Telefon:
+49 (0)241 95 163 153
Fax:
+49 (0)241 95 163 155
E-Mail:
orders@antikoerper-online.de

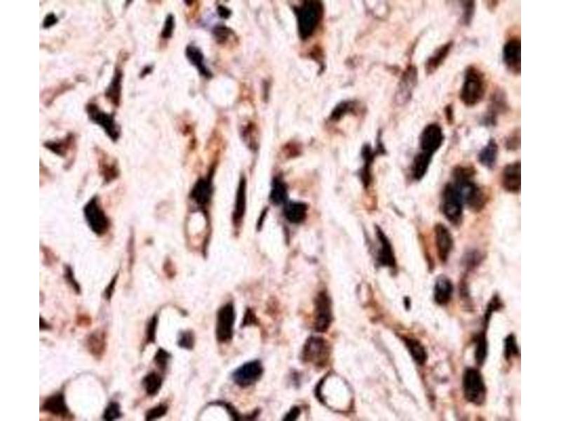
SMAD4 Antikörper (pThr277)

Der Kaninchen Polyklonal anti-SMAD4 Antikörper wird verwendet zum Nachweis von SMAD4 in Proben von Human. Er wurde validiert für ELISA, IHC, IF und DB.
Produktnummer ABIN3032606
631,13 €
Zzgl. Versandkosten 20,00 € und MwSt
Lieferung nach: Deutschland
Lieferung in 6 bis 9 Werktagen

Kurzübersicht für SMAD4 Antikörper (pThr277) (ABIN3032606)

Target

Alle SMAD4 Antikörper anzeigen
SMAD4 (SMAD Family Member 4 (SMAD4))

Reaktivität

  • 110
  • 58
  • 51
  • 5
  • 4
  • 3
  • 3
  • 2
  • 2
  • 2
  • 2
  • 2
  • 1
  • 1
  • 1
Human

Wirt

  • 90
  • 20
  • 1
  • 1
Kaninchen

Klonalität

  • 62
  • 50
Polyklonal

Konjugat

  • 67
  • 8
  • 7
  • 3
  • 3
  • 3
  • 3
  • 3
  • 3
  • 1
  • 1
  • 1
  • 1
  • 1
  • 1
  • 1
  • 1
  • 1
  • 1
  • 1
  • 1
Dieser SMAD4 Antikörper ist unkonjugiert

Applikation

  • 71
  • 42
  • 40
  • 32
  • 22
  • 18
  • 9
  • 7
  • 3
  • 3
  • 3
  • 2
  • 2
  • 1
  • 1
  • 1
ELISA, Immunohistochemistry (IHC), Immunofluorescence (IF), Dot Blot (DB)
  • Bindungsspezifität

    • 13
    • 10
    • 8
    • 5
    • 4
    • 4
    • 4
    • 4
    • 4
    • 3
    • 2
    • 2
    • 2
    • 2
    • 2
    • 1
    • 1
    • 1
    • 1
    • 1
    • 1
    • 1
    • 1
    • 1
    • 1
    • 1
    pThr277

    Kreuzreaktivität (Details)

    Expected species reactivity: Mouse, Rat

    Aufreinigung

    Antigen affinity purified

    Immunogen

    This phospho-SMAD4 antibody was produced from rabbits immunized with a KLH conjugated synthetic phosphopeptide corresponding to amino acid residues surrounding pT277 of human SMAD4.

    Isotyp

    Ig Fraction
  • Applikationshinweise

    Titration of the phospho-SMAD4 antibody may be required due to differences in protocols and secondary/substrate sensitivity.\. Immunofluorescence: 1:10-1:50,Dot blot: 1:500,IHC (Paraffin): 1:10-1:50

    Beschränkungen

    Nur für Forschungszwecke einsetzbar
  • Format

    Liquid

    Buffer

    In 1X PBS, pH 7.4, with 0.09 % sodium azide

    Konservierungsmittel

    Sodium azide

    Vorsichtsmaßnahmen

    This product contains Sodium azide: a POISONOUS AND HAZARDOUS SUBSTANCE which should be handled by trained staff only.

    Lagerung

    -20 °C

    Informationen zur Lagerung

    Aliquot the phospho-SMAD4 antibody and store frozen at -20°C or colder. Avoid repeated freeze-thaw cycles.
  • Target

    SMAD4 (SMAD Family Member 4 (SMAD4))

    Andere Bezeichnung

    SMAD4

    Hintergrund

    Common mediator of signal transduction by TGF-beta (transforming growth factor) superfamily, SMAD4 is the common SMAD (co-SMAD). It promotes binding of the SMAD2/SMAD4/FAST-1 complex to DNA and provides an activation function required for SMAD1 or SMAD2 to stimulate transcription. It may act as a tumor suppressor.

    UniProt

    Q13485

    Pathways

    Zellzyklus, Chromatin Binding, Autophagie
Sie sind hier:
Chat with us!