HSPD1 Antikörper
Kurzübersicht für HSPD1 Antikörper (ABIN462388)
Target
Alle HSPD1 Antikörper anzeigenReaktivität
Wirt
Klonalität
Konjugat
Applikation
Klon
-
-
Aufreinigung
- Protein G purified
-
Immunogen
-
Recombinant human Hsp60 protein.
Type of Immunogen: Recombinant protein -
Isotyp
- IgG2a
-
-
-
-
Applikationshinweise
-
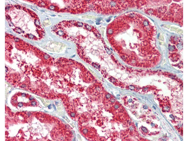
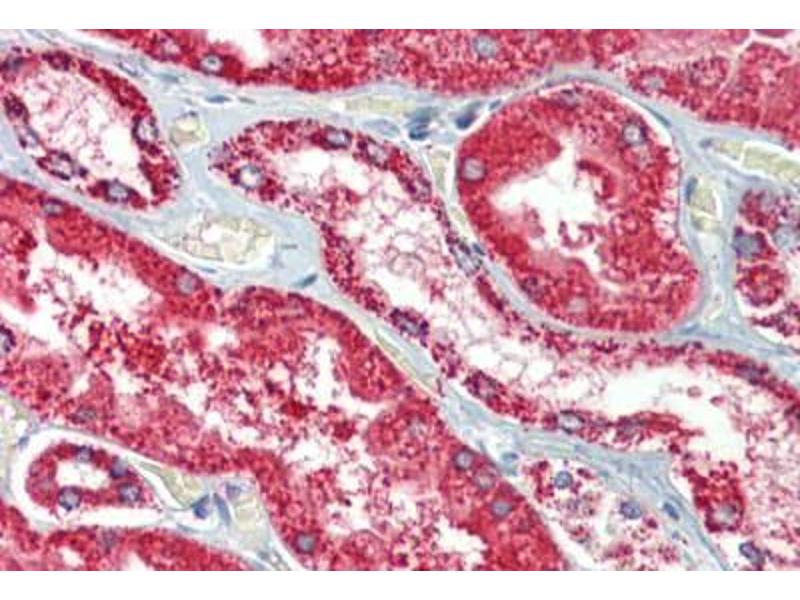
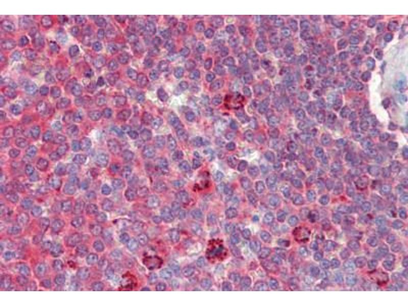
Approved: IHC, IHC-P (5 - 10 μg/mL), WB
Usage: Immunohistochemistry: This antibody was validated for use in immunohistochemistry on a panel of 21 formalin-fixed, paraffin-embedded (FFPE) human tissues after heat induced antigen retrieval in pH 6.0 citrate buffer. After incubation with the primary antibody, slides were incubated with biotinylated secondary antibody, followed by alkaline phosphatase-streptavidin and chromogen. The stained slides were evaluated by a pathologist to confirm staining specificity. The optimal working concentration for this antibody was determined to be 10 μg/mL -
Kommentare
-
Target Species of Antibody: Human
-
Beschränkungen
- Nur für Forschungszwecke einsetzbar
-
-
-
Format
- Liquid
-
Konzentration
- Lot specific
-
Buffer
- PBS, pH 7.2, 0.09 % azide, 50 % glycerol
-
Konservierungsmittel
- Sodium azide
-
Vorsichtsmaßnahmen
- This product contains Sodium azide: a POISONOUS AND HAZARDOUS SUBSTANCE which should be handled by trained staff only.
-
Lagerung
- -20 °C
-
Informationen zur Lagerung
- Store at -20°C.
-
-
- HSPD1 (Heat Shock 60kDa Protein 1 (Chaperonin) (HSPD1))
-
Andere Bezeichnung
- HSPD1 / HSP60
-
Hintergrund
-
Name/Gene ID: HSPD1
Synonyms: HSPD1, 60 kDa chaperonin, CPN60, Heat shock protein 65, Heat shock protein 60, HSP-60, HSP60, HuCHA60, HLD4, HSP65, p60 lymphocyte protein, SPG13, Chaperonin 60, GROEL -
Gen-ID
- 3329
-
UniProt
- P10809
-
Pathways
- Activation of Innate immune Response, Regulation of Leukocyte Mediated Immunity, Positive Regulation of Immune Effector Process, Production of Molecular Mediator of Immune Response, Positive Regulation of Endopeptidase Activity
Target
-