Telefon:
+49 (0)241 95 163 153
Fax:
+49 (0)241 95 163 155
E-Mail:
orders@antikoerper-online.de

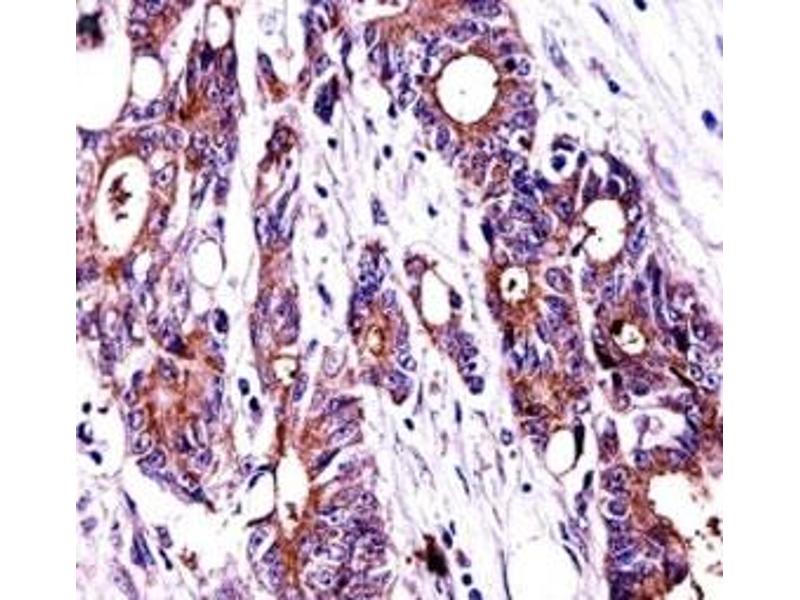
NPM1 Antikörper (AA 198-226)

Der Kaninchen Polyklonal anti-NPM1 Antikörper (ABIN3032076) detektiert spezifisch NPM1 in WB, IHC, IF, ELISA und FACS. Dieser Antikörper reagiert spezifisch mit Proben aus Human.
Produktnummer ABIN3032076
631,13 €
Zzgl. Versandkosten 20,00 € und MwSt
Lieferung nach: Deutschland
Lieferung in 6 bis 9 Werktagen

Kurzübersicht für NPM1 Antikörper (AA 198-226) (ABIN3032076)

Target

Alle NPM1 Antikörper anzeigen
NPM1 (Nucleophosmin (Nucleolar phosphoprotein B23, Numatrin) (NPM1))

Reaktivität

  • 212
  • 114
  • 84
  • 12
  • 12
  • 10
  • 9
  • 9
  • 8
  • 3
  • 3
  • 2
  • 1
  • 1
Human

Wirt

  • 155
  • 81
  • 1
  • 1
Kaninchen

Klonalität

  • 130
  • 109
Polyklonal

Konjugat

  • 122
  • 19
  • 5
  • 5
  • 5
  • 5
  • 5
  • 5
  • 5
  • 5
  • 3
  • 3
  • 3
  • 3
  • 3
  • 3
  • 3
  • 3
  • 3
  • 3
  • 3
  • 3
  • 3
  • 3
  • 3
  • 3
  • 3
  • 3
  • 2
  • 2
Dieser NPM1 Antikörper ist unkonjugiert

Applikation

  • 185
  • 136
  • 82
  • 51
  • 49
  • 39
  • 31
  • 28
  • 28
  • 27
  • 16
  • 7
  • 7
  • 7
  • 5
  • 3
  • 3
  • 3
  • 2
  • 1
Western Blotting (WB), Immunohistochemistry (IHC), Immunofluorescence (IF), ELISA, Flow Cytometry (FACS)
Sie sind hier:
Chat with us!