Telefon:
+49 (0)241 95 163 153
Fax:
+49 (0)241 95 163 155
E-Mail:
orders@antikoerper-online.de

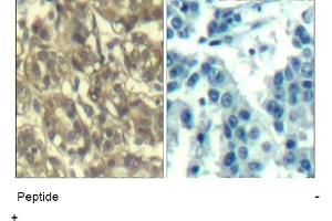
Cyclin B1 Antikörper (Ser147)

Der Kaninchen Polyklonal anti-Cyclin B1 Antikörper wird verwendet zum Nachweis von Cyclin B1 in Proben von Human und Maus. Er wurde validiert für WB, IF und IHC (p).
Produktnummer ABIN401648
606,15 €
Zzgl. Versandkosten 20,00 € und MwSt
Lieferung nach: Deutschland
Lieferung in 16 Werktagen

Kurzübersicht für Cyclin B1 Antikörper (Ser147) (ABIN401648)

Target

Alle Cyclin B1 (CCNB1) Antikörper anzeigen
Cyclin B1 (CCNB1)

Reaktivität

  • 232
  • 102
  • 46
  • 25
  • 21
  • 16
  • 5
  • 4
  • 4
  • 3
  • 3
  • 2
  • 2
  • 1
  • 1
Human, Maus

Wirt

  • 196
  • 44
  • 1
Kaninchen

Klonalität

  • 146
  • 95
Polyklonal

Konjugat

  • 114
  • 12
  • 6
  • 6
  • 6
  • 4
  • 4
  • 4
  • 4
  • 4
  • 4
  • 4
  • 4
  • 4
  • 4
  • 4
  • 4
  • 4
  • 4
  • 4
  • 4
  • 4
  • 3
  • 3
  • 3
  • 3
  • 3
  • 3
  • 3
  • 3
  • 3
  • 2
Dieser Cyclin B1 Antikörper ist unkonjugiert

Applikation

  • 169
  • 89
  • 76
  • 68
  • 59
  • 41
  • 40
  • 39
  • 38
  • 26
  • 11
  • 9
  • 9
  • 9
  • 4
  • 2
  • 2
  • 2
  • 1
  • 1
  • 1
Western Blotting (WB), Immunofluorescence (IF), Immunohistochemistry (Paraffin-embedded Sections) (IHC (p))
  • Bindungsspezifität

    • 40
    • 22
    • 16
    • 16
    • 8
    • 8
    • 7
    • 3
    • 3
    • 2
    • 2
    • 2
    • 2
    • 2
    • 2
    • 2
    • 2
    • 2
    • 2
    • 2
    • 2
    • 2
    • 2
    • 2
    • 2
    • 1
    • 1
    • 1
    • 1
    • 1
    • 1
    • 1
    • 1
    • 1
    • 1
    • 1
    • 1
    Ser147

    Spezifität

    Cyclin B1 Antibody detects endogenous levels of total Cyclin B1 protein.

    Aufreinigung

    Affinity chromatography

    Immunogen

    Synthesized non-phosphopeptide derived from human Cyclin B1 around the phosphorylation site of Serine 147 (A-F-SP-D-V)
  • Applikationshinweise

    Immunohistochemistry: 1/50 - 1/100. Immunofluorescence: 1/100 - 1/200.
    Other applications not tested.
    Optimal dilutions are dependent on conditions and should be determined by the user.

    Beschränkungen

    Nur für Forschungszwecke einsetzbar
  • Konzentration

    1,0 mg/mL

    Buffer

    Phosphate buffered saline (without Mg2+ and Ca2+), pH 7.4, 150 mM NaCl, 0.02 % sodium azide and 50 % glycerol

    Konservierungsmittel

    Sodium azide

    Vorsichtsmaßnahmen

    This product contains sodium azide: a POISONOUS AND HAZARDOUS SUBSTANCE which should be handled by trained staff only.

    Handhabung

    Avoid repeated freezing and thawing.

    Lagerung

    -20 °C
  • Target

    Cyclin B1 (CCNB1)

    Andere Bezeichnung

    Cyclin B1

    Hintergrund

    In mammals, cyclin B associates with inactive p34 cdc2 which facilitates phosphorylation of p34 cdc2 at amino acids 14 Thr and 15 Tyr. This maintains the inactive state until the end of G2 phase. The inactive cyclin B p34 cdc2 complex continues to accumulate in the cytoplasm until the completion of DNA synthesis, when Cdc25, a specific protein phosphatase, dephosphorylates amino acids 14Thr and 15Tyr of p34 cdc2, rendering the complex active at the G2 / M boundary. This mitotic kinase complex remains active until the metaphase / anaphase transition when cyclin B is degraded. This degradation process is ubiquitin dependent and is necessary for the cell to exit mitosis. Therefore, cyclin B p34 cdc2 plays a critical role in G2 to M transition. Two alternative transcripts have been found, a constitutively expressed transcript, and a cell cycle-regulated transcript that is expressed predominantly during G2/M phase. The different transcripts result from the use of alternate transcription initiation sites.Synonyms: CCNB, CCNB1, Cyclin-B1, G2/mitotic-specific cyclin-B1

    Gen-ID

    891

    NCBI Accession

    NP_114172

    UniProt

    P14635

    Pathways

    Zellzyklus, AMPK Signaling, Mitotic G1-G1/S Phases, M Phase
Sie sind hier:
Chat with us!