ROCK2 Antikörper (AA 1279-1389)
Kurzübersicht für ROCK2 Antikörper (AA 1279-1389) (ABIN574411)
Target
Alle ROCK2 Antikörper anzeigenReaktivität
Wirt
Klonalität
Konjugat
Applikation
Klon
-
-
Bindungsspezifität
- AA 1279-1389
-
Aufreinigung
- Purified from ascites by Protein A
-
Immunogen
-
ROCK2 (NP_004841, 1279 a.a. ~ 1389 a.a) partial recombinant protein with GST tag. MW of the GST tag alone is 26 KDa.
Type of Immunogen: Recombinant protein -
Isotyp
- IgG1 kappa
-
-
-
-
Applikationshinweise
-
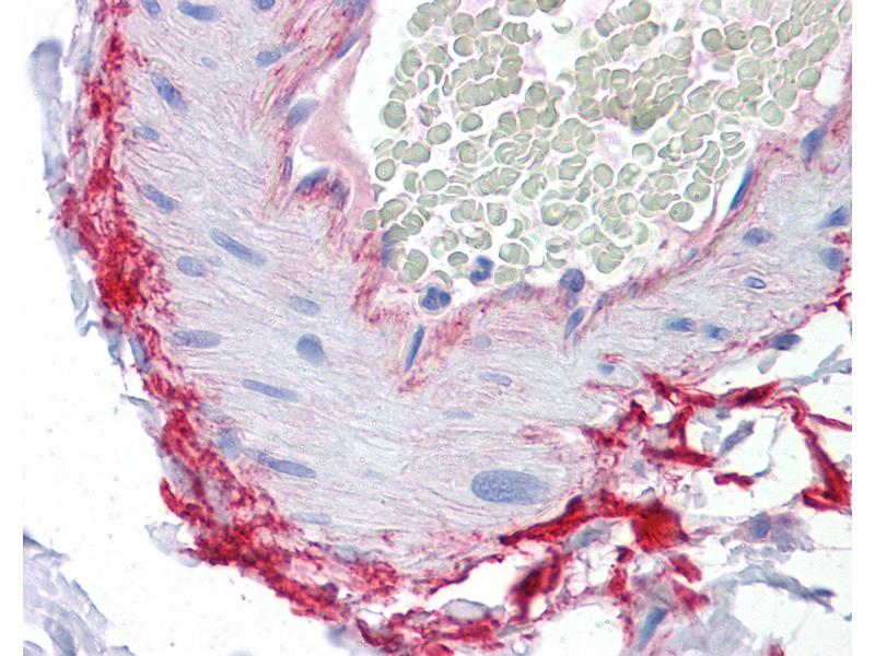
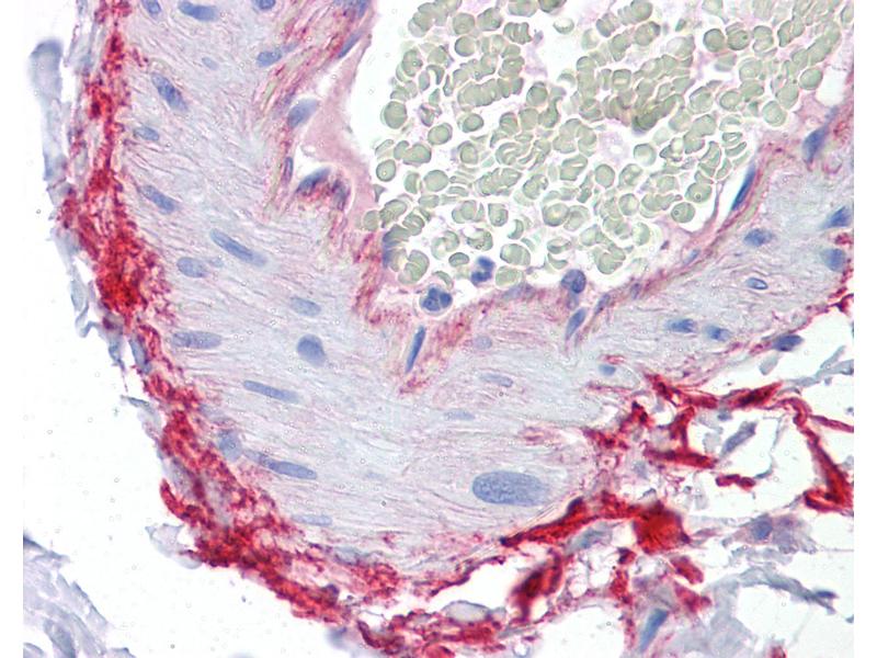
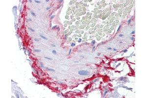
Approved: ELISA, IF (30 μg/mL), IHC, IHC-P (5 μg/mL), WB
Usage: Western Blot (Cell lysate) - positive control Hela NE. Immunofluorescence (30 μg/mL) - positive control HeLa cells. -
Kommentare
-
Target Species of Antibody: Human
-
Beschränkungen
- Nur für Forschungszwecke einsetzbar
-
-
-
Format
- Liquid
-
Konzentration
- Lot specific
-
Buffer
- PBS, pH 7.4.
-
Handhabung
- Aliquot to Avoid freeze/thaw cycles.
-
Lagerung
- -20 °C
-
Informationen zur Lagerung
- Store at -20°C. Aliquot to avoid freeze/thaw cycles.
-
-
- ROCK2 (rho-Associated, Coiled-Coil Containing Protein Kinase 2 (ROCK2))
-
Andere Bezeichnung
- ROCK2
-
Hintergrund
-
Name/Gene ID: ROCK2
Subfamily: ROCK
Family: Protein Kinase
Synonyms: ROCK2, KIAA0619, p164 ROCK-2, Rho kinase 2, RhoA-associated kinase-2, ROCK-II, Rho kinase II, Rok beta, Rok2, RockII -
Gen-ID
- 9475
-
NCBI Accession
- NP_004841
-
UniProt
- O75116
-
Pathways
- Microtubule Dynamics, WNT Signalweg, Tube Formation
Target
-