Telefon:
+49 (0)241 95 163 153
Fax:
+49 (0)241 95 163 155
E-Mail:
orders@antikoerper-online.de

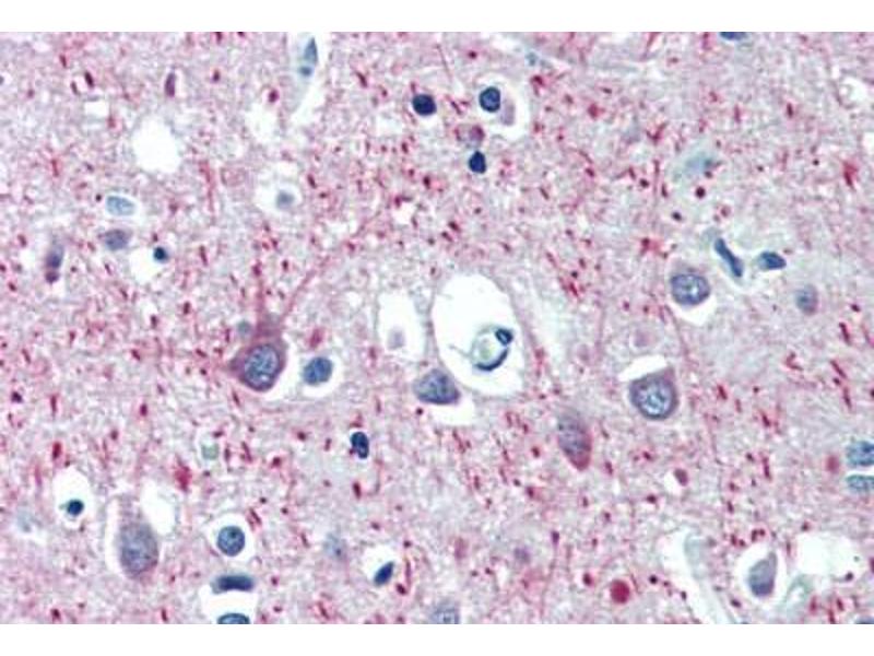
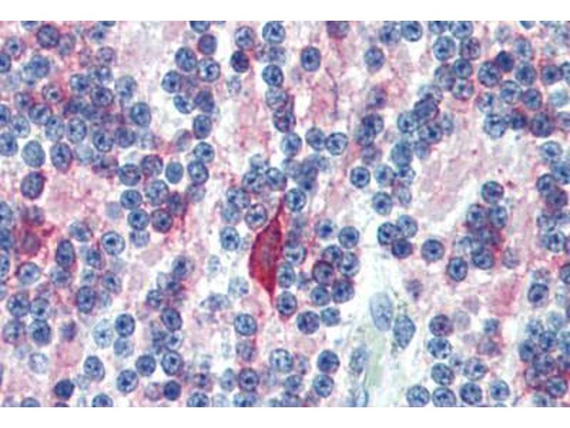
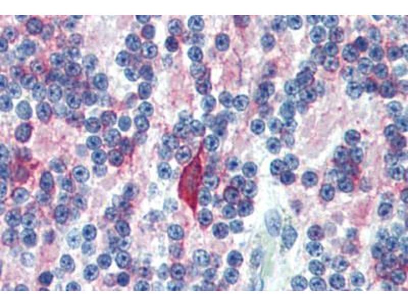
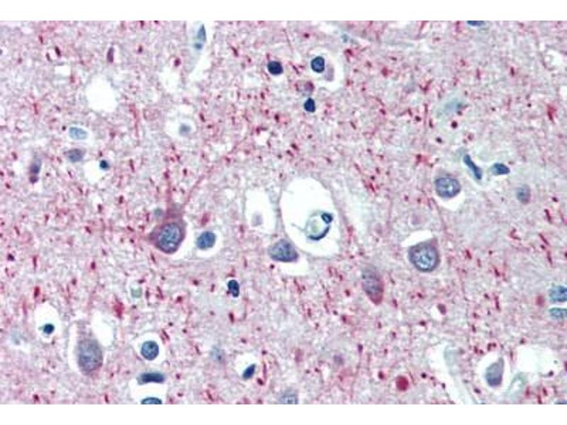
MAP2 Antikörper

Dieser Maus Monoklonal Antikörper detektiert spezifisch MAP2 in WB, IHC und IHC (p). Es zeigt Reaktivität gegenüber Proben von Human, Maus, Ratte und Kaninchen.
Produktnummer ABIN462127
859,89 €
Zzgl. Versandkosten 20,00 € und MwSt
50 μg
Lieferung nach: Deutschland
Lieferung in 15 bis 20 Werktagen

Kurzübersicht für MAP2 Antikörper (ABIN462127)

Target

Alle MAP2 Antikörper anzeigen
MAP2 (Microtubule-Associated Protein 2 (MAP2))

Reaktivität

  • 152
  • 103
  • 99
  • 29
  • 25
  • 5
  • 4
  • 4
  • 2
  • 1
  • 1
  • 1
  • 1
  • 1
Human, Maus, Ratte, Kaninchen

Wirt

  • 121
  • 48
  • 9
  • 2
  • 1
Maus

Klonalität

  • 124
  • 56
Monoklonal

Konjugat

  • 94
  • 14
  • 12
  • 5
  • 4
  • 3
  • 3
  • 3
  • 3
  • 3
  • 3
  • 3
  • 3
  • 3
  • 3
  • 3
  • 2
  • 2
  • 2
  • 2
  • 2
  • 2
  • 2
  • 2
  • 1
  • 1
  • 1
Dieser MAP2 Antikörper ist unkonjugiert

Applikation

  • 134
  • 73
  • 44
  • 39
  • 39
  • 37
  • 32
  • 30
  • 29
  • 23
  • 21
  • 4
  • 3
  • 3
  • 2
  • 1
  • 1
Western Blotting (WB), Immunohistochemistry (IHC), Immunohistochemistry (Paraffin-embedded Sections) (IHC (p))

Klon

5F9
  • Spezifität

    Recognizes rat MAP2 at ~300kD. Species cross-reactivity: Human, rabbit and mouse.

    Aufreinigung

    Protein G purified

    Immunogen

    Purified rat brain microtubules MAP2.

    Type of Immunogen: Purified protein

    Isotyp

    IgG1
  • Applikationshinweise

    Approved: IHC, IHC-P (10 μg/mL), WB (0.5 - 2 μg/mL)

    Usage: Immunohistochemistry: This antibody was validated for use in immunohistochemistry on a panel of 21 formalin-fixed, paraffin-embedded (FFPE) human tissues after heat induced antigen retrieval in  pH 6.0 citrate buffer. After incubation with the primary antibody, slides were incubated with biotinylated secondary antibody, followed by alkaline phosphatase-streptavidin and chromogen. The stained slides were evaluated by a pathologist to confirm staining specificity. The optimal working concentration for this antibody was determined to be 10 μg/mL.

    Kommentare

    Target Species of Antibody: Rat

    Beschränkungen

    Nur für Forschungszwecke einsetzbar
  • Format

    Liquid

    Konzentration

    Lot specific

    Buffer

    Tris-glycine,  pH 7.4, 0.05 % sodium azide.

    Konservierungsmittel

    Sodium azide

    Vorsichtsmaßnahmen

    This product contains Sodium azide: a POISONOUS AND HAZARDOUS SUBSTANCE which should be handled by trained staff only.

    Handhabung

    Avoid freeze-thaw cycles.

    Lagerung

    4 °C,-20 °C

    Informationen zur Lagerung

    Short term: 4°C. Long term: Store at -20°C. Avoid freeze-thaw cycles.
  • Target

    MAP2 (Microtubule-Associated Protein 2 (MAP2))

    Andere Bezeichnung

    MAP2 / MAP-2

    Hintergrund

    Name/Gene ID: MAP2

    Synonyms: MAP2, MAP2C, MAP-2, MAP2A, MAP2B

    Gen-ID

    4133

    UniProt

    P11137
Sie sind hier:
Chat with us!