Telefon:
+49 (0)241 95 163 153
Fax:
+49 (0)241 95 163 155
E-Mail:
orders@antikoerper-online.de

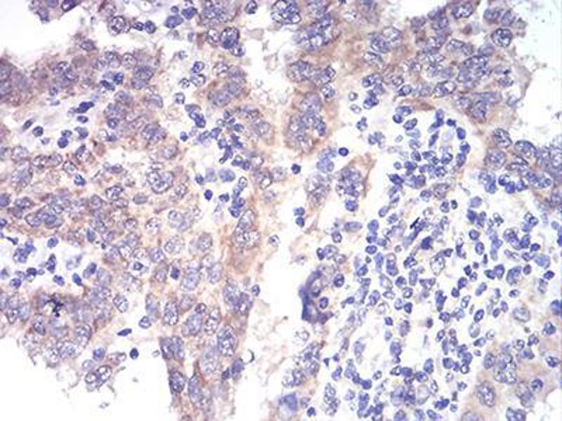
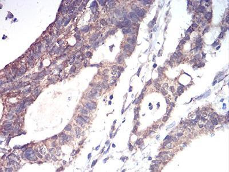
ALDH6A1 Antikörper (AA 1-195)

Dieser Maus Monoklonal Antikörper detektiert spezifisch ALDH6A1 in WB, ELISA, IHC, FACS und ICC. Es zeigt Reaktivität gegenüber Proben von Human.
Produktnummer ABIN5542265
498,33 €
Zzgl. Versandkosten 20,00 € und MwSt
100 μL
Lieferung nach: Deutschland
Lieferung in 7 bis 10 Werktagen

Kurzübersicht für ALDH6A1 Antikörper (AA 1-195) (ABIN5542265)

Target

Alle ALDH6A1 Antikörper anzeigen
ALDH6A1 (Aldehyde Dehydrogenase 6 Family, Member A1 (ALDH6A1))

Reaktivität

  • 59
  • 10
  • 8
  • 3
  • 3
  • 3
  • 3
  • 2
  • 2
  • 2
  • 2
  • 2
  • 1
  • 1
Human

Wirt

  • 44
  • 12
  • 3
Maus

Klonalität

  • 49
  • 10
Monoklonal

Konjugat

  • 33
  • 5
  • 5
  • 4
  • 3
  • 3
  • 1
  • 1
  • 1
  • 1
  • 1
  • 1
Dieser ALDH6A1 Antikörper ist unkonjugiert

Applikation

  • 48
  • 35
  • 29
  • 12
  • 9
  • 6
  • 5
  • 2
  • 1
Western Blotting (WB), ELISA, Immunohistochemistry (IHC), Flow Cytometry (FACS), Immunocytochemistry (ICC)

Klon

6H9B8
  • Bindungsspezifität

    • 9
    • 8
    • 6
    • 6
    • 4
    • 4
    • 2
    • 1
    • 1
    • 1
    • 1
    • 1
    • 1
    • 1
    • 1
    AA 1-195

    Verwendungszweck

    ALDH6A1 Antibody

    Aufreinigung

    Purified antibody

    Immunogen

    Purified recombinant fragment of human ALDH6A1 (AA: 1-195) expressed in E. Coli.

    Isotyp

    IgG1
  • Applikationshinweise

    ELISA: 1/10000

    FCM: 1/200 - 1/400

    ICC: 1/200 - 1/1000

    Beschränkungen

    Nur für Forschungszwecke einsetzbar
  • Format

    Liquid

    Buffer

    Purified antibody in PBS with 0.05 % sodium azide.

    Konservierungsmittel

    Sodium azide

    Vorsichtsmaßnahmen

    This product contains Sodium azide: a POISONOUS AND HAZARDOUS SUBSTANCE which should be handled by trained staff only.

    Lagerung

    4 °C,-20 °C

    Informationen zur Lagerung

    Store at 4°C short term. Aliquot and store at -20°C long term. Avoid freeze/thaw cycles.
  • Target

    ALDH6A1 (Aldehyde Dehydrogenase 6 Family, Member A1 (ALDH6A1))

    Andere Bezeichnung

    ALDH6A1

    Hintergrund

    This gene encodes a member of the aldehyde dehydrogenase protein family. The encoded protein is a mitochondrial methylmalonate semialdehyde dehydrogenase that plays a role in the valine and pyrimidine catabolic pathways. This protein catalyzes the irreversible oxidative decarboxylation of malonate and methylmalonate semialdehydes to acetyl- and propionyl-CoA. Methylmalonate semialdehyde dehydrogenase deficiency is characterized by elevated beta-alanine, 3-hydroxypropionic acid, and both isomers of 3-amino and 3-hydroxyisobutyric acids in urine organic acids. Alternate splicing results in multiple transcript variants.

    Molekulargewicht

    57.8 kDa

    Gen-ID

    4329

    UniProt

    Q02252

    Pathways

    Brown Fat Cell Differentiation
Sie sind hier:
Chat with us!