immunohistochemistry (IHC), Immunofluorescence (IF)
  • Bindungsspezifität

    • 4
    • 3
    • 3
    • 2
    • 1
    • 1
    • 1
    • 1
    • 1
    • 1
    • 1
    • 1
    • 1
    AA 1-160

    Sequenz

    MDSQGRKVVV CDNGTGFVKC GYAGSNFPEH IFPALVGRPI IRSTTKVGNI EIKDLMVGDE ASELRSMLEV NYPMENGIVR NWDDMKHLWD YTFGPEKLNI DTRNCKILLT EPPMNPTKNR EKIVEVMFET YQFSGVYVAI QAVLTLYAQG LLTGVVVDSG

    Kreuzreaktivität

    Human, Maus, Ratte

    Produktmerkmale

    Polyclonal Antibodies

    Aufreinigung

    Affinity purification

    Immunogen

    Recombinant fusion protein containing a sequence corresponding to amino acids 1-160 of human Arp2 (NP_005713.1).

    Isotyp

    IgG
  • Applikationshinweise

    WB,1:500 - 1:2000,IHC,1:50 - 1:200,IF,1:50 - 1:200

    Kommentare

    HIGH QUALITY

    Beschränkungen

    Nur für Forschungszwecke einsetzbar
  • Format

    Liquid

    Buffer

    PBS with 0.02 % sodium azide,50 % glycerol, pH 7.3.

    Konservierungsmittel

    Sodium azide

    Vorsichtsmaßnahmen

    This product contains Sodium azide: a POISONOUS AND HAZARDOUS SUBSTANCE which should be handled by trained staff only.

    Lagerung

    -20 °C

    Informationen zur Lagerung

    Store at -20°C. Avoid freeze / thaw cycles.
  • Target

    ACTR2 (Actin-Related Protein 2 (ACTR2))

    Andere Bezeichnung

    ACTR2

    Hintergrund

    The specific function of this gene has not yet been determined, however, the protein it encodes is known to be a major constituent of the ARP2/3 complex. This complex is located at the cell surface and is essential to cell shape and motility through lamellipodial actin assembly and protrusion. Two transcript variants encoding different isoforms have been found for this gene.,ACTR2,ARP2,Cancer,Invasion and Metastasis,Signal Transduction,Cell Biology & Developmental Biology,Cell Adhesion,Cytoskeleton,Microfilaments,Actins,Immunology & Inflammation,ACTR2

    Molekulargewicht

    44 kDa/45 kDa

    Gen-ID

    10097

    UniProt

    P61160

    Pathways

    RTK Signalweg, Regulation of Actin Filament Polymerization
Sie sind hier:
Chat with us!