DIABLO Antikörper
Kurzübersicht für DIABLO Antikörper (ABIN462354)
Target
Alle DIABLO Antikörper anzeigenReaktivität
Wirt
Klonalität
Konjugat
Applikation
Klon
-
-
Spezifität
- Human and monkey Smac/DIABLO.
-
Aufreinigung
- Protein G purified
-
Immunogen
-
Recombinant full length human Smac/DIABLO.
Type of Immunogen: Recombinant protein -
Isotyp
- IgG2b
-
-
-
-
Applikationshinweise
-
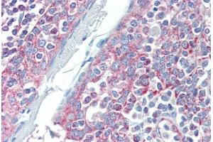
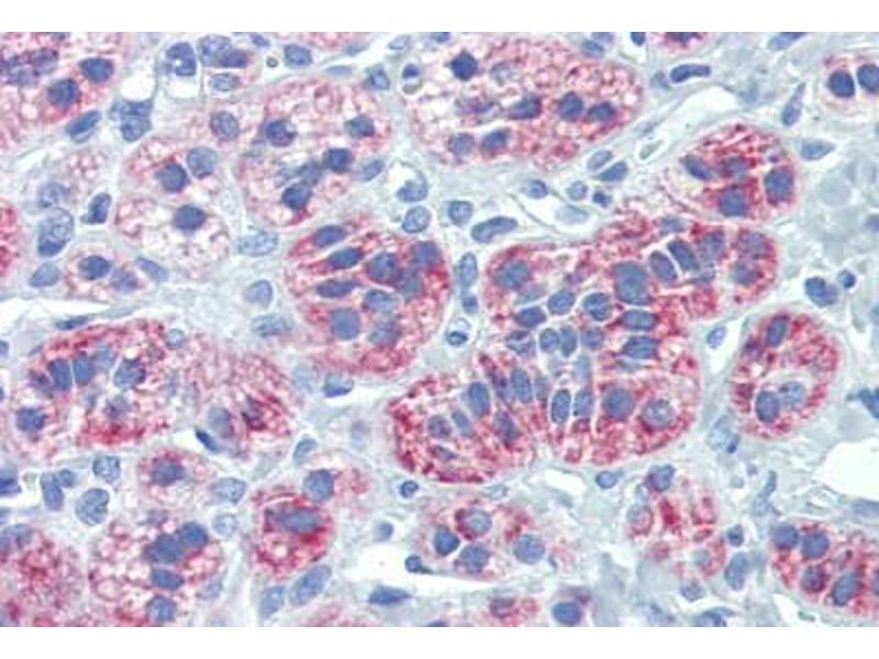
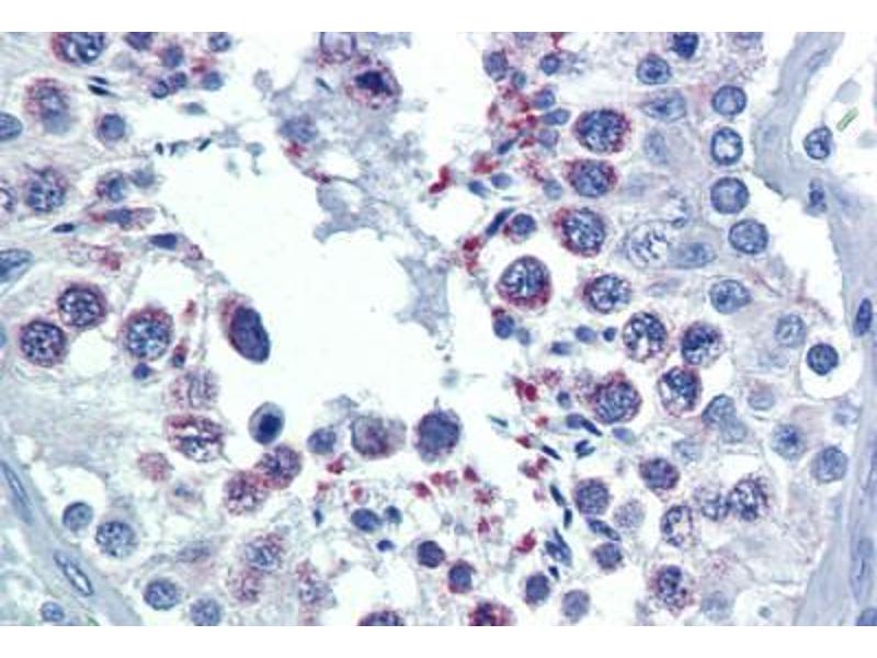
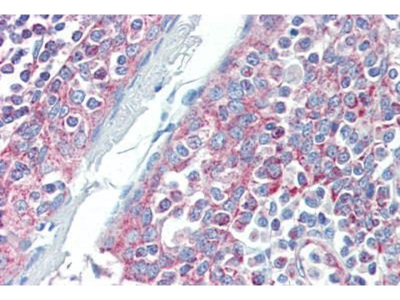
Approved: IHC, IHC-P (10 μg/mL), WB
Usage: Immunohistochemistry: This antibody was validated for use in immunohistochemistry on a panel of 21 formalin-fixed, paraffin-embedded (FFPE) human tissues after heat induced antigen retrieval in pH 6.0 citrate buffer. After incubation with the primary antibody, slides were incubated with biotinylated secondary antibody, followed by alkaline phosphatase-streptavidin and chromogen. The stained slides were evaluated by a pathologist to confirm staining specificity. The optimal working concentration for this antibody was determined to be 10 μg/mL. -
Kommentare
-
Target Species of Antibody: Human
-
Beschränkungen
- Nur für Forschungszwecke einsetzbar
-
-
-
Format
- Liquid
-
Konzentration
- Lot specific
-
Buffer
- PBS, pH 7.2, 0.09 % azide, 50 % glycerol
-
Konservierungsmittel
- Sodium azide
-
Vorsichtsmaßnahmen
- This product contains Sodium azide: a POISONOUS AND HAZARDOUS SUBSTANCE which should be handled by trained staff only.
-
Lagerung
- -20 °C
-
Informationen zur Lagerung
- Store at -20°C.
-
-
- DIABLO (Second Mitochondria-Derived Activator of Caspase (DIABLO))
-
Andere Bezeichnung
- DIABLO / SMAC
-
Hintergrund
-
Name/Gene ID: DIABLO
Family: Apoptosis
Synonyms: DIABLO, DFNA64, DIABLO-S, Diablo homolog, mitochondrial, SMAC3, Mitochondrial Smac protein, SMAC -
Gen-ID
- 56616
-
UniProt
- Q9NR28
-
Pathways
- Apoptose, Caspase Kaskade in der Apoptose, Positive Regulation of Endopeptidase Activity
Target
-