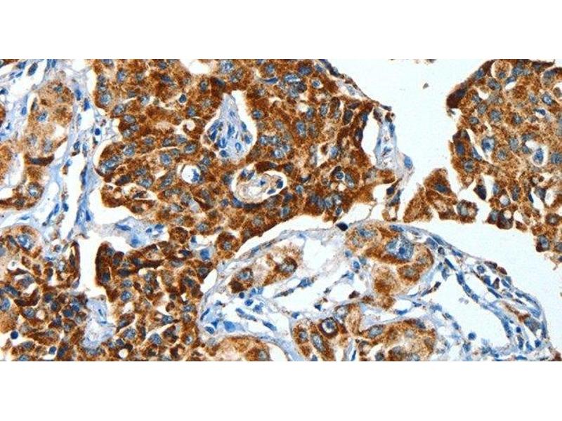
Dieser Kaninchen Polyklonal Antikörper detektiert spezifisch ALDH6A1 in WB, ELISA und IHC. Es zeigt Reaktivität gegenüber Proben von Human, Maus und Ratte.
PBS with 0.05 % sodium azide and 50 % glycerol, PH7.4
Konservierungsmittel
Sodium azide
Vorsichtsmaßnahmen
This product contains Sodium azide: a POISONOUS AND HAZARDOUS SUBSTANCE which should be handled by trained staff only.
Lagerung
-20 °C
Informationen zur Lagerung
Store at -20°C. Avoid freeze / thaw cycles.
Target
ALDH6A1
(Aldehyde Dehydrogenase 6 Family, Member A1 (ALDH6A1))
Andere Bezeichnung
ALDH6A1
Hintergrund
This protein belongs to the aldehyde dehydrogenases family of proteins. This enzyme plays a role in the valine and pyrimidine catabolic pathways. The product of this gene, a mitochondrial methylmalonate semialdehyde dehydrogenase, catalyzes the irreversible oxidative decarboxylation of malonate and methylmalonate semialdehydes to acetyl- and propionyl-CoA. Methylmalonate semialdehyde dehydrogenase deficiency is characterized by elevated beta-alanine, 3-hydroxypropionic acid, and both isomers of 3-amino and 3-hydroxyisobutyric acids in urine organic acids.