Telefon:
+49 (0)241 95 163 153
Fax:
+49 (0)241 95 163 155
E-Mail:
orders@antikoerper-online.de

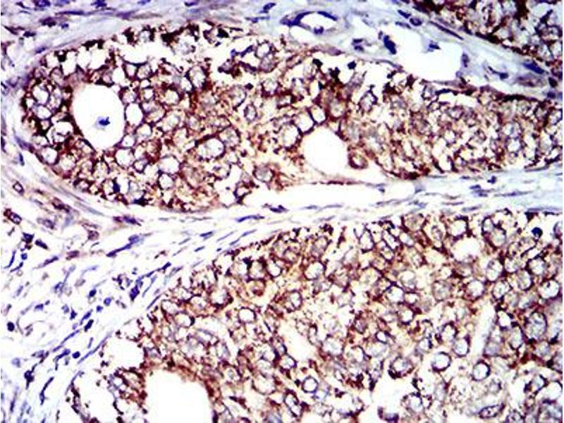
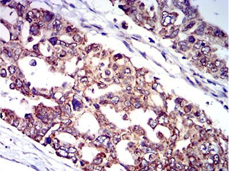
IL9 Receptor Antikörper (AA 41-270)

Der Maus Monoklonal anti-IL9 Receptor Antikörper (Klon 4A11H2) (ABIN5611174) detektiert spezifisch IL9 Receptor in WB, ELISA, IHC und FACS. Dieser Antikörper reagiert spezifisch mit Proben aus Human und Ratte.
Produktnummer ABIN5611174
657,84 €
Zzgl. Versandkosten 20,00 € und MwSt
100 μL
Lieferung nach: Deutschland
Lieferung in 7 bis 10 Werktagen

Kurzübersicht für IL9 Receptor Antikörper (AA 41-270) (ABIN5611174)

Target

Alle IL9 Receptor (IL9R) Antikörper anzeigen
IL9 Receptor (IL9R) (Interleukin 9 Receptor (IL9R))

Reaktivität

  • 45
  • 20
  • 2
Human, Ratte

Wirt

  • 34
  • 14
  • 2
Maus

Klonalität

  • 32
  • 17
  • 1
Monoklonal

Konjugat

  • 33
  • 4
  • 3
  • 2
  • 1
  • 1
  • 1
  • 1
  • 1
  • 1
  • 1
  • 1
Dieser IL9 Receptor Antikörper ist unkonjugiert

Applikation

  • 27
  • 25
  • 23
  • 12
  • 6
  • 5
  • 5
  • 3
  • 3
  • 3
  • 2
  • 1
Western Blotting (WB), ELISA, Immunohistochemistry (IHC), Flow Cytometry (FACS)

Klon

4A11H2
  • Bindungsspezifität

    • 7
    • 4
    • 4
    • 3
    • 3
    • 3
    • 2
    • 1
    • 1
    • 1
    • 1
    • 1
    • 1
    • 1
    • 1
    • 1
    • 1
    • 1
    AA 41-270

    Verwendungszweck

    CD129 Antibody

    Aufreinigung

    Purified antibody

    Immunogen

    Purified recombinant fragment of human CD129 (AA: 41-270) expressed in E. Coli.

    Isotyp

    IgG1
  • Applikationshinweise

    ELISA: 1/10000

    FCM: 1/200 - 1/400

    Beschränkungen

    Nur für Forschungszwecke einsetzbar
  • Format

    Liquid

    Buffer

    Purified antibody in PBS with 0.05 % sodium azide.

    Konservierungsmittel

    Sodium azide

    Vorsichtsmaßnahmen

    This product contains Sodium azide: a POISONOUS AND HAZARDOUS SUBSTANCE which should be handled by trained staff only.

    Lagerung

    4 °C,-20 °C

    Informationen zur Lagerung

    Store at 4°C short term. Aliquot and store at -20°C long term. Avoid freeze/thaw cycles.
  • Target

    IL9 Receptor (IL9R) (Interleukin 9 Receptor (IL9R))

    Andere Bezeichnung

    CD129

    Hintergrund

    The protein encoded by this gene is a cytokine receptor that specifically mediates the biological effects of interleukin 9 (IL9). The functional IL9 receptor complex requires this protein as well as the interleukin 2 receptor, gamma (IL2RG), a common gamma subunit shared by the receptors of many different cytokines. The ligand binding of this receptor leads to the activation of various JAK kinases and STAT proteins, which connect to different biologic responses. This gene is located at the pseudoautosomal regions of X and Y chromosomes. Genetic studies suggested an association of this gene with the development of asthma. Multiple pseudogenes on chromosome 9, 10, 16, and 18 have been described. Alternatively spliced transcript variants have been found for this gene.

    Molekulargewicht

    57.1 kDa

    Gen-ID

    3581

    UniProt

    Q01113

    Pathways

    JAK-STAT Signalweg, Growth Factor Binding
Sie sind hier:
Chat with us!