ROR1 Antikörper (C-Term)
Kurzübersicht für ROR1 Antikörper (C-Term) (ABIN5539753)
Target
Alle ROR1 Antikörper anzeigenReaktivität
Wirt
Klonalität
Konjugat
Applikation
Güteklasse
-
-
Bindungsspezifität
- C-Term
-
Verwendungszweck
- ROR1
-
Sequenz
- GNKSQKPYKI DSKQA
-
Spezifität
- This antibody is expected to recognize isoform 1 (NP_005003.2) only.
-
Kreuzreaktivität
- Human, Maus, Ratte
-
Aufreinigung
- Purified from goat serum by ammonium sulphate precipitation followed by antigen affinity chromatography using the immunizing peptide.
-
Isotyp
- IgG
-
-
-
-
Applikationshinweise
-
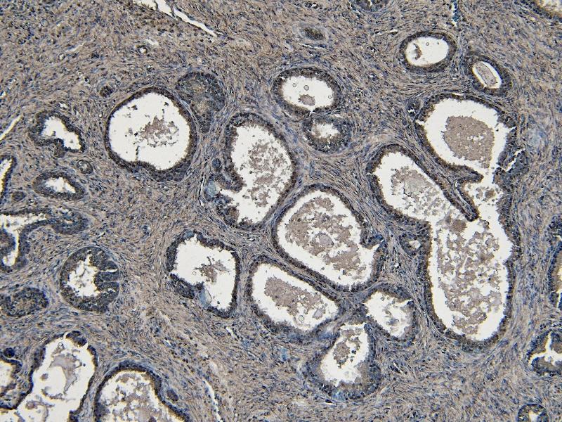
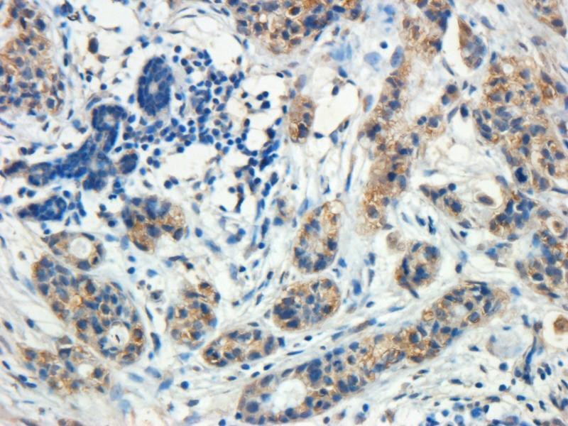
Immunohistochemistry: Paraffin embedded Human Prostate. Recommended concentration: 4-6 μg/mL.
Peptide ELISA: antibody detection limit dilution 1:128000.
-
Beschränkungen
- Nur für Forschungszwecke einsetzbar
-
-
-
Format
- Liquid
-
Konzentration
- 0.5 mg/mL
-
Buffer
- Supplied at 0.5 mg/mL in Tris saline, 0.02 % sodium azide, pH 7.3 with 0.5 % bovine serum albumin.
-
Konservierungsmittel
- Sodium azide
-
Vorsichtsmaßnahmen
- This product contains Sodium azide: a POISONOUS AND HAZARDOUS SUBSTANCE which should be handled by trained staff only.
-
Handhabung
- Minimize freezing and thawing.
-
Lagerung
- -20 °C
-
Informationen zur Lagerung
- Aliquot and store at -20°C, with minimal freeze/thawing. A working aliquot may be refrigerated at 4°C for a few weeks and still remain viable.
-
-
- ROR1 (Receptor Tyrosine Kinase-Like Orphan Receptor 1 (ROR1))
-
Andere Bezeichnung
- ROR1
-
Hintergrund
- ROR1, receptor tyrosine kinase-like orphan receptor 1, MGC99659, NTRKR1, dJ537F10.1, neurotrophic tyrosine kinase receptor-related 1
-
Gen-ID
- 4919, 26563, 362550
-
NCBI Accession
- NP_005003
-
Pathways
- RTK Signalweg, WNT Signalweg, Nuclear Receptor Transcription Pathway, Steroid Hormone Mediated Signaling Pathway, Regulation of Lipid Metabolism by PPARalpha
Target
-