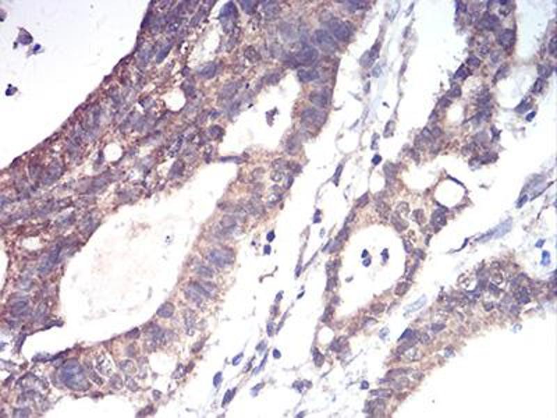
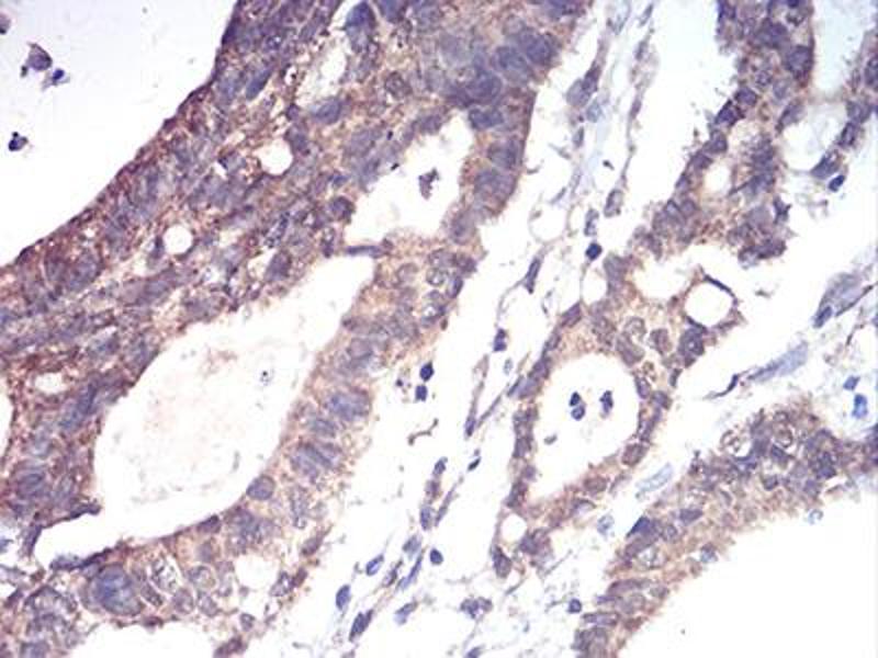
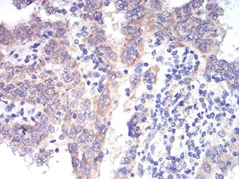
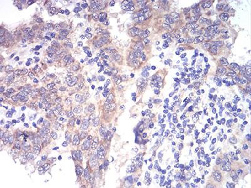
ALDH6A1 Antikörper (AA 1-195)
Der Maus Monoklonal anti-ALDH6A1 Antikörper wird verwendet zum Nachweis von ALDH6A1 in Proben von Human.
Produktnummer ABIN5856297
620,49 €
Zzgl. Versandkosten 20,00 € und MwSt
Lieferung in 7 bis 13 Werktagen
Kurzübersicht für ALDH6A1 Antikörper (AA 1-195) (ABIN5856297)
Target
Alle ALDH6A1 Antikörper anzeigen
ALDH6A1
(Aldehyde Dehydrogenase 6 Family, Member A1 (ALDH6A1))
Reaktivität
Human
Wirt
Maus
Klonalität
Monoklonal
Konjugat
Dieser ALDH6A1 Antikörper ist unkonjugiert
Applikation
Bitte anfragen
-
-
Bindungsspezifität
-
AA 1-195
-
Produktmerkmale
-
Isotype: Mouse IgG1
-
Immunogen
-
Purified recombinant fragment of human ALDH6A1 (AA: 1-195) expressed in E. Coli.
-
Isotyp
-
IgG1
-
-
-
Beschränkungen
-
Nur für Forschungszwecke einsetzbar
-
-
Format
-
Liquid
-
Buffer
-
Purified antibody in PBS with 0.05 % sodium azide.
-
Konservierungsmittel
-
Sodium azide
-
Vorsichtsmaßnahmen
-
This product contains Sodium azide: a POISONOUS AND HAZARDOUS SUBSTANCE which should be handled by trained staff only.
-
Lagerung
-
-20 °C
-
Informationen zur Lagerung
-
Aliquot and store at -20 °C. Avoid repeated freeze/thaw cycles.
-
Target
-
ALDH6A1
(Aldehyde Dehydrogenase 6 Family, Member A1 (ALDH6A1))
-
Andere Bezeichnung
-
ALDH6A1
-
Molekulargewicht
-
57.8 kDa
-
Gen-ID
-
4329
-
UniProt
-
Q02252
-
Pathways
-
Brown Fat Cell Differentiation
-
Sie sind hier:
-
Startseite
-
anti-ALDH6A1 Antikörper (AA 1-195) (ABIN5856297)