Telefon:
+49 (0)241 95 163 153
Fax:
+49 (0)241 95 163 155
E-Mail:
orders@antikoerper-online.de

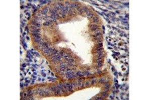
Cyclin B1 Antikörper (AA 241-268)

Der Kaninchen Polyklonal anti-Cyclin B1 Antikörper wird verwendet zum Nachweis von Cyclin B1 in Proben von Human. Er wurde validiert für WB, IHC und ELISA.
Produktnummer ABIN3030584
631,13 €
Zzgl. Versandkosten 20,00 € und MwSt
Lieferung nach: Deutschland
Lieferung in 6 bis 9 Werktagen

Kurzübersicht für Cyclin B1 Antikörper (AA 241-268) (ABIN3030584)

Target

Alle Cyclin B1 (CCNB1) Antikörper anzeigen
Cyclin B1 (CCNB1)

Reaktivität

  • 232
  • 103
  • 46
  • 25
  • 21
  • 16
  • 5
  • 4
  • 4
  • 3
  • 3
  • 2
  • 2
  • 1
  • 1
Human

Wirt

  • 196
  • 44
  • 1
Kaninchen

Klonalität

  • 146
  • 95
Polyklonal

Konjugat

  • 114
  • 12
  • 6
  • 6
  • 6
  • 4
  • 4
  • 4
  • 4
  • 4
  • 4
  • 4
  • 4
  • 4
  • 4
  • 4
  • 4
  • 4
  • 4
  • 4
  • 4
  • 4
  • 3
  • 3
  • 3
  • 3
  • 3
  • 3
  • 3
  • 3
  • 3
  • 2
Dieser Cyclin B1 Antikörper ist unkonjugiert

Applikation

  • 169
  • 89
  • 77
  • 67
  • 58
  • 41
  • 40
  • 39
  • 38
  • 27
  • 11
  • 9
  • 9
  • 9
  • 4
  • 2
  • 2
  • 2
  • 1
  • 1
  • 1
Western Blotting (WB), Immunohistochemistry (IHC), ELISA
  • Bindungsspezifität

    • 40
    • 22
    • 16
    • 16
    • 8
    • 8
    • 7
    • 3
    • 3
    • 3
    • 2
    • 2
    • 2
    • 2
    • 2
    • 2
    • 2
    • 2
    • 2
    • 2
    • 2
    • 2
    • 2
    • 2
    • 1
    • 1
    • 1
    • 1
    • 1
    • 1
    • 1
    • 1
    • 1
    • 1
    • 1
    • 1
    • 1
    AA 241-268

    Kreuzreaktivität (Details)

    Expected species reactivity: Bovine, Hamster, Mouse, Rat

    Aufreinigung

    Purified

    Immunogen

    A portion of amino acids 241-268 from the human protein was used as the immunogen for this Cyclin B1 antibody.

    Isotyp

    Ig Fraction
  • Applikationshinweise

    Titration of the Cyclin B1 antibody may be required due to differences in protocols and secondary/substrate sensitivity.\. Western blot: 1:1000,IHC (Paraffin): 1:50-1:100

    Beschränkungen

    Nur für Forschungszwecke einsetzbar
  • Format

    Liquid

    Buffer

    In 1X PBS, pH 7.4, with 0.09 % sodium azide

    Konservierungsmittel

    Sodium azide

    Vorsichtsmaßnahmen

    This product contains Sodium azide: a POISONOUS AND HAZARDOUS SUBSTANCE which should be handled by trained staff only.

    Lagerung

    -20 °C

    Informationen zur Lagerung

    Aliquot the Cyclin B1 antibody and store frozen at -20°C or colder. Avoid repeated freeze-thaw cycles.
  • Target

    Cyclin B1 (CCNB1)

    Hintergrund

    The protein encoded by this gene is a regulatory protein involved in mitosis. The gene product complexes with p34(cdc2) to form the maturation-promoting factor (MPF). Two alternative transcripts have been found, a constitutively expressed transcript and a cell cycle-regulated transcript, that is expressed predominantly during G2/M phase. The different transcripts result from the use of alternate transcription initiation sites. [provided by RefSeq].

    UniProt

    P14635

    Pathways

    Zellzyklus, AMPK Signaling, Mitotic G1-G1/S Phases, M Phase
Sie sind hier:
Chat with us!