Telefon:
+49 (0)241 95 163 153
Fax:
+49 (0)241 95 163 155
E-Mail:
orders@antikoerper-online.de

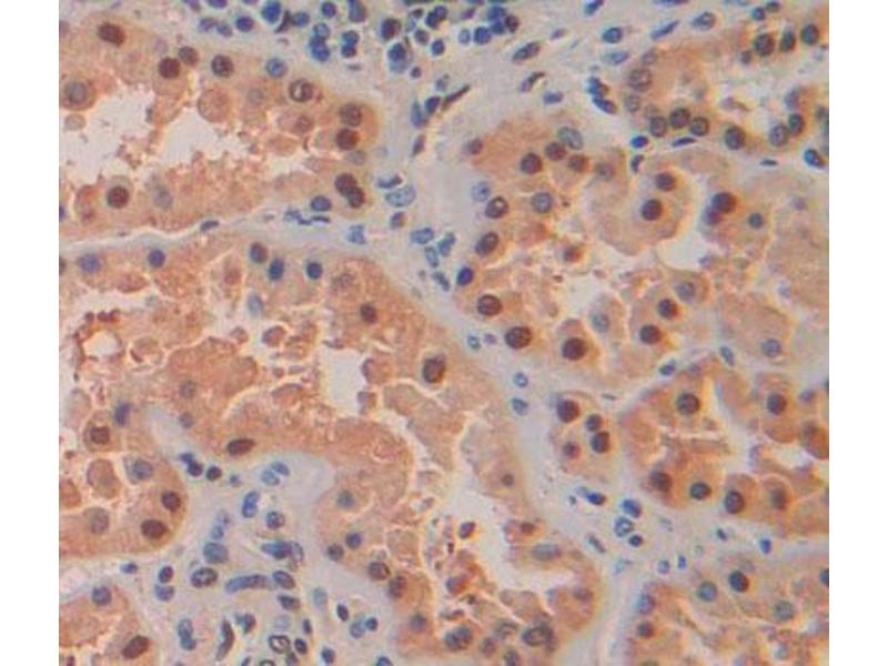
MTF1 Antikörper (AA 2-164)

Der Kaninchen Polyklonal anti-MTF1 Antikörper (ABIN5013925) detektiert spezifisch MTF1 in WB, IHC, IP und ICC. Dieser Antikörper reagiert spezifisch mit Proben aus Human.
Produktnummer ABIN5013925
245,00 €
Zzgl. Versandkosten 20,00 € und MwSt
100 μL
Lieferung nach: Deutschland
Lieferung in 13 bis 17 Werktagen

Kurzübersicht für MTF1 Antikörper (AA 2-164) (ABIN5013925)

Target

Alle MTF1 Antikörper anzeigen
MTF1 (Metal-Regulatory Transcription Factor 1 (MTF1))

Reaktivität

  • 43
  • 8
  • 4
  • 3
  • 2
  • 2
  • 1
  • 1
  • 1
Human

Wirt

  • 27
  • 17
Kaninchen

Klonalität

  • 27
  • 17
Polyklonal

Konjugat

  • 22
  • 2
  • 1
  • 1
  • 1
  • 1
  • 1
  • 1
  • 1
  • 1
  • 1
  • 1
  • 1
  • 1
  • 1
  • 1
  • 1
  • 1
  • 1
  • 1
  • 1
  • 1
Dieser MTF1 Antikörper ist unkonjugiert

Applikation

  • 16
  • 14
  • 13
  • 13
  • 10
  • 10
  • 4
  • 3
  • 3
  • 2
  • 2
  • 1
  • 1
  • 1
Western Blotting (WB), Immunohistochemistry (IHC), Immunoprecipitation (IP), Immunocytochemistry (ICC)
  • Bindungsspezifität

    • 15
    • 3
    • 2
    • 2
    • 2
    • 1
    • 1
    • 1
    • 1
    • 1
    AA 2-164

    Verwendungszweck

    Polyclonal Antibody to Metal Regulatory Transcription Factor 1 (MTF1)

    Spezifität

    The antibody is a rabbit polyclonal antibody raised against MTF1. It has been selected for its ability to recognize MTF1 in immunohistochemical staining and western blotting.

    Kreuzreaktivität

    Ratte

    Aufreinigung

    Antigen-specific affinity chromatography followed by Protein A affinity chromatography

    Immunogen

    RPC633Hu01Recombinant Metal Regulatory Transcription Factor 1 (MTF1)

    Isotyp

    IgG
  • Applikationshinweise

    Western blotting: 0.01-2 μg/mL,Immunohistochemistry: 5-20 μg/mL,Immunocytochemistry: 5-20 μg/mL,Optimal working dilutions must be determined by end user.

    Kommentare

    The thermal stability is described by the loss rate. The loss rate was determined by accelerated thermal degradation test, that is, incubate the protein at 37°C for 48h, and no obvious degradation and precipitation were observed. The loss rate is less than 5% within the expiration date under appropriate storage condition.

    Beschränkungen

    Nur für Forschungszwecke einsetzbar
  • Format

    Liquid

    Konzentration

    0.29 mg/mL

    Buffer

    PBS, pH 7.4, containing 0.02 % Sodium azide, 50 % glycerol.

    Konservierungsmittel

    Sodium azide

    Lagerung

    4 °C,-20 °C

    Informationen zur Lagerung

    Store at 4°C for frequent use. Stored at -20°C in a manual defrost freezer for two year without detectable loss of activity. Avoid repeated freeze-thaw cycles.
  • Target

    MTF1 (Metal-Regulatory Transcription Factor 1 (MTF1))

    Andere Bezeichnung

    MTF1

    Hintergrund

    ZRF, MRE-binding transcription factor
Sie sind hier:
Chat with us!