Der Kaninchen Polyklonal anti-ERBB4 Antikörper (ABIN3029490) detektiert spezifisch ERBB4 in WB, IHC und ELISA.
Dieser Antikörper reagiert spezifisch mit Proben aus Human.
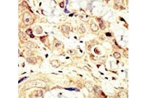
Titration of the HER4 antibody may be required due to differences in protocols and secondary/substrate sensitivity.\. Western blot: 1:1000,IHC (Paraffin): 1:50-1:100
Beschränkungen
Nur für Forschungszwecke einsetzbar
Format
Liquid
Buffer
In 1X PBS, pH 7.4, with 0.09 % sodium azide
Konservierungsmittel
Sodium azide
Vorsichtsmaßnahmen
This product contains Sodium azide: a POISONOUS AND HAZARDOUS SUBSTANCE which should be handled by trained staff only.
Lagerung
-20 °C
Informationen zur Lagerung
Aliquot the HER4 antibody and store frozen at -20°C or colder. Avoid repeated freeze-thaw cycles.
Protein kinases are enzymes that transfer a phosphate group from a phosphate donor, generally the g phosphate of ATP, onto an acceptor amino acid in a substrate protein. By this basic mechanism, protein kinases mediate most of the signal transduction in eukaryotic cells, regulating cellular metabolism, transcription, cell cycle progression, cytoskeletal rearrangement and cell movement, apoptosis, and differentiation. With more than 500 gene products, the protein kinase family is one of the largest families of proteins in eukaryotes. The family has been classified in 8 major groups based on sequence comparison of their tyrosine (PTK) or serine/threonine (STK) kinase catalytic domains.